Té võng đập đầu xuống đất, bé 4 tháng tuổi phát hiện "ruột chui lên ngực"
(Dân trí) - Sau khi té võng từ độ cao gần một mét đập đầu xuống đất, bé gái 4 tháng tuổi quấy khóc, nôn trớ liên tục phải nhập viện cấp cứu trong những ngày Tết Nguyên đán.
Đó là trường hợp của bé gái 4 tháng tuổi, con bà N.T.N. (quê Sóc Trăng).
Sáng 29/1 (27 Tết), bé gái té võng từ độ cao gần một mét, đập đầu xuống nền gạch. Sau tai nạn, bé quấy khóc, bú khó, nôn trớ liên tục.
Khi gia đình đưa vào bệnh viện (BV) địa phương, bệnh nhi được ghi nhận có chấn thương phần mềm phần đầu thái dương bên phải. Nguy hiểm hơn, qua chụp X-quang phổi, các bác sĩ phát hiện tình trạng thoát vị hoành nên chuyển khẩn bé lên BV Nhi đồng Thành phố (TPHCM).
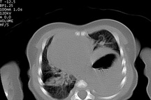
Tại đây, kết quả xét nghiệm, siêu âm ổ bụng và chụp X-quang của bé cho thấy hình ảnh dạ dày, quai ruột chiếm toàn bộ phổi trái, chèn ép đẩy lệch tim sang bên phải. Tình trạng này nếu không được mổ kịp thời để sắp xếp lại vị trí các tạng trong ổ bụng và lồng ngực, bé có thể tử vong bất kỳ lúc nào.

Các bác sĩ tiến hành phẫu thuật xử lý tình trạng thoát vị hoành nguy hiểm cho bệnh nhi (Ảnh: BVCC).
Sau khi hội chẩn kèm điều trị hồi sức tích cực, bệnh nhi được phẫu thuật nội soi cấp cứu. Quá trình phẫu thuật, ekip điều trị phát hiện toàn bộ ruột non, ruột già, lá lách thoát vị chui lên lồng ngực, nằm hoàn toàn trên khoang màng phổi. Trải qua hơn một giờ khẩn trương, các bác sĩ đã đưa các tạng thoát vị từ ngực về ổ bụng cho bé và khâu phục hồi cơ hoành khiếm khuyết.
Hiện bệnh nhi đã hồi phục ngoạn mục sau mổ, khi cả phần đầu và phần thoát vị bụng - ngực đều ổn định. Nếu không có gì thay đổi, bệnh nhi sẽ được xuất viện trong những ngày sắp tới.
Theo các bác sĩ, thoát vị hoành là một bệnh thường xuyên xảy ra ở trẻ nhỏ, khiến một phần dạ dày nhô ra vào trong khoang lồng ngực thông qua cơ hoành. Bệnh cần phát hiện sớm để can thiệp kịp thời, tránh biến chứng nguy hiểm như xoắn dạ dày, thủng ruột, tràn dịch màng phổi...











