Chủng Zika tại Việt Nam ít gây hội chứng đầu nhỏTrước sự hoang mang, lo lắng của người dân khi Việt Nam xuất hiện ca nhiễm vi rút Zika thứ 3 tại tỉnh Phú Yên, Bộ Y tế cho biết chủng Zika tại Việt Nam ít gây hội chứng đầu nhỏ, không dễ lây lan như chủng gây bệnh ở Nam Mỹ.
Vi rút Zika gây ra hội chứng đầu nhỏNgày 15/4, Cục Y tế dự phòng (Bộ Y tế) thông tin, Trung tâm Dự phòng và Kiểm soát bệnh tật Hoa Kỳ (USCDC) đã khẳng định vi rút Zika gây ra chứng đầu nhỏ cũng như một số biến chứng nghiêm trọng khác về não. Bộ Y tế cũng khuyến cáo cụ thể các đối tượng cần xét nghiệm vi rút Zika.
Nên dừng thai nghén nếu xác định hội chứng đầu nhỏ do vi rút ZikaTheo PGS.TS Trần Danh Cường, không phải trường hợp nào nhiễm zika vi rút đều gây hội chứng đầu nhỏ cho thai nhi nhưng nếu xác định là hội chứng này thì nên đình chỉ thai nghén.
Việt Nam xác nhận ca mắc hội chứng đầu nhỏ do vi rút Zika đầu tiênSáng 30/10, PGS.TS Trần Đắc Phu, Cục trưởng Cục Y tế dự phòng xác nhận, ca mắc hội chứng đầu nhỏ do vi rút Zika đầu tiên ở Việt Nam được phát hiện, đó là trường hợp bé gái 4 tháng tuổi ở Đắk Lắk.
Việt Nam: Phát hiện bé 4 tháng tuổi nghi mắc hội chứng đầu nhỏ do ZikaNgày 17/10, PGS.TS Trần Đắc Phu, Cục trưởng Cục Y tế dự phòng (Bộ Y tế) cho biết, hệ thống giám sát bệnh truyền nhiễm của Bộ Y tế đã ghi nhận 1 trường hợp trẻ 4 tháng tuổi sinh sống tại huyện Krông Búk, tỉnh Đắk Lắk có triệu chứng dị tật bẩm sinh nghi mắc chứng đầu nhỏ.
Thai phụ làm thế nào để không nhiễm vi rút Zika?Với người bình thường, bệnh do Zika biểu hiện nhẹ, thậm chí không triệu chứng với 80% ca bệnh tự khỏi. Nhưng với phụ nữ mang thai, nhất là trong 3 tháng đầu, vi rút Zika có nguy cơ gây hội chứng đầu nhỏ ở thai nhi.
Sẽ dừng sử dụng hóa chất diệt ấu trùng muỗi nếu liên quan đến tật đầu nhỏLiên quan đến nghi vấn hóa chất diệt ấu trùng muỗi gây dị tật đầu nhỏ chứ không phải vi rút Zika, Bộ Y tế khẳng định sẽ yêu cầu ngừng ngay sử dụng hóa chất này nếu tìm thấy bất kỳ mối liên hệ nào giữa hóa chất này và hội chứng đầu nhỏ.
Thêm một ca mắc Zika là trẻ emNgày 20/10, PGS.TS Trần Đắc Phu, Cục trưởng Cục Y tế dự phòng (Bộ Y tế) cho biết, kết quả xét nghiệm tại Viện Pasteur TP HCM phát hiện thêm một trường hợp nhiễm Zika là bé gái 4 tuổi trú huyện Bến Lức, Long An. 2 trường hợp khác mắc hội chứng đầu nhỏ tại Đắk Lắk đang được điều tra nguyên nhân.
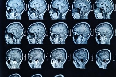
Vì sao thai phụ mắc vi rút Zika phải siêu âm 2 tuần/lần?Thông tin một thai phụ ở TP HCM có bầu 8 tuần được chẩn đoán mắc virus Zika – loại vi rút đang bị nghi ngờ gây hội chứng đầu nhỏ ở trẻ sơ sinh - khiến nhiều người lo lắng. Dư luận quan tâm làm thế nào và nơi nào có thể chẩn đoán đứa trẻ có mắc hội chứng nguy hiểm này? PV Báo GĐ&XH đã có cuộc trò chuyện với BS Nguyễn Anh Tuấn, Trưởng khoa Chẩn đoán hình ảnh (Bệnh viện Phụ sản Trung ương) để làm rõ hơn vấn đề này.
Bệnh viện đầu tiên tại miền Nam đạt chứng nhận ISO về chẩn đoán hình ảnhTrung tâm Chẩn đoán hình ảnh và Điện quang can thiệp, BVĐK Tâm Anh TPHCM được Văn phòng Công nhận Chất lượng Quốc gia (BoA) công nhận đạt tiêu chuẩn ISO 15189:2022, cũng là đơn vị đầu tiên tại miền Nam đạt chứng nhận này.
Người chế những khu rừng nguyên sinh tiền tỷ trong thành phốKhi nói chuyện với một vị khách trung niên giàu có, Huỳnh Phượng nghe kể về một ước muốn lớn lao, rằng họ muốn trong nhà có một khu rừng, để khi nhìn có thể nhìn thấy tuổi thơ của mình.
Ca mổ robot chữa bệnh hiếm gặp, lần đầu tiên thực hiện ở Việt NamCác bác sĩ phát hiện người đàn ông mắc bệnh lý hiếm gặp cần phẫu thuật, nhưng chỉ một sai sót nhỏ cũng có thể dẫn đến biến cố chảy máu không thể kiểm soát. Lúc này, mổ robot được lựa chọn.