Kì lạ người đàn ông có nội tạng đảo ngượcMột người đàn ông 66 tuổi ở Mỹ đã khiến các bác sĩ không khỏi bất ngờ khi các cơ quan nội tạng đều ở vị trí ngược hoàn toàn so với người bình thường.
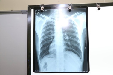
Kỳ lạ bệnh nhân có trái tim, nội tạng đảo ngược với người bình thườngHình ảnh chụp X - quang cho thấy bệnh nhân Vũ Văn H. (37 tuổi, Gia Lâm, Hà Nội) có trái tim cùng với các phủ tạng khác trong lồng ngực và bụng có vị trí "soi gương" so với bình thường. Tức là, trái tim và dạ dày ở bên phải, còn gan và ruột thừa thì ở bên trái.
Người phụ nữ kì lạ sống 99 năm với các cơ quan nội tạng “đảo ngược”Rose Marie Bentley, một người phụ nữ người Mỹ, cho đến khi qua đời con cháu mới biết bà là một người thực sự kì lạ.
Kỳ lạ bé gái mới sinh đã đảo ngược hoàn toàn phủ tạng, tim nằm bên phảiBé gái mới hơn một tháng tuổi mang trong mình các dị tật bẩm sinh hiếm gặp, trong đó có tình trạng đảo ngược hoàn toàn phủ tạng và tim nằm bên phải, cần phải phẫu thuật khẩn.
Người đàn ông có phủ tạng đảo ngược, trái tim nằm bên phảiVào viện khám do đau bụng nhiều, sốt cao, vàng da, vàng mắt tăng dần... bệnh nhân được chẩn đoán sỏi mật - nhưng trên một bệnh nhân có phủ tạng đảo ngược hoàn toàn.
Người mẫu 26 tuổi bị bắt cóc và sát hại, thi thể không còn nội tạngNgười mẫu Belarus Vera Kravtsova (26 tuổi) đã bị bắt cóc, cưỡng bức và sát hại. Vera đến Thái Lan vào tháng trước sau khi nhận được lời đề nghị làm người mẫu bán thời gian và đi phỏng vấn.
Báo Argentina tung bằng chứng khó chối cãi, bóng đá Malaysia thêm chao đảoNgay sau khi FIFA công bố phán quyết cuối cùng với Liên đoàn bóng đá Malaysia (FAM), tờ Capital de Noticias (Argentina) tiếp tục tung thêm bằng chứng về gốc gác cầu thủ Imanol Machuca.
Sinh 3 đứa con bạch tạng, vợ Rồng chồng Mây ở Cần Thơ nổi tiếng khắp vùngSau khi sinh 3 đứa con bạch tạng, anh Rồng và chị Mây ở Sóc Trăng cũ (nay là Cần Thơ) nổi tiếng khắp vùng. Họ làm YouTube nhận được hơn 200 nghìn lượt theo dõi và mang về nguồn thu nhập khá.
Tự xưng nhân viên Bệnh viện Chợ Rẫy yêu cầu đóng tiền để nhận thẻ hiến tạngNgày 1/8, đại diện Bệnh viện Chợ Rẫy đã phát thông báo về việc có đối tượng tự xưng là nhân viên nơi này yêu cầu nộp một khoản phí liên quan đến việc đăng ký hiến mô - tạng.
Lần đầu tiên cấy ghép phổi lợn cho ngườiBước tiến mới trong nghiên cứu cấy ghép dị loài mở hy vọng giải quyết khủng hoảng thiếu hụt nội tạng, song vẫn còn nhiều thách thức phía trước.
Thiếu nữ 20 tuổi ở Hà Nội có phủ tạng đảo ngược hoàn toànCô gái 20 tuổi vào viện trong tình trạng đau hố chậu trái, được xác định viêm ruột thừa. Trong khi với người bình thường, biểu hiện đau ruột thừa sẽ là vùng hố chậu phải.
Học sinh lớp 10 thủng dạ dày nguy kịch, phải phẫu thuật khẩn cấp ở đặc khuTrước tình trạng thủng dạ dày nguy kịch của nam sinh lớp 10, bệnh nhân được hội chẩn khẩn cấp với các chuyên gia từ đất liền, để phẫu thuật ngay tại đặc khu.