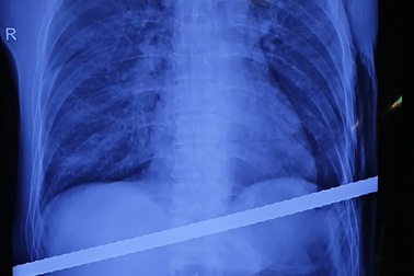
Kỳ tích cứu sống người đàn ông bị thanh sắt đâm xuyên ngườiKhông may bị ngã cầu thang do tai nạn lao động, nam bệnh nhân 42 tuổi bị thanh sắt đâm xuyên từ bờ dưới của sườn bên phải ngang qua người. Thanh sắt đâm xuyên qua gan, màng phổi bệnh nhân.
Nam sinh 16 tuổi bị thanh sắt dài 3m đâm xuyên từ đầu qua gáyĐi chơi với bạn vào đêm Trung thu, nam thanh niên ở Nghệ An bị thanh sắt dài 3m đâm xuyên thấu từ vùng đầu, mặt qua gáy. Các bác sĩ đã cưa bớt sắt, chuyển nam bệnh nhân ra Bệnh viện Việt Đức cấp cứu.
Cầu Long Biên gặp sự cố, ngành đường sắt phong tỏa khẩn cấp để sửa chữaNhịp 18 cầu Long Biên gặp sự cố nghiêm trọng đe dọa trực tiếp đến an toàn công trình và an toàn giao thông, buộc ngành đường sắt phải phong tỏa khu gian Hà Nội - Gia Lâm.
00:15Cặp đôi chở thanh sắt “hạ gục” người đi đườngCặp đôi chở thanh sắt cồng kềnh bằng xe máy điện, khiến phần đầu thanh sắt chìa ra đường và đâm mạnh vào một người đi xe máy, dẫn đến tai nạn hết sức nguy hiểm.
Ô tô lao qua làn xe máy trên cầu Thanh Trì: Bao giờ thay thế dải phân cách?Liên tiếp các vụ ô tô lao sang làn xe máy trên cầu Thanh Trì khiến người đi đường cảm thấy bất an, và mong dải phân cách “vừa cứng vừa mềm” sớm được thay thế.
Hai tàu cao tốc chở 400 người đâm nhau ở Tây Ban Nha, 21 người thiệt mạngÍt nhất 21 người đã thiệt mạng và nhiều người khác bị thương sau khi hai đoàn tàu va chạm ở miền nam Tây Ban Nha vào tối 18/1 (giờ địa phương).
Một người kịp "chặn" đoàn tàu dừng khẩn cấp tránh đâm ô tô trên đường rayTàu hàng đang lưu thông với tốc độ khoảng hơn 70km/h phải dừng khẩn cấp khi tiếp nhận tín hiệu cảnh báo nguy hiểm có ô tô án ngữ trên đường ray.
Nổi bật tuần qua: Thót tim khoảnh khắc tàu kịp dừng tránh ô tô bị mắc kẹtĐoạn video ghi lại khoảnh khắc đoàn tàu kịp thời giảm tốc độ và dừng lại để tránh chiếc ô tô bị mắc kẹt trên đường sắt, là một trong những tình huống giao thông nổi bật tuần qua.
Bắc Ninh: Nam thanh niên rơi thủng mái nhà xuống đất, chủ tiệm tóc hú víaTrong tích tắc, nam thanh niên ở Bắc Ninh rơi từ nhà bên cạnh xuyên qua mái tiệm tóc. Chủ cửa hàng và khách trải qua tình huống hú vía, sợ hãi.
Đôi vợ chồng tử vong trong nhà, trên người có nhiều vết đâmAnh P. (29 tuổi, ở An Giang) trình báo Công an phường Long Xuyên việc ba mẹ anh tử vong, trên người có nhiều vết đâm.
Nổi bật tuần qua: Cặp đôi đi xe máy vác thanh sắt "hạ gục" người đi đườngCặp đôi đi xe máy vác theo thanh sắt cồng kềnh đã vướng vào một người đi đường gây ra tai nạn nguy hiểm. Đó là một trong những tình huống giao thông nổi bật tuần qua.
Vụ thảm án trong nhà nghỉ (kỳ 1): 19 nhát dao đoạt mạngNghe tiếng tri hô của người dọn dẹp nhà nghỉ Hồng Anh, mọi người chạy vào phòng 201 kiểm tra thì phát hiện ông N.V.T. (chủ nhà nghỉ) đã tử vong. Nạn nhân bị kẻ thủ ác đâm tới 19 nhát dao.