Bệnh nhân "phổi trắng, mất Tết" vì cúm A
(Dân trí) - Thời tiết tại nước ta hiện nay là điều kiện thuận lợi cho các tác nhân gây bệnh qua đường hô hấp lây lan.
Ngay trước thềm năm mới, bà Hoa, 78 tuổi (tên nhân vật đã được thay đổi) xuất hiện triệu chứng ho, đau ngực, khó thở. Sau 5 ngày tự điều trị tại nhà không tiến triển, bà Hoa được gia đình cho nhập viện.
"Các triệu chứng của mẹ tôi ngày càng tăng nặng, ho suốt ngày đêm, cứ nằm xuống lại không thở được nên gia đình quyết định cho bà nhập viện", con trai bà Hoa chia sẻ.

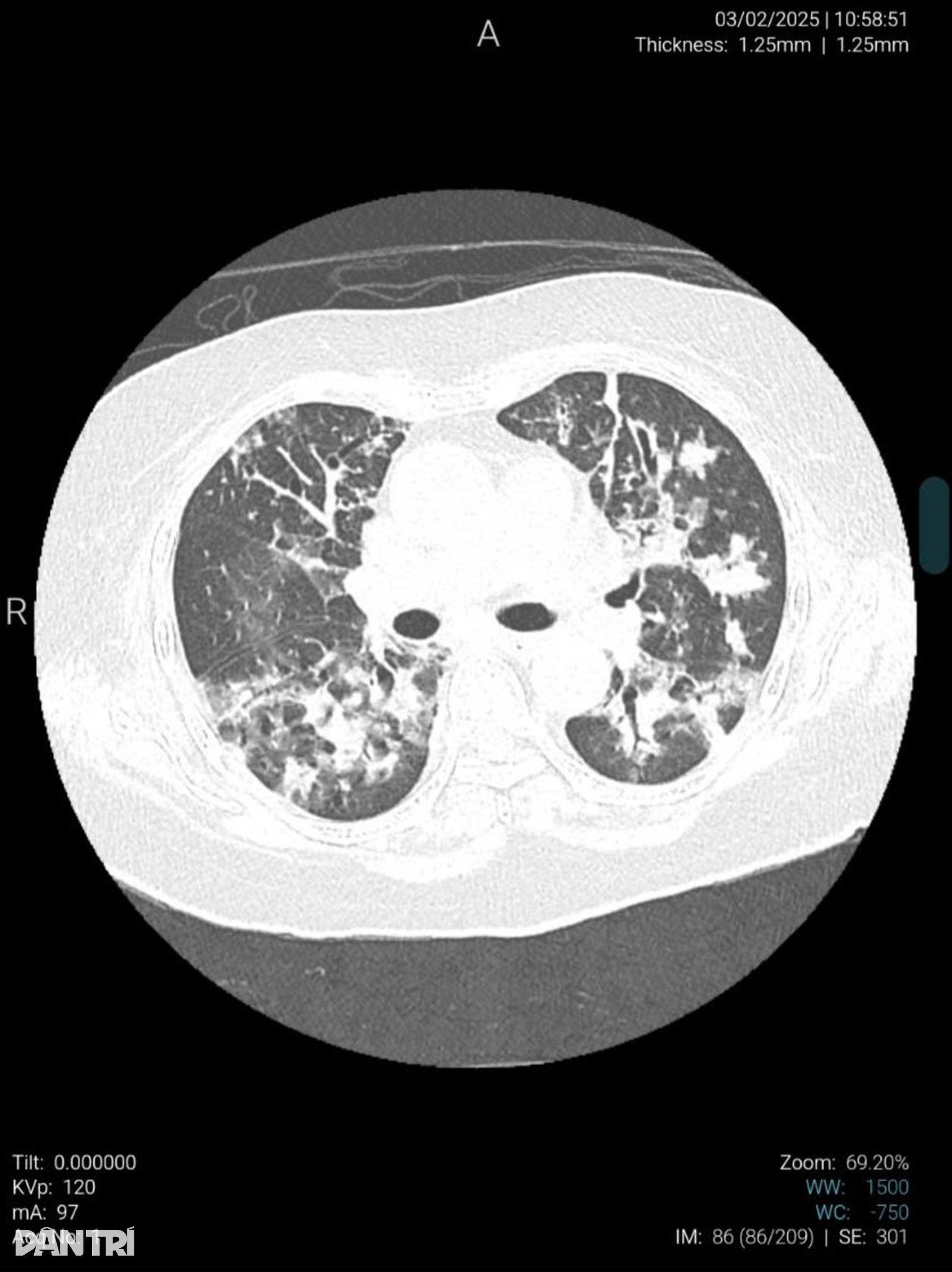
Trong vòng hơn 2 tuần, bà Hoa chuyển liên tiếp 3 bệnh viện. Kết quả xét nghiệm cho thấy bà Hoa dương tính với virus cúm A. Ngày 4/2, bà được đưa đến khoa Bệnh Nhiệt đới, Bệnh viện Hữu Nghị (Hà Nội) trong tình trạng tổn thương viêm phổi lan tỏa 2 bên, nấm phổi trên nền viêm phổi kẽ.


