Thiếu nữ có cột sống xoắn hình chữ S
(Dân trí) - Một thiếu nữ ở Anh sở hữu vóc dáng thanh mảnh vì mắc phải chứng vẹo cột sống.

Vóc dáng người mẫu của Leanne Roberts.
Leanne Roberts, 18 tuổi, một người mẫu ở Barnsley, Anh, bị mắc chứng vẹo cột sống khiến một đoạn xương sống xoắn hình chữ S. Chứng bệnh này thường xuyên gây ra các cơn đau.
Trước đây, Robert từng bị suy sụp và tự ti về bản thân vì cho rằng mình không khác gì người bị gù. Tuy nhiên, giờ đây cô dự định sẽ đi phẫu thuật để quay lại nghề người mẫu.

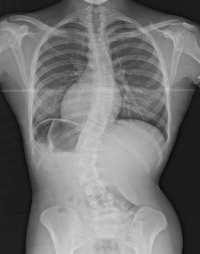
Ảnh chụp X-quang cho thấy đoạn cột sống bị xoắn trong cơ thể Roberts.
Các bác sĩ cho biết, cô cần phải trải qua một ca phẫu thuật kéo dài 12 tiếng để khắc phục tình trạng hiện nay.
Roberts đã chuyển đến bệnh viện Cấp cứu vẹo cột sống ở London. Tại đây, cô đã được học một loạt bài tập thể dục đơn giản thay vì phải phẫu thuật.
Các bài tập đã hiệu nghiệm và Robert mong rằng có thể tiếp tục công việc người mẫu của mình.
Nguyễn Thúy
Theo Metro










