Đánh chết người đi rẫy vì nghi ăn trộm điềuNhiều lần bị mất trộm điều nhưng không bắt được thủ phạm nên khi phát hiện có người lạ đi vào khu vực rẫy của mình, bị cáo đã dùng hung khí đâm chết.
Vợ nạn nhân kêu oan cho bị cáoQuang bị truy tố tội giết người. Tuy nhiên, khai tại tòa, vợ của nạn nhân lại kêu oan cho Quang và khẳng định người giết chồng mình là người khác.
Thanh niên vùng quê vác dao chém nhau như phim hành độngChỉ vì những xích mích nhỏ hay đôi lời cãi vã, những thanh niên này có thể kêu gọi bạn bè đem theo các loại hung khí như dao, rựa, mã tấu, chỉa sắt... đi đâm chém người như trong phim hành động.
Chê đồ ăn đắt, khách bị đầu bếp đâm trọng thươngTrong lúc nhậu, nhóm anh Trung phàn nàn về việc quán bán đồ ăn đắt dẫn đến mâu thuẫn và ẩu đả với nhân viên của quán. Bị ném vỏ chai bia vào người, đầu bếp Mạnh lấy chỉa sắt (dùng để nướng heo) đâm anh Trung trọng thương.
Bị truy sát từ quán nhậu đến bệnh viện vì mâu thuẫn giữa 2 cô gáiTrong lúc nhậu, giữa 2 cô gái xảy ra mâu thuẫn nên cùng gọi "đồng bọn" đến hỗ trợ. Sau đó, các đối tượng dùng mã tấu, cây ba chỉa truy sát nhau từ quán nhậu đến bệnh viện.
Tử hình cô gái đâm chết cha người tình đồng tínhBị gia đình người yêu ngăn cản quan hệ tình cảm đồng tính, Phương đến nhà nói chuyện mong nối lại tình xưa thì xảy ra xô xát. Phương đâm chết cha người yêu và đâm người mình yêu thương tật vĩnh viễn 17%.
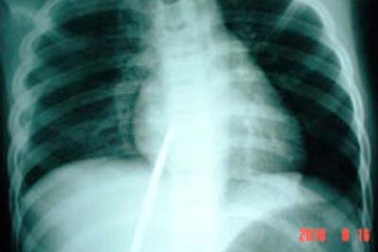
Sơ ý, một trẻ bị đâm thủng tim phổiTrong lúc đang săn chuột, T. bị một người bạn sơ ý đâm thẳng cây chĩa vào lồng ngực. Em được đưa tới bệnh viện trong tình trạng cây chĩa dài khoảng 2 mét ngập sâu vào cơ thể đâm thủng màng phổi phải và xuyên tâm thất phải.
Đâm chết người già vì nghi lấy trộm đèn pin(Dân trí) – Ngày 20/9, Cơ quan CSĐT Công an huyện Đại Lộc (Quảng Nam) cho biết đã bắt khẩn cấp đối tượng Võ Ngọc Long (28 tuổi, trú thôn Phiếm Ái 1, xã Đại Nghĩa, huyện Đại Lộc) để điều tra hành vi giết người.
Va chạm xe, chém người điên cuồngChỉ vì cú va chạm nhỏ nhặt trên đường, 2 nhóm thanh niên tại TP.HCM đã quyết ăn thua, truy sát nhau. Hậu quả 1 người chết; còn 8 người sắp phải đối diện với án tù.
Giả vờ chặn xe kiểm tra rồi cướp tài sảnLập thường chặn xe phụ nữ đi một mình trên những đoạn đường vắng, sau đó đòi kiểm tra giấy tờ xe để nạn nhân mất cảnh giác rồi hắn tiếp cận uy hiếp, cướp tài sản.
Những phi vụ làm ăn “sặc mùi”... xã hội đenLuận “sẻ” là một tay anh chị khét tiếng trong giới giang hồ, được đám đàn em tôn lên hàng “cáo già” lũng đoạn 3 tỉnh Hải Dương - Hải Phòng - Quảng Ninh, đã chọn một nơi nằm gần như chính giữa “tam giác giang hồ” làm “đại bản doanh” của mình tại thị trấn Minh Tân.