Cứu sống trẻ sơ sinh thoát vị hoànhNgày 6/1/2013, tin từ bệnh viện Đa Khoa tỉnh Kon Tum cho biết, BV vừa cứu sống ca sơ sinh bị thoát vị hoành thứ 3 kể năm 1996 tới nay.
Phẫu thuật 4 ca thoát vị hoànhKhoa Ngoại Bệnh viện Nhi Đồng 1 đã phát hiện và phẫu thuật cho bốn trường hợp thoát vị hoành (TVH) chỉ trong hơn một tuần (18 - 25/9), trong đó có 3 trường hợp TVH qua khe Morgagni, 1 trường hợp TVH qua khe thực quản.
Bất ngờ phát hiện dạ dày "chui" lên ngực khi đi khám vì nuốt nghẹnSau khi thăm khám cho người phụ nữ, các bác sĩ chẩn đoán bệnh lý thoát vị hoành trượt và chỉ định phẫu thuật nội soi điều trị cho người bệnh.
Bé trai 10 tháng tuổi có gan và quai ruột chui lên lồng ngựcMột bệnh nhi 10 tháng tuổi ở Thanh Hóa được phát hiện thoát vị hoành bên phải, cả gan phải và các quai ruột chui lên lồng ngực. Bệnh nhi được các bác sĩ phẫu thuật thành công và sức khỏe đã ổn định.
Bệnh nhi không thể chuyển viện, bác sĩ về tận nơi cứu sốngBị thoát vị hoành khiến nội tạng lộn lên lồng ngực, đẩy lệch tim sang phải, bé sơ sinh đối mặt với nguy cơ tử vong nhưng không thể chuyển viện an toàn. Trước tình huống khẩn nguy, các bác sĩ đã từ Sài Gòn về An Giang thực hiện nội soi giúp bé qua nguy kịch.
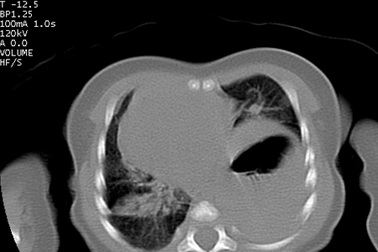
Phẫu thuật thành công ca ruột thừa và thận trái nằm trong lồng ngựcBác sĩ La Văn Phú, Trưởng khoa ngoại Tổng hợp Bệnh viện Đa khoa TP Cần Thơ, cho biết, các bác sĩ của khoa này vừa phẫu thuật thành công cho bệnh nhân bị thoát vị hoành phức tạp, ruột thừa và thận trái nằm trong lồng ngực.
Bệnh viện cứu sống cháu bé xin về nhà chờ chếtMới được 7 ngày tuổi, bé Bùi Văn Quang nhập viện và được chẩn đoán bị bệnh thoát vị hoành. Gia đình đã xin mang cháu về chờ chết. Thế nhưng, BV Nhi Thanh Hóa đã quyết tâm giữ cháu ở lại để cứu sống.
Hiện trạng hầm đường bộ Đèo Ngang dài 2,9km trước ngày thông xeSau hơn 1 năm thi công, công trình mở rộng hầm Đèo Ngang trên quốc lộ 1A, nối tỉnh Hà Tĩnh và Quảng Trị cơ bản hoàn thành. Nhà thầu đang gấp rút hoàn thiện những hạng mục cuối để thông xe.
Nhiều tuyến đường ở Hà Tĩnh ngập nước lũ, tài xế ô tô chật vật xoay xởTuyến đường Nguyễn Hoành Từ kéo dài 3km ở Hà Tĩnh ngập nước lũ. Nhiều tài xế ô tô quyết định quay đầu, không ít người chật vật đi qua.
Cần Thơ: Cụ bà 84 tuổi bị dạ dày “đi lạc” lên lồng ngựcBệnh viện Đa khoa TP Cần Thơ vừa phẫu thuật thuật thành công cho cụ bà 84 tuổi trong tình trạng toàn bộ dạ dày “đi lạc” lên lồng ngực.
Hy hữu: Vỡ cơ hoành, đại tràng chui lên ngực vẫn tưởng hậu Covid-19Nam bệnh nhân 25 tuổi có tiền sử khỏe mạnh, vào viện khám vì nghĩ ho, khó thở hậu Covid-19. Tuy nhiên, nguyên nhân thực sự gây tình trạng này lại do bệnh nhân vỡ cơ hoành, tạng từ bụng chui lên ngực.
Cô gái ở TPHCM đau bụng mãi không khỏi vì... ruột chui lên ngựcCác bác sĩ cho biết, căn bệnh khiến ruột chui lên ngực của cô gái nếu không phẫu thuật điều trị sớm có thể gây ảnh hưởng đến hô hấp, đe dọa tính mạng.