Nam bệnh nhân bị nhồi máu cơ tim cấp sau nhiều năm hút thuốc lá
(Dân trí) - Nhập viện trong tình trạng đau ngực dữ dội, vã mồ hôi, bệnh nhân có tiền sử hút thuốc lá được xác định bị nhồi máu cơ tim cấp. Cục máu đông gây tắc hoàn toàn động mạch vành, phải đặt stent tái thông.
Ngày 4/9, Bệnh viện quận Thủ Đức, TPHCM cho biết vừa tiếp nhận, can thiệp cho một trường hợp nhập viện trong tình trạng nguy kịch. Khoảng một tiếng trước khi nhập viện, ông L.V.D. (65 tuổi) đột nhiên bị vã mồ hôi, bộc phát cơn đau ngực.
Tình trạng đau ngực ngày càng diễn tiến nặng, cơn đau dữ dội liên tục xuất hiện khiến ông phải nhập viện cấp cứu. Bệnh nhân không tiền sử bệnh lý tim mạch nhưng đã hút thuốc lá nhiều năm qua.

Sau khi thăm khám cho người bệnh, bác sĩ Lê Duy Lạc, Phó trưởng khoa Hồi sức Tim mạch, chẩn đoán bệnh nhân bị nhồi máu cơ tim cấp.
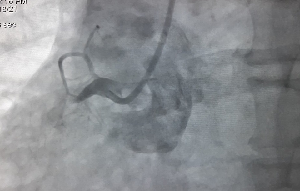
“Bệnh nhân vào viện vì đau ngực nhiều, nhịp tim chậm, huyết áp thấp. Chúng tôi tiến hành đo điện tâm đồ và phát hiện bệnh nhân bị nhồi máu cơ tim cấp nên đã hội chẩn khẩn và lập tức chuyển người bệnh vào phòng DSA chụp mạch vành cấp cứu”, bác sĩ Lạc nói.
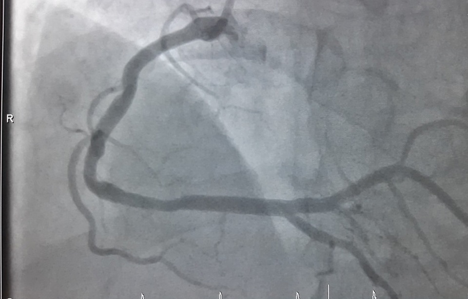
Kết quả cho thấy, bệnh nhân bị tắc hoàn toàn động mạch vành bên phải. Các bác sĩ đã can thiệp nội mạch, đặt 1 stent tái lưu thông mạch máu cho bệnh nhân. Sau 30 phút khẩn trương, ê kíp đã đặt thành công sten tại vị trí bị tắc ở động mạch vành phải. Ngay sau khi can thiệp, bệnh nhân dần ổn định, hết đau ngực, nhịp tim huyết áp về bình thường.
Theo bác sĩ Lạc, nhồi máu cơ tim là tình trạng động mạch vành nuôi tim bị tắc nghẽn. Nếu một vùng cơ tim bị chết do thiếu máu, lúc này chức năng bơm máu của tim không còn toàn vẹn như trước gây nên các hậu quả như suy tim, sốc tim, đột tử... Những trường hợp nặng tỷ lệ tử vong lên đến 80%. Đây là tình trạng cấp cứu cần tái lập dòng máu chảy trong đoạn động mạch vành bị tắc càng sớm càng tốt.

Có nhiều phương pháp khôi phục dòng chảy động mạch vành bao gồm: tiêu sợi huyết, can thiệp mạch vành đặt stent (PCI) và mổ bắc cầu động mạch vành (CABG). Hiệu quả của các biện pháp phụ thuộc nhiều vào thời gian điều trị từ lúc khởi phát triệu chứng.
Hút thuốc là là một trong những nguyên nhân gây ra các bệnh lý tim mạch dẫn tới tử vong cho người bệnh. Hỗn hợp độc hại của hơn 7.000 hóa chất có trong khói thuốc lá khi hít vào cơ thể sẽ cản trở quá trình cung cấp máu giàu oxy đến tim và phần còn lại của cơ thể thông qua các mạch máu. Hóa chất độc hại trong khói thuốc lá gây tổn hại cho tim và mạch máu, gây ra các bệnh tim mạch.

Ngoài việc làm tổn thương vĩnh viễn tim và mạch máu, khói thuốc lá còn có thể gây ra bệnh lý tim mạch bằng cách thay đổi thành phần hóa học của máu, gây ra mảng bám bao gồm cholesterol, mô sẹo, canxi, chất béo và các vật liệu khác tích tụ trong các động mạch gây xơ vữa động mạch, làm dày thành mạch.
Đó chính là nguyên nhân tạo ra các cục máu đông gây tắc mạch khiến người bệnh rơi vào tình trạng nhồi máu cơ tim cấp, đột quỵ, nguy cơ tử vong cao. Với những trường hợp đã bị nhồi máu cơ tim cấp, ngoài các biện pháp ăn uống điều độ, vận động hợp lý thì bỏ thuốc là hoàn toàn là việc bệnh nhân phải thực hiện để tránh nguy cơ nhồi máu tái phát.










