Top những vấn đề ở miệng
(Dân trí) - "Trăm nghe không bằng 1 thấy" - Dưới đây là những hình ảnh chân thực về các biểu hiện ở răng, lợi, môi, lưỡi... giúp bạn sớm biết mình có mắc bệnh hay không và nếu có thì đó là bệnh gì.

Bảo vệ môi trước nắng và gió cũng ngăn ngừa bệnh herpes môi. Herpes môi là bệnh lây qua hôn, dùng chung đồ dùng như khăn mặt, bàn chải răng hay tiếp xúc gần

Thường xuyên chải răng và dùng chỉ tơ nha khoa có thể giúp ngăn ngừa viêm loét miệng

Thấy lưỡi trắng,, như phủ 1 lớp kem ở miệng? Bạn có thể bị tưa miệng

Bệnh sản niêm mạc miệng có biểu hiện hơi giống bệnh tưa miệng nhưng nặng hơn

Biểu hiện trông thật đáng sợ nhưng những chiếc lông lưỡi màu đen này hoàn toàn vô hại

Liken phẳng là bệnh cấp tính hoặc mãn tính, là tình trạng phát ban tái diễn do viêm nhiễm

Nhìn lưỡi bản đồ trông thật đáng báo động nhưng nó thường không gây đau đớn

Đừng lờ đi những vết viêm nhiễm trong khoang miệng nếu chúng tồn tại nhiều tuần liên tiếp, vì đó có thể là ung thư

Ngăn ngừa viêm lợi bằng chải răng và chỉ tơ nha khoa

Không điều trị viêm lợi sẽ dẫn tới các bệnh bao quanh chân răng

Đau răng có thể là do sâu răng, bị áp xe răng hay các vấn đề khác

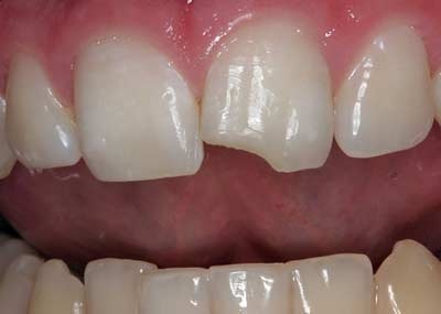
Không phải mọi răng bị vỡ đều cần được điều trị nhưng tốt nhất là nên đi khám để được tư vấn tốt nhất

Hơi thở hôi do nhiều nguyên nhân

Aspirin có thể gây nhiệt miệng

Bệnh amalgam tatto với những vết màu xanh tím trông rất đáng sợ nhưng thực tế lại vô hại
Nhân Hà
Theo MD










