Kỳ tích cứu sống người đàn ông bị thanh sắt đâm xuyên người
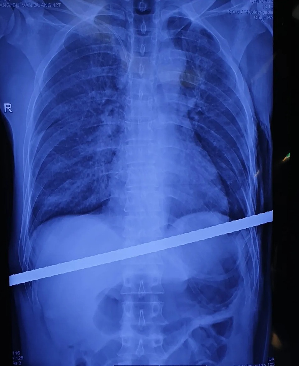
(Dân trí) - Không may bị ngã cầu thang do tai nạn lao động, nam bệnh nhân 42 tuổi bị thanh sắt đâm xuyên từ bờ dưới của sườn bên phải ngang qua người. Thanh sắt đâm xuyên qua gan, màng phổi bệnh nhân.
Ca tai nạn hi hữu được chuyển đến bệnh viện cấp cứu chiều 11/7, trong tình trạng bệnh nhân vẫn còn nguyên thanh sắt đâm xuyên qua người.
Trước đó, sau tai nạn xảy ra, nạn nhân được đưa đến Bệnh viện Quân y 105 cấp cứu. Các bác sĩ của Bệnh viện Quân y 105 đã tiến hành sơ cứu cho bệnh nhân, nhanh chóng mời các bác sĩ Bệnh viện Trung ương Quân đội 108 hội chẩn.

Ngay sau khi tổ chức hội chẩn liên việt, kíp bác sĩ của Bệnh viện TWQĐ 108 gồm: TS. Ngô Vi Hải – Chủ nhiệm khoa Ngoại lồng ngực, TS. Lê Văn Thành – Chủ nhiệm khoa Phẫu thuật Gan Mật Tụy đã có mặt tại Bệnh viện Quân y 105 và tiến hành phẫu thuật cho bệnh nhân.
TS. Lê Văn Thành – Chủ nhiệm khoa Phẫu thuật Gan Mật Tụy, Bệnh viện Trung ương 108 cho biết, với những trường hợp bị thanh sắt đâm xuyên người như thế này, bệnh nhân phải đối mặt với nguy cơ tổn thương các mạch máu lớn ở gan.
Vì vậy, các bác sĩ đã kiểm soát các mạch máu lớn trên khu vực của thanh sắt đi qua để khi rút thanh sắt ra, nếu có chảy máu lớn thì sẽ kiểm soát được ngay lập tức.
Rất may mắn, khi các bác sĩ rút thanh sắt ra, cho thấy thanh sắt thanh sắt không làm rách tĩnh mạch gan, tĩnh mạch chủ, có đứt một số tĩnh mạch nhỏ, động mạch nhỏ đã được khâu lại.
TS Ngô Vi Hải – Chủ nhiệm khoa Ngoại lồng ngực, Bệnh viện Trung ương Quân đội108 cũng cho biết thêm, các bác sĩ cũng đã tiến hành mở ngực bên trái để kiểm tra và may mắn, không thấy tổn thương tim, nhu mô phổi.
Ca phẫu thuật diễn ra trong 2 tiếng đồng hồ với sự phối hợp cuả hai viện. Sau phẫu thuật 1 ngày, sức khỏe của bệnh nhân ổn định.
Hồng Hải





