Bệnh nhân tử vong do nhiễm Covid-19 có chung những đặc điểm gì?
(Dân trí) - Khó thở, tức ngực là những dấu hiệu lâm sàng phổ biến hơn ở những bệnh nhân Covid-19 tử vong so với những bệnh nhân hồi phục.
Các chuyên gia Trung Quốc đã tiến hành nghiên cứu đánh giá những đặc điểm lâm sàng và cận lâm sàng của nhóm bệnh nhân nhiễm Covid-19 đã tử vong tại Bệnh viện Tongji tại Vũ Hán, Trung Quốc. Đây là bệnh viện được chính phủ Trung Quốc chỉ định chuyên tiếp nhận điều trị cho bệnh nhân nhiễm Covid-19 nặng hoặc nguy kịch.
Trong đó các nhà nghiên cứu đánh giá 113 trường hợp tử vong do Covid-19 đã được mổ tử thi.

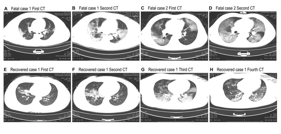
Hình ảnh chup CT ngực ở những bệnh nhân tử vong và bệnh nhân hồi phục do nhiễm Covid-19.
Theo đó, tuổi trung bình của nhóm bệnh nhân tử vong (68 tuổi) lớn hơn đáng kể so với nhóm hồi phục (51 tuổi). Giới tính nam chiếm ưu thế ở những bệnh nhân tử vong (83; 73%) so với những bệnh nhân hồi phục (88; 55%).
Bệnh tăng huyết áp mạn tính và các bệnh tim mạch khác kèm theo được ghi nhận là thường gặp hơn ở những nhóm tử vong so với bệnh nhân hồi phục.
Sốt và ho là triệu chứng phổ biến nhất khi khởi phát bệnh ở cả bệnh nhân đã chết và bệnh nhân đã hồi phục. Tỷ lệ bệnh nhân báo cáo các triệu chứng này trong hai nhóm là tương đương nhau.
Tuy nhiên, nghiên cứu cũng chỉ ra rằng, khó thở, tức ngực là những dấu hiệu lâm sàng phổ biến hơn ở những bệnh nhân tử vong so với những bệnh nhân hồi phục.
Thời gian trung bình từ lúc khởi phát bệnh đến khi tử vong là 16 ngày (dao động từ 12 đến 20 ngày).
Các biến chứng thường gặp được ghi nhận khá phổ biến ở những bệnh nhân tử vong bao gồm: hội chứng suy hô hấp cấp tính, suy hô hấp tuýp I, nhiễm trùng huyết, suy tim…
Bệnh nhân mắc bệnh tim mạch có nhiều khả năng bị biến chứng tim. Bất kể tiền sử bệnh tim mạch, chấn thương tim cấp tính và suy tim là phổ biến hơn ở những bệnh nhân đã tử vong.
Thời gian trung bình từ khi xuất hiện triệu chứng đến lúc tử vong (nhóm tử vong) là 16 ngày và thời gian trung bình từ triệu chứng đầu tiên đến lúc xuất viện (nhóm hồi phục) là 26 ngày. Thời gian trung bình từ lúc nhập viện đến khi tử vong là 5 ngày và thời gian trung bình từ lúc nhập viện đến khi xuất viện là 16 ngày.
Cũng theo nghiên cứu này, sự tiến triển của viêm phổi và viêm nhiễm toàn thân thường xảy ra trong hai tuần đầu tiên và có thể quyết định sự tiến triển của bệnh (bệnh tự phục hồi hoặc tiến triển nặng) và kết quả của bệnh (tử vong hoặc sống sót).
Ngoài ra, tỷ lệ nhân viên y tế trong số bệnh nhân đã chết (1; 1%) thấp hơn đáng kể so với những bệnh nhân đã hồi phục (18; 11%).
Hội chứng hô hấp cấp tính nặng do nhiễm SARS-CoV-2 có thể gây ra cả viêm phổi và viêm toàn thân, dẫn đến rối loạn chức năng đa cơ quan ở những bệnh nhân có nguy cơ cao. Hội chứng suy hô hấp cấp tính và suy hô hấp, nhiễm trùng huyết, tổn thương tim cấp tính và suy tim là những biến chứng nguy hiểm phổ biến nhất ở những bệnh nhân nhiễm Covid-19 diễn biến nặng.
Dù vậy các nhà khoa học cũng thừa nhận một số hạn chế của nghiên cứu. Chẳng hạn, hầu hết tất cả các bệnh nhân đã chết được phân loại là bệnh nặng hoặc nguy kịch, trong khi một tỷ lệ lớn bệnh nhân hồi phục có thể được phân loại là mắc bệnh vừa. Tuy nhiên, tỷ lệ cao các biến chứng tim ở bệnh nhân đã qua đời là rất quan trọng, vì thế cần thiết phải theo dõi sớm và chăm sóc hỗ trợ tim.
Bên cạnh đó, gần một phần ba số bệnh nhân đã qua đời bị rối loạn ý thức khi nhập viện, có thể dẫn đến thiếu một số thông tin (đặc biệt là tiền sử chi tiết và các triệu chứng chủ quan). Vì thế, các chuyên gia cho rằng cần nghiên cứu sâu hơn về các yếu tố rủi ro.
Công trình nghiên cứu được đăng trên Tạp chí BMJ.
Hà An (theo The BMJ)










