


Mỗi năm, hơn 120.000 người Việt tử vong vì ung thư

Cà phê trộn ngô và đậu nành rang cháy nguy hiểm như thế nào?

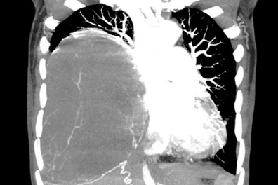
Phẫu thuật robot ung thư thực quản, ngày 2 bệnh nhân có thể uống nước

Điểm mặt những loại ung thư thường gặp ở nữ: Bệnh nào tử vong nhiều nhất?















