Ho sặc sụa suốt 3 năm vì xương cá lọt vào phế quản
(Dân trí) - Suốt 3 năm qua, người đàn ông 55 tuổi phải sống chung với những cơn ho sặc sụa, đàm nhớt, đi khám nhiều nơi nhưng không tìm ra bệnh. Sau khi kiểm tra hình ảnh, bác sĩ tiến hành nội soi gắp ra mảnh xương cá từ phế quản của ông.
Bác sĩ nội soi gắp xương cá kẹt trong phế quản suốt 3 năm
Ngày 8/3, Bệnh viện quận Thủ Đức cho hay, tại đây vừa tiếp nhận và can thiệp thành công cho một trường hợp bị dị vật bỏ quên trong đường thở hiếm gặp. Bệnh nhân là ông Phan M. (55 tuổi, ngụ tại Quảng Ngãi) đến bệnh viện thăm khám trong tình trạng ho liên tục kèm theo đàm nhớt.
Người bệnh cho biết, ông đã phải sống chung với những cơn ho suốt 3 năm qua, dù đã đi kiểm tra ở nhiều bệnh viện nhưng không tìm ra nguyên nhân.

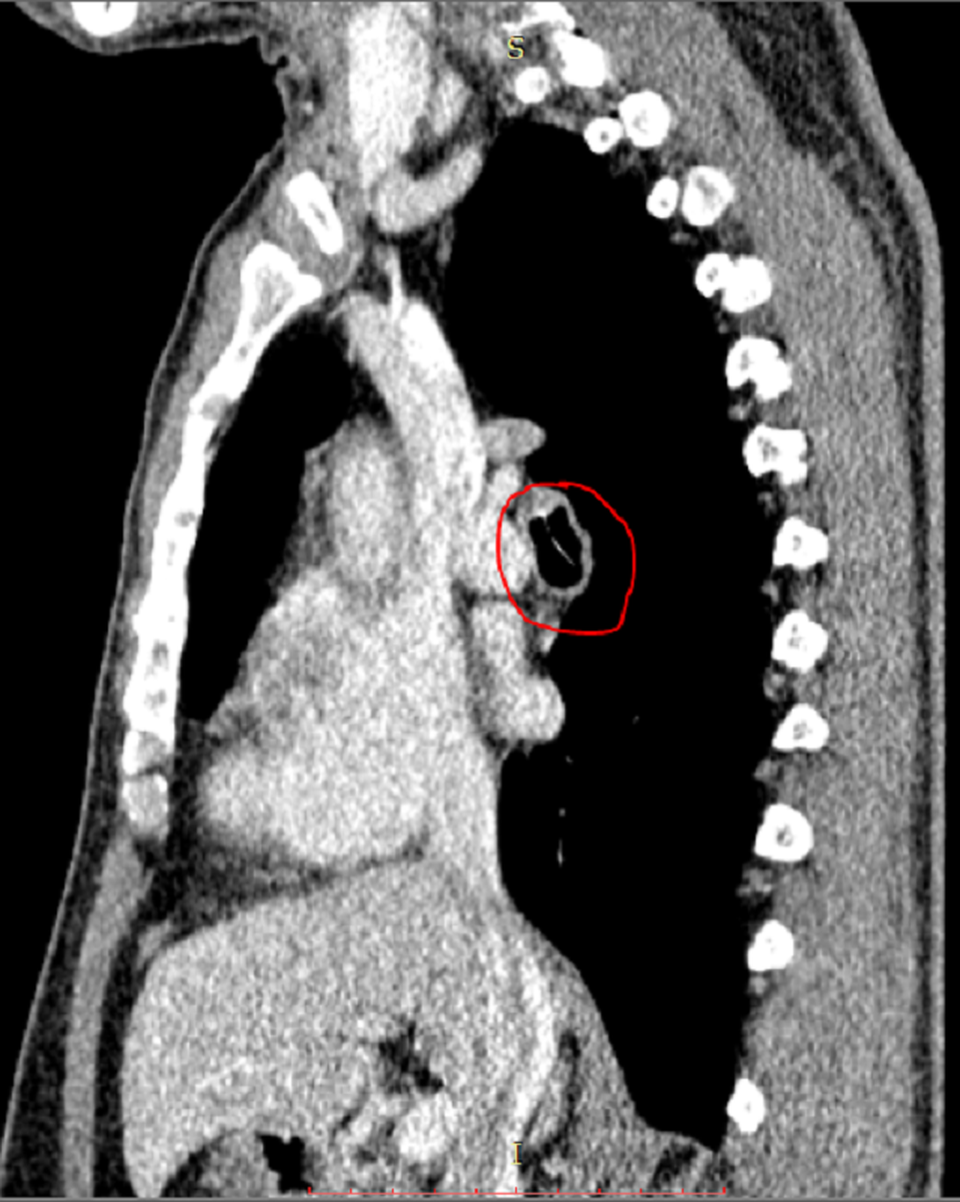
Hình quản CT cho thấy dị vật nằm ở vị trí sát động mạch rất nguy hiểm
Tại khoa Nội tổng quát, bệnh nhân được bác sĩ chỉ định chụp CT. Kết quả chẩn đoán hình ảnh ghi nhận vùng phế quản phải, nằm sát động mạch phổi có dị vật lạ không rõ bản chất, kèm viêm xung huyết quanh dị vật. Sau hội chẩn, bác sĩ nhận định đây là trường hợp bị dị vật “bỏ quên” nên chỉ định nội soi gắp ra ngoài.
Tuy nhiên, dị vật nằm ở vị trí rất nguy hiểm khiến người bệnh đối mặt với nguy cơ tổn thương động mạch phổi dẫn đến xuất huyết, nguy hiểm đến tính mạng. Sau khi chuẩn bị, ê kíp các bác sĩ đã nhanh chóng nội soi qua đường mũi gắp thành công mảnh xương cá nằm trong phế quản.

Mẩu xương cá nhỏ là "thủ phạm" gây ra tình trạng ho sặc suốt 3 năm ở bệnh nhân
Bất ngờ trước mẩu xương cá được bác sĩ gắp ra từ đường thở của mình, ông Phan M. nhớ lại: “Khoảng 3 năm trước, trong lúc ăn cơm, do không để ý, tôi đã nuốt phải xương cá. Nghĩ nuốt vào thì nó cũng xuống dạ dày, không quan tâm nữa. Khoảng 4 tháng sau, tôi bắt đầu có triệu chứng ho, đi khám và uống thuốc nhiều nơi nhưng không hết mà chỉ được thời gian ngắn lại bị tái phát”.
Từ trường hợp trên, bác sĩ khuyến cáo cộng đồng, khi ăn nếu bị sặc, ho, có triệu chứng đau tức ngực, ho dữ dội, cần đi khám ngay. Trường hợp xác định bị hóc dị vật, không nên cố lấy dị vật ra, nhất là khi dị vật đã đi vào đường hô hấp. Dị vật cần được can thiệp để lấy ra ngoài càng sớm càng tốt nếu để lâu sẽ dẫn tới viêm phổi tái phát nhiều lần.

Để tránh trường hợp tương tự như ông Phan M. cộng đồng không nên chủ quan khi chẳng may bị ho sặc
Để tránh nguy cơ bị hóc sặc dị vật, khi ăn uống, người dân cần tránh cười đùa nói lớn. Với nhóm trẻ nhỏ, phụ huynh không nên cho trẻ đùa nghịch khi ăn hoặc chơi các đồ chơi nhỏ vì trẻ nhỏ hay ngậm, mút đồ chơi, rất dễ bị rơi vào đường thở.
Vân Sơn










