Căn bệnh hiểm khiến nam sinh càng học càng yếu khi sắp thi tốt nghiệp THPT
(Dân trí) - Bác sĩ cho biết, căn bệnh mà nam sinh mắc phải nếu để lâu hoặc điều trị không đúng cách có thể khiến bệnh nhân tàn tật suốt đời, ảnh hưởng chức năng hô hấp và bị tự ti, trầm cảm.
Ngày 20/6, đại diện Bệnh viện 1A (TPHCM) cho biết, vừa qua các bác sĩ nơi đây đã tiếp nhận nhiều trường hợp bị gù vẹo cột sống nghiêm trọng vì không can thiệp hoặc điều trị sai cách trong thời gian dài.
"Càng học càng yếu" vì biến chứng vẹo cột sống
Trường hợp thứ nhất là bệnh nhân tên L.Đ. (18 tuổi), vừa học xong lớp 12. Khai thác bệnh sử, từ năm 13 tuổi, Đ. đã được một cơ sở y tế ở TPHCM phát hiện vẹo cột sống, điều trị bằng phương pháp mang áo nẹp. Nhiều năm trôi qua, chàng trai vẫn chỉ sử dụng áo nẹp, nhưng bệnh không hết mà ngày càng trở nặng.
Vì chuẩn bị bước vào kỳ thi tốt nghiệp trung học phổ thông nên gần đây, thời gian học của Đ. tăng cao. Càng học, thể chất bệnh nhân ngày càng yếu, đồng thời xuất hiện nhiều triệu chứng đau mỏi cơ vùng cổ vai gáy, gây khó khăn trong sinh hoạt.

Nam sinh bị vẹo cột sống rất nặng, lồng ngực biến dạng (Ảnh: BS).
Lúc này, gia đình mới đưa bệnh nhân đến Trung tâm Hiệu chỉnh cơ xương khớp, Bệnh viện 1A kiểm tra.
Quá trình khám, bác sĩ phát hiện hình thể chàng trai biến đổi nghiêm trọng.
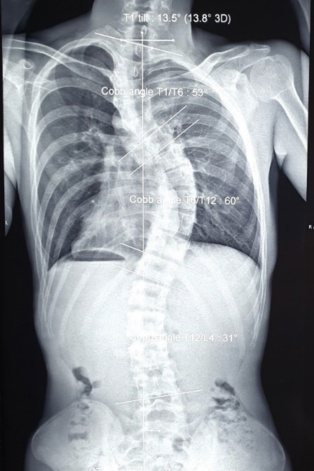
Vai trái Đ. lệch cao gần 5cm so với vai phải, lồng ngực biến dạng và lệch vẹo khung chậu. Ảnh chụp X-quang ghi nhận bệnh nhân bị vẹo cột sống đoạn ngực chữ S rất nặng.
Do đã cận kề ngày thi, bệnh nhân được ưu tiên điều trị giãn cơ vùng cổ vai gáy, tăng cường chức năng hô hấp để giảm đau nhức vùng cổ gáy và bớt mệt mỏi khi ngồi học.
Sau 3 ngày điều trị, bệnh nhân thấy bớt hẳn, lấy lại tinh thần để tập trung cho việc học. Dự kiến sau khi thi xong, bệnh nhân sẽ được tập trung điều trị cong vẹo cột sống.
Còn cô gái tên V.L.A. (19 tuổi) đã biết bị cong vẹo cột sống nặng từ năm lớp 7, nhưng gia đình không đưa đi điều trị. Hậu quả, bệnh nhân thường xuyên bị đau mỏi vùng lưng, khó thở và không thể leo cầu thang nhiều. Nhiều năm liền, bệnh nhân lâm vào tự ti và trầm cảm vì ngoại hình.
Mãi đến khi trở thành sinh viên tại TPHCM, cô gái mới đến Trung tâm hiệu chỉnh cơ xương khớp, Bệnh viện 1A "cầu cứu".
Qua thăm khám, bệnh nhân được các bác sĩ chẩn đoán vẹo cột sống ngực thắt lưng, mất độ ưỡn sinh lý cột sống cổ và một số vị trí khác. Đáng chú ý, các đốt sống ngực của bệnh nhân đã biến dạng nặng, điều trị bảo tồn không thành công.

