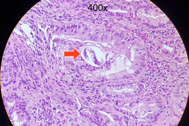
Bệnh viện ở TPHCM bất ngờ phát hiện 4 ca nhiễm giun lươn hiếm gặpCác bác sĩ ở TPHCM đã phát hiện nhiều ca nhiễm giun lươn trực tiếp trong mô dạ dày và tá tràng qua sinh thiết nội soi, điều ít được công bố rộng rãi tại các cơ sở y tế phía Nam.
Hơn 50% dân số Việt nhiễm giunTheo Viện Sốt rét - Ký sinh trùng - Côn trùng Trung ương (NIMPE) hiện Việt Nam có hơn 45 triệu người nhiễm giun. Hằng năm người dân Việt Nam tiêu tốn 1,5 triệu lít máu và 15 tấn lương thực để nuôi giun và nhiễm giun kéo theo một loạt nguy cơ cho sức khỏe.
Nguy cơ viêm vùng kín do nhiễm... giun kimNhiễm giun gây ra nhiều tác hại cho như: giảm trí nhớ, học không tập trung, suy dinh dưỡng, rối loạn thần kinh, chậm phát triển trí tuệ…song ít ai biết tới việc nhiễm giun còn có thể khiến phụ nữ dễ bị viêm vùng kín.
Nhiễm giun lươn mà cứ tưởng đau dạ dàyBệnh nhân nam bị đau bụng, nôn mửa kéo dài, được nhiều cơ sở y tế chẩn đoán, điều trị bệnh đau dạ dày. Tuy nhiên, sự thật, bệnh nhân bị nhiễm giun lươn.
60 triệu người Việt Nam nhiễm giunKhoảng 60 triệu người Việt Nam đang nhiễm giun đũa, giun tóc và giun móc. Ăn rau sống không đảm bảo vệ sinh là một trong những nguyên nhân khiến tỷ lệ nhiễm giun ở mức báo động.
Nhiễm giun học đường - Nỗi lo mỗi mùa khai giảngThống kê gần đây của Viện Sốt rét Ký sinh trùng Côn trùng Trung ương cho thấy có 45 triệu người dân Việt Nam nhiễm giun. Trong đó, trẻ em học sinh là đối tượng dễ bị nhiễm giun nhất. Tỷ lệ trẻ em nhiễm giun ở khu vực phía Nam là 10-50%, trong khi ở miền Bắc thì có nơi lên đến hơn 80% trẻ nhiễm giun.
Mối nguy hại khó lường khi trẻ bị nhiễm giun sánTheo Tổ chức Y tế Thế giới (WHO) năm 2014, Việt Nam nằm trong những nước có tỷ lệ nhiễm giun sán cao nhất khu vực Châu Á (20-50% tùy vùng, miền). Trong đó trẻ em dưới 12 tuổi có tỉ lệ nhiễm giun cao hơn người lớn và tiềm ẩn nhiều mối nguy hại khó lường.
Cảnh báo: Nhiễm giun rồng nguy hiểm do ăn món "đặc sản" gỏi cáMột bệnh nhân tại xã Long Cốc, huyện Tân Sơn vừa được chẩn đoán mắc giun rồng - căn bệnh ký sinh trùng nguy hiểm từng được coi là hiếm gặp và gần như biến mất tại Việt Nam.
Cảnh giác với nhiễm giun chết người từ món sushiSushi đang trở thành món ăn khoái khẩu của nhiều người, và các bác sĩ cảnh báo điều này có thể làm gia tăng số trường hợp nhiễm giun ký sinh chết người.
Nhiễm giun trong môi trường học đường: Đừng chủ quan!Ngoài đường lây nhiễm qua ăn uống, trứng giun có thể lây nhiễm qua đường không khí hay trong giao tiếp, đặc biệt đối với giun kim. Do đó, môi trường học đường có thể là môi trường thuận lợi để giun lây nhiễm chéo vì chỉ cần một trẻ bị nhiễm giun là có thể lây nhiễm cho các bạn cùng lớp. Đây là nguyên nhân khiến trẻ dễ bị tái nhiễm giun nhưng không phải phụ huynh nào cũng biết.
Nhiễm giun ở trẻ: Cần phòng ngừa hơn điều trịLả người vì mất nước do tiêu chảy và khóc nhiều quá, bé Phương (5 tuổi) nằm thiếp đi trên giường bệnh. Còn gương mặt chị Hồng Vân thì đã có sự chuyển sắc từ lo lắng trở nên bớt căng thẳng hơn khi bác sĩ cho biết, tình trạng bé Phương không còn nguy hiểm nữa, cháu chỉ bị nhiễm giun và cần được tẩy giun ngay!
Nhiễm giun trong máu: thật hay đùa?Người dân Việt Nam hay truyền miệng về bệnh nhiễm giun sán trong máu, giống như bạn đọc đã nêu. Nói cho đúng thì phải gọi là bệnh ký sinh trùng lạc chủ, hay rõ hơn là bệnh nhiễm ấu trùng giun (hoặc sán) lạc chủ.