TPHCM:
Sơ ý, một trẻ bị đâm thủng tim phổi
(Dân trí) - Trong lúc đang săn chuột, T. bị một người bạn sơ ý đâm thẳng cây chĩa vào lồng ngực. Em được đưa tới bệnh viện trong tình trạng cây chĩa dài khoảng 2 mét ngập sâu vào cơ thể đâm thủng màng phổi phải và xuyên tâm thất phải.

Cây chỉa đâm thủng màng phổi phải và xuyên tâm thất phải
Ngay sau đó, T. được đưa đến bệnh viện địa phương sơ cứu cùng với cây chĩa chuột dài khoảng 2 mét vẫn găm chặt trong cơ thể. Tại bệnh viện huyện, em được cắt bỏ phần thân cây chĩa rồi chuyển đến bệnh viện đa khoa tỉnh, T. được cho thở ô-xy, uống thuốc giảm đau và truyền dịch rồi tiếp tục chuyển lên Bệnh viện Nhi Đồng 1.
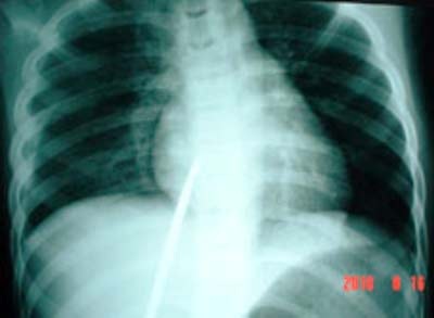
Theo ghi nhận của bác sĩ, khi mới nhập viện T. tỉnh táo, mạch và huyết áp ổn, nhưng đau nhiều, khó thở. Thanh kim loại đâm chéo từ vùng thượng vị bên phải chếch lên trên và sang trái. Đoạn ngoài thành ngực chừng 7cm đang di động theo nhịp đập của tim. Trên phim X quang cho thấy thanh kim loại đâm vào thất phải theo hướng chếch từ dưới lên.
Các bác sĩ đã tiến hành phẫu thuật gấp cho T. Trong khi mổ, bác sĩ phát hiện thanh kim loại đã đâm thủng màng phổi phải và đâm xuyên vào tâm thất phải. Việc rút mũi chĩa ra và khâu lại vết rách ở tâm thất và màng phổi gặp rất nhiều khó khăn vì T. bị ngưng tim, sốc do mất máu và rối loạn nhịp tim. Phải mất gần 4 tiếng ca phẫu thuật mới được tiến hành xong. Tuy nhiên sau khi mổ, phần xương ức của T. phải tạm thời để hở vì khi đóng lại xương ức thì huyết áp của bệnh nhi tụt và nhịp tim cũng giảm dần. Hai ngày sau phẫu thuật, khi tình trạng nguy kịch đã qua đi, T. mới được đóng lại xương ức.
Đến sáng ngày 17/08 sức khỏe của T. đã dần ổn định trở lại nên được ngưng ô-xy, ngưng truyền dịch và tất cả các thuốc vận mạch. Em cũng đã có thể tự uống sữa và được hướng dẫn tập ngồi dậy tại giường.
Vân Sơn










