Đi khám vì đau lưng bất ngờ phát hiện thận hình... móng ngựa
(Dân trí) - Tỷ lệ gặp thận móng ngựa từ 1/400 -1/800 trẻ, gặp ở nam nhiều hơn nữ. Người có thận móng ngựa chung sống với nó suốt đời, chỉ điều trị khi có các bệnh lý.
Cụ ông N.V.V., 77 tuổi, sống tại Hà Nội vào Bệnh viện Hữu Nghị để thăm khám vì đau thắt lưng trái, tiểu buốt, sốt nhẹ.
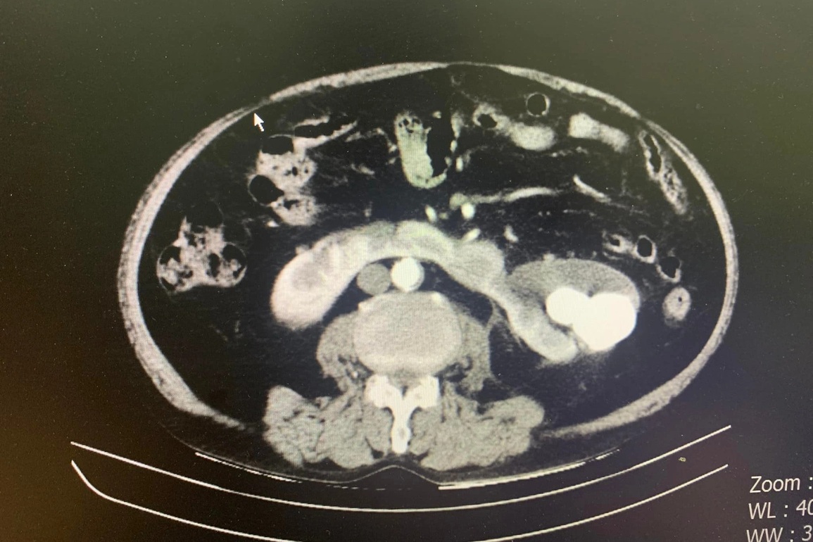
Qua thăm khám, bệnh nhân được chẩn đoán sỏi san hô thận trái, sỏi niệu quản trái trên nền tiểu đường, tăng huyết áp. Đáng chú ý, các bác sĩ phát hiện bệnh nhân mắc một tình trạng hiếm gặp: Thận móng ngựa.

Theo bác sĩ Nguyễn Hồng Long - Khoa Ngoại tổng hợp, Bệnh viện Hữu Nghị, ở người bình thường hai thận sẽ nằm hai bên cạnh cột sống và tách rời nhau. Tuy nhiên ở bệnh nhân bị thận móng ngựa, hai thận sẽ dính vào nhau thành một khối vắt ngang cột sống. Vì thế sẽ dẫn đến các bất thường giải phẫu và khi mổ sẽ dễ gặp tai biến và nguy cơ phải cắt toàn bộ thận là rất cao.
"Thận móng ngựa là nỗi e ngại của rất nhiều bác sĩ phẫu thuật, thậm chí đã từng là nỗi ám ảnh của phẫu thuật viên", BS Long chia sẻ.
Thận móng ngựa là tình trạng bất thường bẩm sinh. Khi thai nhi vẫn còn trong bụng người mẹ, bệnh sẽ khiến vị trí hai quả thận trong tiểu khung sẽ thấp hơn bình thường. Phần eo giả có thể phát triển đối xứng hoặc không. Phần lớn trẻ sinh ra mắc thận móng ngựa bẩm sinh vẫn có sức khỏe bình thường.

Các bác sĩ phẫu thuật cho bệnh nhân.
Tỷ lệ gặp thận móng ngựa từ 1/400 -1/800 trẻ, gặp ở nam nhiều hơn nữ. Người có thận móng ngựa chung sống với nó suốt đời, chỉ điều trị khi có các bệnh lý.
Người bị bệnh thận móng ngựa khó có thể tự phát hiện ra bệnh tật của mình. Tức là người bệnh chỉ được phát hiện tình cờ hay được phát hiện khi bệnh đã điển hình. Hiếm có ai phát hiện được ở trong giai đoạn sớm.
Nguyên nhân của việc này là vì người bệnh vẫn có hai quả thận hoạt động bình thường. Vẫn bài tiết ra nước tiểu nên ít ai nghĩ rằng mình bị thận hình móng ngựa.
Với trường hợp của bệnh nhân V., kíp phẫu thuật đã mổ nội soi lấy sỏi thận, đồng thời tán sỏi niệu quản trái nội soi ngược dòng. Nhờ triển khai đồng bộ các phương pháp tiên tiến nhất nên bệnh nhân đã được can thiệp xâm lấn tối thiểu nhất. Ca mổ đã thành công sau 2 giờ phẫu thuật.













