Phục hình Implant trong trường hợp mất răng riêng lẻ
Trường hợp bạn mất 1 răng, hay các răng bị mất nằm ở vị trí riêng lẻ, thông thường bác sĩ sẽ đề nghị bạn ghép 1 Implant vào vị trí bị mất răng.
Trường hợp bạn mất 1 răng, hay các răng bị mất nằm ở vị trí riêng lẻ, thông thường bác sĩ sẽ đề nghị bạn ghép 1 Implant vào vị trí bị mất răng. Implant đó sẽ thay thế chân răng và bác sĩ sẽ làm 1 mão răng sứ trên Implant đó. Như vậy 1 Implant sẽ mang 1 chiếc răng bị mất của bạn. Kết quả của phục hình này thông thường rất tốt.

Hình: Cấy ghép Implant để phục hình răng cửa bên hàm trên bằng Implant.

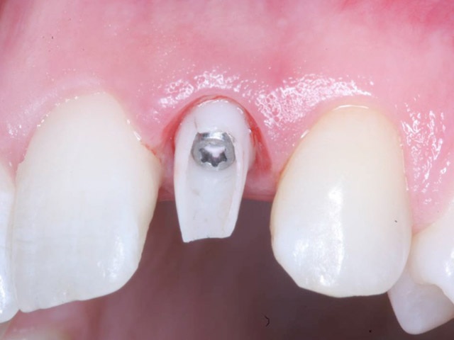
Hình: Gắn Abutment trên Implant, chuẩn bị phục hình răng sứ trên Implant.

Hình: Gắn hoàn tất răng cửa bên hàm trên bên trái bằng mão sứ Zirconia CAD/CAM. Thật khó để nhận ra đây là một chiếc răng sứ!
Điều quan trọng là nơi cấy ghép Implant (vị trí mất răng) còn đủ xương, hoặc tốt nhất là sau khi nhổ răng thì đặt Implant ngay, đặc biệt là đối với răng cửa, răng nanh hay răng cối nhỏ. Với các răng cối (răng hàm hay răng cấm) phía trong, có thể bạn sẽ cần phải đợi 3 tháng sau khi nhổ răng mới ghép Implant được.
Nếu chẳng may mất răng đã lâu, xương không còn nhiều như trước, bác sĩ sẽ đề nghị một số kỹ thuật như ghép xương, nong xương, nâng xoang hàm để có thể ghép Implant được. Đây là những kỹ thuật khó và nâng cao, đòi hỏi bác sĩ được đào tạo kỹ lưỡng và bài bản về phẫu thuật và Implant.
Nếu cần thêm thông tin, bạn có thể vào website www.nhakhoalananh.com hay liên hệ:
Nha khoa Lan Anh - Chuyên răng sứ & implant
292 Huỳnh Văn Bánh, Phường 11, Quận Phú Nhuận, TP HCM. ĐT: 3844 2838
B3-23 Hà Huy Tập, khu Nam Long 1, Phú Mỹ Hưng, Quận 7, TP HCM. ĐT: 5411 1616.
Email: tuvan@nhakhoalananh.com
Bạn có thể tham khảo thêm thông tin về Implant tại:
http://dantri.com.vn/c7/s223-311384/hau-qua-cua-mat-rang-va-cach-khac-phuc.htm
http://dantri.com.vn/c7/s223-317768/implant-nha-khoa-phan-2-loi-ich-cua-implant.htm
http://dantri.com.vn/c7/s223-324996/quy-trinh-cay-ghep-implant.htm
http://dantri.com.vn/c7/s223-330298/nho-rang-ket-hop-cay-ghep-implant-trong-1-lan-phau-thuat.htm










