Hiếm gặp: Phát hiện 2 loại ung thư trên cùng một thùy phổi
(Dân trí) - Một bệnh nhân ở Quảng Ninh phát hiện mắc ung thư biểu mô tuyến và ung thư biểu mô vảy phổi trên một thùy phổi. Đây là một trường hợp hiếm gặp không chỉ ở trong nước mà y văn quốc tế cũng ít gặp.
Bệnh nhân là ông Đ.V.H (77 tuổi, thị xã Đông Triều, Quảng Ninh). Ông có tiền sử phẫu thuật thay đoạn động mạch chủ bụng điều trị phình động mạch chủ bụng, phẫu thuật lấy sỏi niệu quản trái, phẫu thuật thoát vị thành bụng.

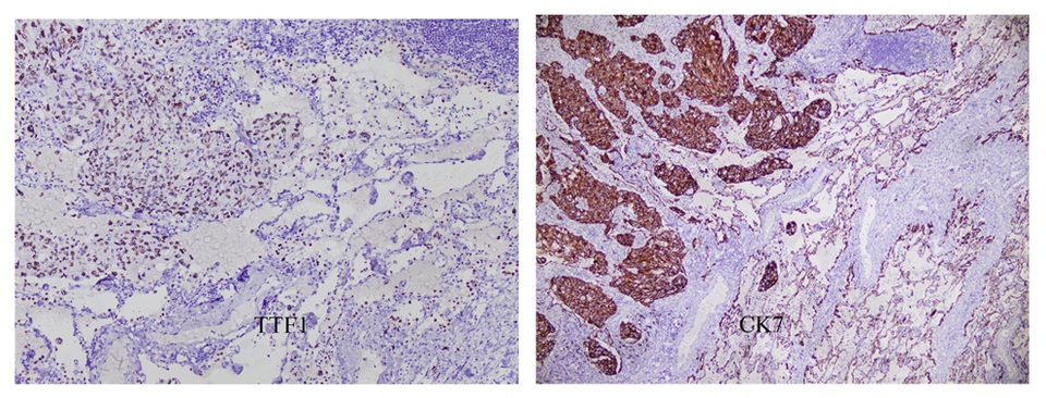
Kết quả xét nghiệm hóa mô miễn dịch cho kết quả ung thư biểu mô tuyến phổi
Cách đây khoảng một tháng, ông có biểu hiện mệt mỏi, gầy sút cân, ho ra ít máu, tức ngực trái, khó thở, ho thúng thắng.Ông được người nhà đưa đến khám tại Bệnh viện Việt Nam-Thụy Điển Uông Bí.
Tại đây, ông được chỉ định chụp CT-scanner phổi 32 dãy, kết quả phát u thùy trên phổi trái. Khối u nằm sát quai động mạch chủ. Người bệnh tiếp tục được chỉ sinh thiết xuyên thành với kết quả ung thư biểu mô tuyến.

Kết quả xét nghiệm hóa mô miễn dịch cho kết quả ung thư biểu mô tế bào vảy phổi
Bệnh nhân chỉ định phẫu thuật cắt thùy trên phổi trái bằng phương pháp VAT (mổ hỗ trợ video), kết hợp mổ nội soi và mổ mở.
Trong quá trình phẫu thuật các bác sĩ thấy 2 khối u ở phổi trái (một khối u lớn và một khối u nhỏ nằm sát cạnh) và đã tiến hành cắt toàn bộ thùy trên phổi trái và nạo vét hạch cho người bệnh. Toàn bộ thùy trên phổi trái được gửi làm giải phẫu bệnh. Kết quả khiến các y bác sĩ khác bất ngờ khi 2 khối u ở phổi trái là 2 loại ung thư khác nhau, gồm ung thư biểu mô tuyến (khối u lớn) và ung thư tế bào vảy (khối u nhỏ). Thông thường các khối u được phát hiện trên cùng một thùy phổi sẽ có cùng bản chất, nhưng các u lại phát triển độc lập với 2 loại ung thư khác nhau trong trường hợp này.
BSCKI Nguyễn Đức Hoành, Trưởng khoa Phẫu thuật- Can thiệp Tim mạch & Lồng ngực cho biết trường hợp ông H là trường hợp hiếm gặp được ghi nhận đầu tiên tại bệnh viện khi có 2 loại ung thư trên cùng một thùy phổi. Bệnh nhân đã được tư vấn điều trị hóa trị kết hợp xạ trị tế bào đích. Kết hợp đa mô thức như vậy là phác đồ điều trị tốt nhất cho người bệnh trong trường hợp này.










