5 triệu chứng kết hợp, bác sĩ khuyên nên đi khám ngay lập tứcMột cơn đau nhức bất thình lình có thể không phải là vấn đề lớn và tự khỏi nhưng cũng có thể là một bệnh lý nghiêm trọng, bạn nên đi khám chuyên khoa.
Bị ngứa 10 năm mới biết giun từ chó mèo "đào hầm" trong daĐa phần bệnh nhân khi bị ngứa thường nghĩ ngay tới các bệnh về da liễu, đi khám chuyên khoa da liễu, chuyên khoa dị ứng, miễn dịch. Nhiều người điều trị da liễu tới 5 năm, 10 năm không khỏi.
Khối, nốt đỏ sau lưỡi và đáy lưỡi - u hay ung thư?Gần đây, nhiều bệnh nhân đi khám chuyên khoa tai mũi họng vì phát hiện có những nốt, khối ở phần cuối lưỡi, hay đáy lưỡi. Họ băn khoăn không hiểu đây có phải là u hay không và lành tính hay ác tính.
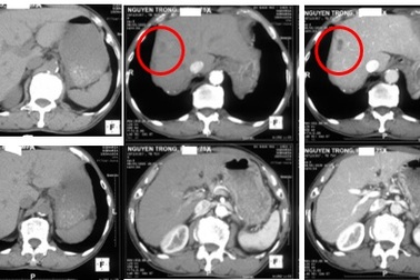
Đau thắt lưng đi khám, bất ngờ phát hiện khối u trong ganPhát hiện u ở gan phải, cụ ông (75 tuổi), Hà Nội đi khám chuyên khoa ung bướu vì tưởng mắc ung thư gan. Tuy nhiên, kết quả sinh thiết lại khẳng định ông bị u gan do ký sinh trùng.
Người phụ nữ phát hiện ung thư từ biểu hiện thông thường nàyThấy ngày đi ngoài 3-4 lần, người hơi mệt, bà Mai (60 tuổi, Bắc Ninh) đi nội soi đại tràng thì phát hiện có tổn thương sùi. Đi khám chuyên khoa sâu, bà được chẩn đoán bị ung thư đại tràng trực tràng, di căn hạch ổ bụng, di căn gan, phổi.
Khoảng 1/3 bệnh nhân phát hiện ung thư gan trong lần khám đầu tiênPGS. TS Trịnh Thị Ngọc cho biết: “Theo kết quả thống kê của Chuyên khoa Gan Mật - Bệnh viện Đa khoa MEDLATEC, trong 100 bệnh nhân lần đầu tiên đi khám chuyên khoa Gan Mật, có từ 30 - 40 bệnh nhân bị các bệnh lý về gan mật ở mức độ nguy hiểm, thậm chí ung thư gan giai đoạn cuối.
Khối dị vật thức ăn từ măng khô chiếm gần trọn dạ dày người đàn ôngNgười đàn ông 63 tuổi đau bụng âm ỉ, đi khám bất ngờ phát hiện có khối bã thức ăn chiếm gần như toàn bộ dạ dày do ăn nhiều măng khô. Các bác sĩ Vinmec Smart City đã tiến hành nội soi loại bỏ toàn bộ khối bã, cứu kịp thời người bệnh.
Hy hữu: Bác sĩ gắp được 3 chiếc bật lửa từ bụng bệnh nhânTrường hợp dị vật kích thước lớn trong dạ dày tiềm ẩn nguy cơ tắc nghẽn, tổn thương đường tiêu hóa nếu không được xử trí kịp thời.
Cụ bà 106 tuổi, vợ liệt sĩ ở Quảng Trị được thay khớp háng thành côngCụ Dương Thị Thí, vợ liệt sĩ tại tỉnh Quảng Trị bị ngã, chấn thương không thể vận động đã được các bác sĩ phẫu thuật, thay thành công khớp háng.
Bụng đột ngột nhô to, bé 6 tháng tuổi phát hiện khối u quái 1,3kg hiếm gặpThấy vùng bụng của bé nhô to bất thường kèm theo nôn ói, gia đình đưa bệnh nhi đi khám thì được cơ sở y tế tuyến cuối ở TPHCM phát hiện khối u quái lớn cực hiếm gặp.
Ca bệnh phải suy nghĩ rất lâu của vị bác sĩ luôn cố gắng giữ sự “trăn trở”“Với bác sĩ, chỉ một sơ suất nhỏ cũng có thể trở thành điều khiến mình day dứt rất lâu, là vết sẹo không thể nào quên”, người thầy thuốc luôn cố gắng tìm cách điều trị tốt nhất cho bệnh nhân trăn trở.
Chồng đi chăm vợ, bất ngờ lên sân thượng bệnh viện nhảy xuống đấtMột người đàn ông đang chăm vợ tại Bệnh viện Đa khoa Gia Lai bất ngờ trèo lên sân thượng của bệnh viện rồi nhảy xuống đất tử vong.