Theo bác sĩ, đốt sống ngực của cô gái tên A. đã biến dạng nặng, điều trị bảo tồn không thành (Ảnh: BS).
Để nặng sẽ biến dạng đốt sống vĩnh viễn
Bác sĩ Trịnh Quang Anh, Trưởng Trung tâm Hiệu chỉnh cơ xương khớp, Bệnh viện 1A cho biết, vẹo cột sống là tình trạng mà cột sống bị cong lệch sang một bên theo hình chữ C trên mặt phẳng trán, có thể cong 2 vị trí trở lên theo hình chữ S.
Còn gù là cột sống bị cong ra sau quá mức, với ít nhất 3 đốt sống liên tiếp có góc gù thân đốt từ 5 độ gây nên.
Bác sĩ Quang Anh khẳng định, áo nẹp không giúp điều trị khỏi vẹo cột sống mà chỉ phần nào giúp ngăn ngừa vẹo cột sống tăng nặng thêm, tác dụng lên ý thức bệnh nhân.
Hầu hết áo nẹp được chỉ định mặc cả ngày lẫn đêm, trong giai đoạn trẻ vẫn còn đang phát triển và vẹo cột sống mức độ nhẹ. Khi bộ xương ngừng phát triển, việc mặc áo nẹp sẽ chấm dứt.
Theo bác sĩ Quang Anh, một số trường hợp các đốt sống xoay theo mặt phẳng ngang, tùy vị trí sẽ gây biến dạng hình thể thân trên và lồng ngực, hoặc xoay khung chậu làm thay đổi dáng đi. Các trường hợp phức tạp sẽ dẫn đến gù, vẹo và xoay cột sống.

Hình ảnh bệnh nhân bị vẹo cột sống đoạn ngực hình chữ S rất nặng (Ảnh: BS).
Điều nguy hiểm là các dị tật này thường xuất hiện trong giai đoạn trước tuổi dậy thì, khi trẻ phát triển mạnh.
Khi phía đốt sống bị chèn ép và chịu lực không phát triển so với phía bên kia sẽ dẫn đến biến dạng đốt sống, cột sống và lồng ngực, làm bệnh nhân thay đổi hình thể và dáng đi.
Nếu để bệnh diễn tiến nặng và đã biến dạng các đốt sống, việc điều trị bảo tồn không thể trả lại hình dạng ban đầu.
Lúc này, phẫu thuật hàn xương sẽ được tính đến, để giữ cho cột sống được thẳng và lành xương. Tuy nhiên trong trường hợp trẻ còn quá nhỏ, việc hàn xương sẽ làm cột sống ngắn lại, ảnh hưởng đến chức năng tim phổi.
Biến chứng của phẫu thuật chỉnh vẹo cột sống khá nhiều và nặng nề, bao gồm chảy máu, nhiễm trùng, đau đớn, tổn thương tủy và rễ thần kinh dẫn đến liệt hạ chi, không lành xương, tạo khớp giả…
Bác sĩ khuyến cáo, gù vẹo cột sống trong lứa tuổi trẻ em và dậy thì nếu không điều trị sẽ dẫn đến biến chứng nặng, thậm chí gây tàn tật cho trẻ suốt đời, ảnh hưởng xấu đến chức năng hô hấp, từ đó suy giảm thể chất.
Khi lớn lên, bệnh nhân sẽ trầm cảm, tự ti, tinh thần bị ảnh hưởng nghiêm trọng, chất lượng cuộc sống giảm.
Vì thế, cha mẹ nên cập nhận kiến thức và thông tin về bệnh, đồng thời cần được bác sĩ có chuyên môn cơ xương khớp tư vấn, để có những quyết định điều trị kịp thời cho con em.
Hoàng Lê - Anh Thư











