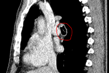
Ho sặc sụa suốt 3 năm vì xương cá lọt vào phế quảnSuốt 3 năm qua, người đàn ông 55 tuổi phải sống chung với những cơn ho sặc sụa, đàm nhớt, đi khám nhiều nơi nhưng không tìm ra bệnh. Sau khi kiểm tra hình ảnh, bác sĩ tiến hành nội soi gắp ra mảnh xương cá từ phế quản của ông.
Bé trai 2 tuổi ho sặc sụa, nôn dịch màu xanh vì uống nhầm thuốc trừ sâuKhi đó, trẻ đang chơi phía ngoài nhà thì đột nhiên ho nhiều, ho sặc sụa. Người nhà chạy ra thì thấy bé cầm lọ thuốc trừ sâu đã mở nắp.
00:35Nữ ca sĩ xinh đẹp ho sặc sụa trên sân khấu vì bị... bọ bay vào miệng khi đang biểu diễnNữ ca sĩ xinh đẹp ho sặc sụa trên sân khấu vì bị... bọ bay vào miệng khi đang biểu diễn
Bé 2 tuổi ho sặc sụa vì nuốt nhẫn hột xoàn của bàTò mò lục tủ của bà nội, bé T. phát hiện chiếc nhẫn hột xoàn nên lấy ra chơi rồi đưa vào miệng và bị trôi xuống thực quản. Thấy bé có biểu hiện ho sặc gia đình đưa đến bác sĩ thì phát hiện dị vật trong đường ruột.
Hai người phụ nữ suýt mất Tết vì gặp tai nạn nguy hiểm trong bữa ănSau bữa ăn, hai người phụ nữ bị ho sặc sụa và nuốt đau. Kết quả thăm khám phát hiện, họ có dị vật đường ăn và dị vật đường thở nguy hiểm.
Sau khi ăn dưa hấu, bé gái phải nhập viện vì "thủ phạm" nàySau khi ăn dưa hấu, trẻ ho sặc sụa, tím tái, khó thở, thở rít nên được đưa ngay vào viện.
Suýt mất mạng vì hóc xương gàTrong lúc ăn cơm, ông Đ. không may nuốt cả xương đùi gà dẫn tới tình trạng ho sặc sụa, tím tái do bị mẩu xương gà bịt kín đường thở.
Bé trai 8 tháng tuổi nguy kịch vì nuốt cuống trái xoài mẹ cho cầm chơiKhi người mẹ đưa trái xoài cho con trai cầm chơi, bé đưa lên miệng ngậm rồi đột ngột ho sặc sụa, sau đó lên cơn khó thở, tím tái nguy kịch.
Còi đồ chơi chui tọt vào phế quản bé trai 3 tuổiKhi đang ngậm kèn nhựa để thổi, bé N. M.Q. (3 tuổi, Sóc Sơn, Hà Nội) ho sặc sụa, phần còi của chiếc kèn chui tọt vào miệng bé.
Súc miệng đi ngủ, cô gái suýt chết vì rơi răng giả xuống phổiTrong lúc súc miệng đi ngủ, chiếc răng giả có 3 móc sắt của cô gái rơi xuống cổ họng, khiến nạn nhân ho sặc sụa, đau tức ngực kéo dài phải nhập viện cấp cứu.
Ăn hạt hướng dương, bé 13 tháng tắc đường thởTrong lúc ăn hạt hướng dương bé trai 13 tháng tuổi ho sặc sụa, tím tái và tắc đường thở sau đó.
Sợi thép dài 2cm từ rây lọc cháo đâm thủng amidan bé gái 13 tháng tuổiKhi đang ăn cháo, bé bỗng ho sặc sụa, nôn nhiều, sau đó nôn ra máu. Tại bệnh viện, bác sĩ tìm ra thủ phạm là sợi thép dài 2cm đâm thủng amidan của bệnh nhi.