Tà áo dài cuốn vào bánh xe khi đi học, nữ sinh 15 tuổi phải mổ sọ não
(Dân trí) - Trên đường đến trường, nữ sinh tên V. (15 tuổi, quê Tây Ninh) bất ngờ gặp tai nạn khi phần tà áo dài cuốn vào bánh xe đạp điện, khiến em ngã mạnh xuống mặt đường.
Sau cú ngã, nữ sinh xuất hiện các triệu chứng đau đầu và buồn nôn, được người đi đường nhanh chóng đưa đến bệnh viện cấp cứu. Sau thăm khám, các bác sĩ khoa Cấp cứu ghi nhận người bệnh yếu nửa người bên phải, điểm tri giác còn 9-10/15 (theo thang đo Glasgow).
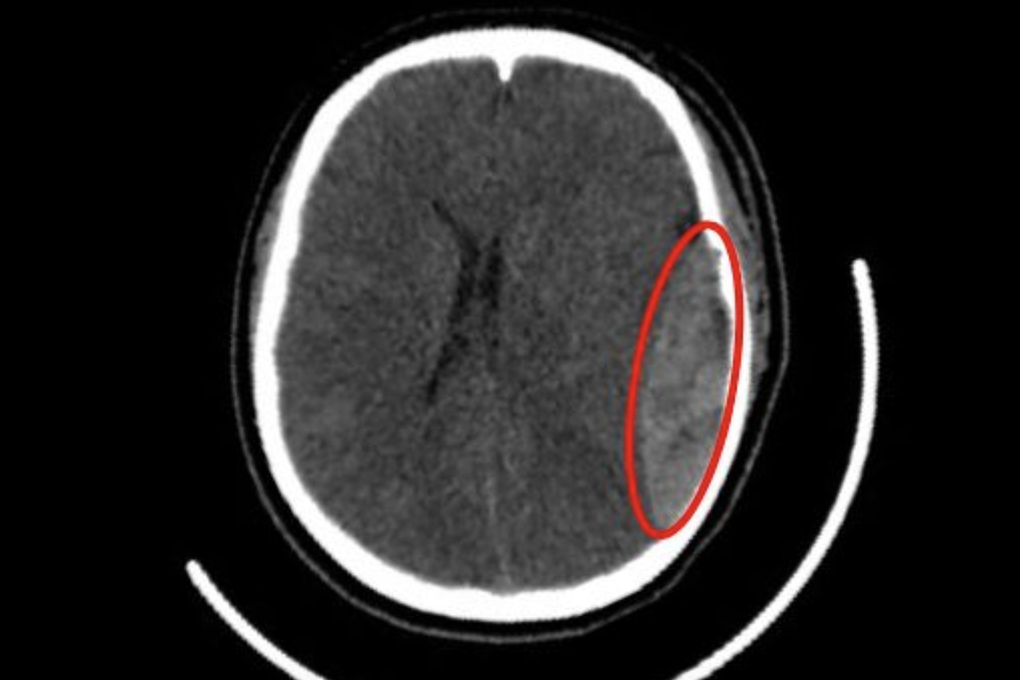
Kết quả chụp CT sọ não cho thấy, bệnh nhân có một khối máu tụ ngoài màng cứng, kèm theo nứt xương sọ vùng thái dương trái và có xu hướng chảy máu thêm.

Kết quả chụp CT sọ não ghi nhận bệnh nhân có một khối máu tụ (Ảnh: BV).
Đánh giá ban đầu cho thấy, nguồn chảy máu xuất phát từ việc nứt sọ thái dương và đứt động mạch màng não giữa. Trước tình hình này, người bệnh được chỉ định phẫu thuật cấp cứu, để lấy máu tụ ngoài màng cứng và cầm máu.
Cuộc phẫu thuật được triển khai ngay sau khi các cận lâm sàng cần thiết hoàn tất và các chỉ số xét nghiệm nằm trong giới hạn an toàn.
Các bác sĩ đã tiến hành mở sọ, loại bỏ khối máu tụ và nhanh chóng kiểm soát nguồn chảy máu để ngăn khối máu tụ phát triển lớn hơn, gây chèn ép não lâu dài, từ đó giảm nguy cơ các di chứng sau mổ như yếu nửa người. Chỉ 30 phút hậu phẫu, người bệnh tỉnh lại sau gây mê và có thể giao tiếp với người thân.
Nhờ quá trình điều trị và theo dõi sát sao của các nhân viên y tế, nữ sinh đã được xuất viện trở về trong niềm hạnh phúc vỡ oà của gia đình.

Bác sĩ kiểm tra sức khỏe bệnh nhân sau mổ (Ảnh: BV).
BSCKI Nguyễn Thế Thuần, Trưởng khoa Ngoại Thần kinh chia sẻ, tụ máu ngoài màng cứng cấp là một trong những tổn thương nguy hiểm nhất của chấn thương sọ não. Có những trường hợp bệnh nhân sau tai nạn vẫn tỉnh táo, nhưng vài giờ sau lại chuyển biến xấu do khối máu tụ gây áp lực lên não.
"Các triệu chứng có thể xuất hiện như đau đầu, nôn, lú lẫn, mất ý thức, yếu liệt, co giật hoặc thậm chí tử vong nếu không được can thiệp kịp thời. Tại bệnh viện chúng tôi, nhiều trường hợp người bệnh được phát hiện khối máu tụ vùng đầu sau vài ngày, thậm chí vài tháng sau chấn thương", bác sĩ Thuần nói.
Các bác sĩ khuyến cáo, khi gặp va đập vùng đầu - dù nhẹ hay nặng - đặc biệt nếu có các dấu hiệu bất thường như đau đầu, nôn ói, chóng mặt, lơ mơ… bệnh nhân cần được đưa ngay đến cơ sở y tế để thăm khám lâm sàng và thực hiện các kiểm tra hình ảnh như CT-Scan hoặc MRI.
Việc chẩn đoán sớm và chính xác là yếu tố then chốt giúp cứu sống người bệnh và ngăn ngừa biến chứng nghiêm trọng.