"Đây là bệnh nhân cúm A có biến chứng nặng nhất mà chúng tôi tiếp nhận trong thời gian vừa qua. Phổi bệnh nhân bị tổn thương khoảng 50%. Trên phim chụp X-quang có thể thấy rõ nhiều vùng phổi bị tổn thương có màu trắng xóa", BSCKI Nguyễn Thị Thủy - Phó trưởng khoa Bệnh Nhiệt đới chia sẻ.
Bà Hoa được chỉ định điều trị kháng sinh tích cực, hỗ trợ thở oxy, chăm sóc hô hấp, bổ sung chế độ dinh dưỡng phù hợp và theo dõi sát tình trạng bệnh. Sau 2 ngày điều trị, bà Hoa tiến triển tích cực. Hiện tại, bệnh nhân không sốt, đỡ khó thở, tình trạng ho cải thiện nhiều, giảm được mức hỗ trợ thở oxy và thỉnh thoảng có thể tự thở.

"Mặc dù đã có những tín hiệu tích cực nhưng vì bệnh nhân bị tổn thương phổi rất nặng nên chúng tôi vẫn cần theo dõi sát trường hợp này", BS Thủy chia sẻ.

Thời gian gần đây, nhiều bệnh viện trên cả nước ghi nhận sự gia tăng đáng kể các ca mắc cúm A. Không ngoại lệ, tại Bệnh viện Hữu Nghị, từ đầu tháng 2 đến nay gần như ngày nào cũng tiếp nhận bệnh nhân cúm A.

Theo BS Thủy, số ca mắc cúm A đến thăm khám và điều trị tại bệnh viện có sự gia tăng đột biến trong 3 tháng trở lại đây. Thời tiết đông - xuân tạo điều kiện cho virus cúm phát triển và lây lan được chuyên gia này chỉ ra là nguyên nhân dẫn đến tình trạng này.
Ngoài cúm A, theo BS Thủy, các mặt bệnh lây truyền qua đường hô hấp cũng gia tăng trong thời gian vừa qua.

Ở ngày thứ 4 của bệnh, bà Trang (tên nhân vật đã được thay đổi), 77 tuổi dù đã cắt sốt nhưng vẫn húng hắng ho, đau rát họng. Trước khi nhập viện 2 ngày, bà Trang sốt cao, hắt hơi, sổ mũi, đau mỏi toàn thân.
Theo các bác sĩ, bà Trang được chẩn đoán mắc cúm A trên nền cao huyết áp và được điều trị bằng thuốc kháng virus. Bên cạnh đó, bệnh nhân có tình trạng bội nhiễm viêm họng nên được điều trị thêm bằng kháng sinh.
Nhiều trường hợp điều trị nội trú tại khoa có các biến chứng của cúm A, tập trung vào nhóm đối tượng người cao tuổi và có bệnh nền.

"Cúm A thường có biến chứng viêm phổi, thậm chí là viêm cơ tim, tổn thương hệ thần kinh, suy đa tạng. Những đối tượng nguy cơ cao là người già, trẻ em, phụ nữ có thai, người suy giảm miễn dịch, người có bệnh nền.
Ngược lại, việc mắc cúm cũng có nguy cơ làm trầm trọng hơn các bệnh lý nền, đặc biệt là các bệnh nền về đường hô hấp như COPD, hen suyễn…", BS Thủy phân tích.

Đáng chú ý, theo BS Thủy, ghi nhận tại khoa, phần lớn các ca cúm A biến chứng nặng là do bệnh nhân chủ quan và chỉ chờ đến khi có triệu chứng nặng mới đến bệnh viện, làm bỏ lỡ thời gian vàng để điều trị.
"Riêng với cúm A, việc phát hiện và điều trị sớm rất quan trọng, có thể ngăn chặn các biến chứng nguy hiểm", BS Thủy chia sẻ.

Tại khoa Bệnh Nhiệt đới cũng tiếp nhận một cụ ông 80 tuổi, chỉ mới sang ngày thứ 2 của bệnh nhưng đã có tình trạng khó thở, tổn thương phổi. May mắn vì bệnh nhân đến viện sớm nên đáp ứng điều trị rất tốt.
Với diễn biến dịch bệnh phức tạp, BS Thủy khuyến cáo người dân cần đặc biệt chú ý công tác phòng bệnh như: tiêm vaccine phòng cúm, giữ vệ sinh cá nhân, hạn chế đến nơi đông người, hạn chế tiếp xúc với người mắc cúm hoặc có triệu chứng nghi ngờ, đeo khẩu trang.
Khi có các triệu chứng nghi ngờ, người dân cần đến các cơ sở y tế để bác sĩ thăm khám, phân loại và có chỉ định điều trị kịp thời, đặc biệt là các nhóm bệnh nhân có nguy cơ cao.
























