Bé 1 tuổi nguy kịch vì hạt mãng cầu gây tắc phế quản
(Dân trí) - Đang ăn mãng cầu, cháu bé 11 tháng tuổi bất ngờ ho sặc sụa, khó thở, tím tái. Tại bệnh viện, bác sĩ xác định bệnh nhi bị hạt mãng cầu lọt vào phổi gây bít tắc hoàn toàn phế quản.
Ngày 2/10 BS Phạm Đoàn Tấn Tài, khoa Tai Mũi Họng, bệnh viện Nhi Đồng 1 cho biết tại đây vừa tiếp nhận và can thiệp kịp thời cho một trường hợp bị suy hô hấp cấp. Bệnh nhân là bé L.H.T. (11 tháng tuổi, ngụ tại tỉnh An Giang) được chuyển đến bệnh viện trong tình trạng lơ mơ, tím tái, phải bóp bóng trợ thở.

Qua khai thác bệnh sử, gia đình cho biết trước đó cháu đang ăn mãng cầu thì đột ngột ho sặc sụa, khó thở, cơ thể tím tái. Người nhà đã cố gắng vỗ lưng và tìm kiếm dị vật trong vùng miệng, họng của trẻ nhưng không thấy nên chuyển đến bệnh viện địa phương. Qua sơ cứu bác sĩ nhận định tình trạng suy hô hấp có thể nguy hiểm đến tính mạng của trẻ nên quyết định mở khí quản trợ thở cho bệnh nhi đồng thời chuyển thẳng lên bệnh viện Nhi Đồng 1.
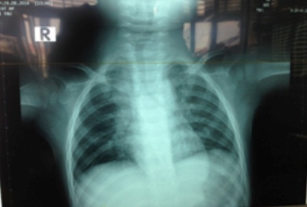
Tại đây, qua chẩn đoán hình ảnh bác sĩ xác định bệnh nhi bị xẹp thùy dưới phổi phải, dị vật là hạt mãng cầu nằm bít tắc hoàn toàn phế quản gốc phải. Bệnh viện lập tức mở cuộc hội chẩn và xác định đây là ca bệnh rất khó xử trí vì dị vật to tròn, trơn láng, chiếm hết lòng phế quản, không còn khoảng trống để đưa dụng cụ vào gắp dị vật. Khí quản của bệnh nhi quá bé, việc thực hiện phương pháp nội soi rất khó khăn, song nếu không khẩn trương can thiệp bệnh nhi có thể tử vong.
Sau gần 20 phút nỗ lực, bác sĩ đã thực hiện nội soi gắp hạt mãng cầu ra ngoài, đường thở của bệnh nhi được khai thông. Bệnh nhi được tiếp tục hỗ trợ thở máy, điều trị tích cực chống tình trạng viêm phổi. Hai ngày sau khi lấy được dị vật ra ngài, sức khỏe của bé H.T. dần bình phục cháu đã cai được máy thở, ăn uống bình thường.
Hóc, sặc dị vật đường thở là tai nạn rất nguy hiểm có thể cướp đi sinh mạng trẻ nếu không được cứu chữa kịp thời. Qua trường hợp trên bác sĩ khuyến cáo các bậc phụ huynh phải cẩn thận loại bỏ hết hạt từ các loại trái cây hoặc xương từ thịt cá trước khi cho trẻ ăn; không cho trẻ nhỏ chơi với những vật nhỏ, vật sắc nhọn,… để đảm bảo an toàn cho trẻ.










