Đau thắt lưng đi khám, bất ngờ phát hiện khối u trong gan
(Dân trí) - Phát hiện u ở gan phải, cụ ông (75 tuổi), Hà Nội đi khám chuyên khoa ung bướu vì tưởng mắc ung thư gan. Tuy nhiên, kết quả sinh thiết lại khẳng định ông bị u gan do ký sinh trùng.
Bệnh nhân là ông Nguyễn Trọng H., 75 tuổi, ở Thanh Xuân, Hà Nội, có tiền sử bị tăng huyết áp 10 năm, điều trị thường xuyên. 20 ngày trước khi vào viện, bệnh nhân xuất hiện đau thắt lưng trái và hạ sườn phải âm ỉ, không sốt, không gầy sút cân.
Bệnh nhân đi khám tại một bệnh viện ở Hà Nội và phát hiện u gan phải qua siêu âm. Vì thế, bệnh nhân đến khám tại Bệnh viện Bạch Mai.
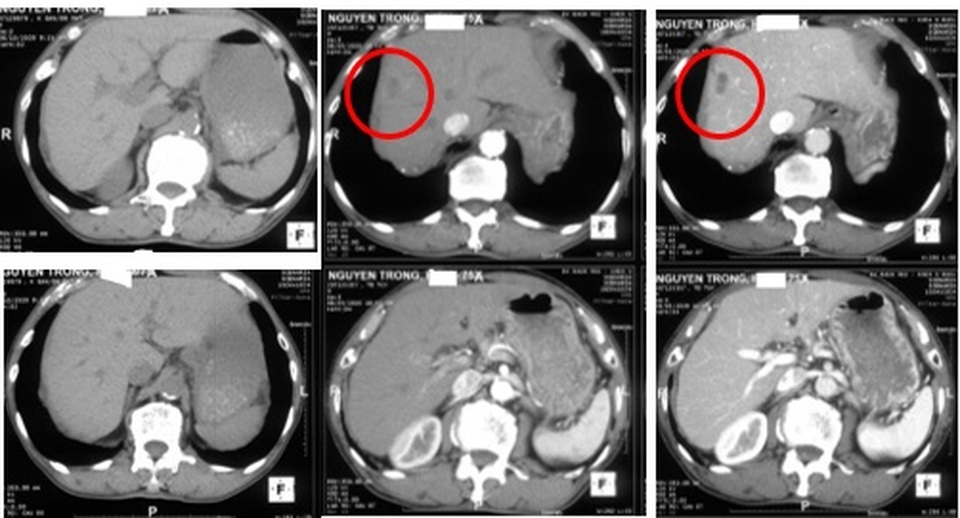
Tại đây, bệnh nhân được làm các xét nghiệm máu và chụp cắt lớp vi tính ổ bụng phát hiện hình ảnh u gan phải kích thước 25x19mm. Bệnh nhân nhập viện Trung tâm Y học hạt nhân và Ung bướu để chẩn đoán xác định và điều trị.

Hình ảnh chụp cắt lớp vi tính ổ bụng cho thấy có khối u trong gan phải.
Theo PGS Phạm Cẩm Phương, Giám đốc Trung tâm Y học hạt nhân và Ung bướu, Bệnh viện Bạch Mai, ngoài biểu hiện đau sườn hạ phải và thắt lưng, bệnh nhân không có biểu hiện gì bất thường, không sờ thấy hạch ngoại vi, xét nghiệm máu bình thường. Xét nghiệm chất chỉ điểm u chỉ có chỉ số CA 19-9 tăng nhẹ.
Kết quả chụp cắt lớp vi tính ổ bụng cho thấy hình ảnh u gan kích thước 25x19mm. Xét nghiệm sán lá gan lớn huyết thanh âm tính, tìm ký sinh trùng trong phân cũng không có.
Bệnh nhân được tiến hành sinh thiết u gan phải, kết quả mô bệnh học là hình ảnh áp xe gan do ký sinh trùng. Bác sĩ kết luận bệnh nhân bị u gan phải do ký sinh trùng, nên được chuyển sang Trung tâm Bệnh nhiệt đới điều trị tiếp.
Gan là tạng lớn nhất cơ thể, có chức năng thải độc, bài tiết mật, tạo yếu tố đông máu... Bệnh lý tổn thương gan do ký sinh trùng cũng hay gặp ở Việt Nam và không thể bỏ qua đối với các bác sĩ lâm sàng.
Vì thế, bác sĩ khuyến cáo khối u ở gan có thể là ung thư (ung thư gan nguyên phát hay ung thư di căn gan) hoặc cũng có thể làcác bệnh lý khác như tổn thương gan do ký sinh trùng hay tổn thương gan lành tính (tăng sản thể nốt khu trú hay u tuyến tế bào gan). Thực tế tại Việt Nam, khi được các bác sĩ chẩn đoán có khối u tại gan, cần sinh thiết để chẩn đoán bệnh, vẫn có những bệnh nhân và gia đình đã từ chối sinh thiết do lo ngại tâm lý “động dao kéo”.
Điều đó là một quan điểm sai lầm. Bởi có chẩn đoán chính xác được bệnh, mới có phương pháp điều trị hiệu quả. Mỗi thủ thuật sinh thiết… có tỷ lệ tai biến nhất định, nhưng tỷ lệ này rất thấp.
Khối u là tổ chức tế bào phát triển quá mức bình thường tạo nên. Mọi tế bào của cơ thể đều có thể phát triển thành khối u. Nó được chia thành 2 nhóm chính là u lành tính và ác tính (ung thư). Các u lành thường tồn tại hoà bình với cơ thể, trừ trường hợp quá to gây chèn ép hoặc bị viêm nhiễm hoặc u nội tiết gây rối loạn chức năng.
Các u ác tính đều gây nguy hiểm với sức khoẻ với mức độ khác nhau. Nó có thể gặp ở mọi cơ quan và tổ chức của cơ thể. Trong vô vàn nguyên nhân sinh u có nguyên nhân do ký sinh trùng.
Ví dụ, các u dưới da do ấu trùng giun sán, khối u trong phủ tạng như gan, tinh hoàn, buồng trứng... đều có thể do ký sinh trùng gây nên. Những khối u ác tính trong gan, đặc biệt là ung thư đường mật cholangiocarcinoma có vai trò của ký sinh trùng ký sinh tại gan, nhất là sán lá gan












