Đốt sóng cao tần tuyến giáp là gì?Đốt sóng cao tần tuyến giáp là một phương pháp điều trị nhân tuyến giáp bằng sóng cao tần. Đây là một trong những phương pháp phá hủy tại chỗ gây hoại tử mô bằng nhiệt.
03:12Điều trị rung nhĩ bằng sóng cao tầnBệnh viện FV vừa thực hiện đốt rung nhĩ bằng sóng cao tần, trả lại nhịp tim bình thường cho cụ bà 79 tuổi.
Triệt bướu giáp bằng sóng cao tần: Hiệu quả cao và an toànTriệt bướu giáp lành tính bằng sóng cao tần (RFA) là kỹ thuật xâm lấn tối thiểu qua việc đưa mũi kim nhỏ vào khối bướu. Đây là giải pháp hiệu quả và an toàn, bảo tồn tuyến giáp tốt hơn, đảm bảo chất lượng sống của người bệnh sau điều trị.
03:24Hành trình điều trị thành công u gan của bệnh nhânPhương pháp nút mạch và đốt sóng cao tần RFA giúp bệnh nhân loại bỏ u gan 3cm không cần phẫu thuật.
Đốt rung nhĩ bằng sóng cao tần, giúp cụ bà 79 tuổi thoát nguy kịchBà Trần Thị Hồ (79 tuổi, TPHCM) vào Bệnh viện FV trong tình trạng khó thở, đánh trống ngực, tim đập nhanh. Được chẩn đoán rung nhĩ, các bác sĩ FV đã thực hiện đốt rung nhĩ bằng sóng cao tần, trả lại nhịp tim bình thường cho bà.
Bệnh nhi suy tim nhỏ tuổi nhất được cứu sống bằng sóng cao tầnNăm 2014, Bệnh viện Nhi Trung ương đã từng cứu sống một bệnh nhi 8 tháng tuổi nhờ kỹ thuật triệt đốt đường dẫn điện trong tim bất thường hay còn gọi là đường phụ bằng năng lượng sóng cao tần. Đầu tháng 9/2015, phương pháp này đã tiếp tục cứu sống một bệnh nhi chỉ mới 6 tháng tuổi, nặng có 6kg.
Điều trị thành công rối loạn nhịp tim ở trẻ 3 tuổi bằng sóng cao tầnNgày 4/5, theo TS. Nguyễn Cửu Lợi, Phó Giám đốc Trung tâm Tim mạch Huế, Bệnh viện Trung ương Huế - đơn vị đã điều trị điện sinh lý thực hiện đốt triệt bỏ đường phụ thành công trên bệnh nhi 3 tuổi mắc hội chứng Wolff-Parkinson-White (W-P-W) bằng sóng cao tần.
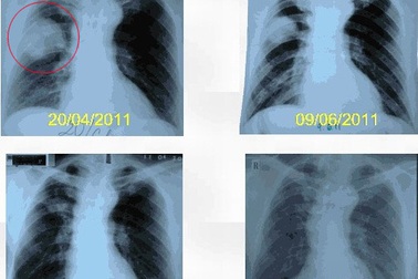
Đốt u phổi bằng sóng cao tần, hi vọng mới của bệnh nhân ung thưĐốt khối u phổi ác tính bằng sóng cao tần là kỹ thuật mới trong điều trị ung thư phổi đang được thực hiện khá thành công tại bệnh viện Phạm Ngọc Thạch trong 2 năm qua với 40 bệnh nhân.
Bệnh viện Ung bướu Cần Thơ thực hiện kỹ thuật đốt u gan bằng sóng cao tầnNgày 17/4, bác sĩ Lê Quốc Chánh- Giám đốc Bệnh viện ung bướu Cần Thơ cho biết, nhờ sự chuyển giao kỹ thuật của bệnh viện Chợ Rẫy, từ nay bệnh viện có thể điều trị ung thư gan cho bệnh nhân bằng kỹ thuật đốt u gan bằng sóng cao tần (RFA).
Bệnh viện ĐKTP Cần Thơ điều trị suy tĩnh mạch chi dưới bằng sóng cao tầnNgày 30/5, bác sĩ Phạm Văn Phương, Phó khoa Ngoại tổng hợp BVĐKTP Cần Thơ cho biết bệnh viện vừa nhận chuyển giao phương pháp điều trị bệnh giãn tĩnh mạch chi dưới bằng sóng cao tần RFA”từ Bệnh viện Trường Đại học Y Dược TPHCM.
Phương pháp điều trị khối u ung thư gan 3cm không cần phẫu thuậtPhát hiện ung thư gan 3cm nhưng không muốn phẫu thuật vì lo ngại biến chứng hậu phẫu, ông H.H.V (60 tuổi) được bác sĩ BVĐK Hồng Ngọc điều trị thành công bằng 2 phương pháp ít đau, xâm lấn tối thiểu: nút mạch và đốt sóng cao tần u gan.
Loại bỏ khối u hiếm gặp cho nữ bệnh nhân 17 tuổi không cần mổBệnh nhân N.A.T (sinh năm 2005, Hà Nội) có khối u lớn gần 5cm ở tuyến giáp, tình trạng hiếm gặp ở độ tuổi dưới 18. Bệnh nhân được điều trị bằng công nghệ đốt sóng cao tần RFA không cần phẫu thuật, không để lại sẹo.