Hạt hồng xiêm nằm trong phế quản người đàn ông suốt 26 nămCác bác sĩ của Bệnh viện Đa khoa Trung ương Cần Thơ vừa nội soi lấy hạt sabochê (hồng xiêm) nằm trong phổi người đàn ông ở Cần Thơ suốt 26 năm.
Hạt hồng xiêm nằm trong phế quản người phụ nữ suốt 27 nămSáng 25/11 Bệnh viện Đa khoa Trung ương Cần Thơ cho biết, các bác sĩ khoa Nội Hô hấp vừa thực hiện thành công nội soi phế quản lấy dị vật hạt hồng xiêm nằm vắt ngang trong phế quản phải suốt 27 năm.
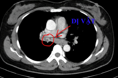
Hy hữu lưỡi câu, cục sắt nằm trong phế quản bệnh nhân tâm thầnSáng 9/8, tin từ Khoa Nội tổng hợp, Bệnh viện Đa Khoa tỉnh Quảng Nam cho biết, các y, bác sĩ của Khoa vừa nội soi gắp thành công các dị vật phức tạp nằm hai bên phổi của một bệnh nhân tâm thần.
Sốt, ho, nặng ngực suốt 6 tháng do mảnh xương nằm trong phế quảnNgày 29/7, nguồn tin từ Bệnh viện Đa khoa Trung ương Cần Thơ cho biết: Các bác sĩ Khoa Hô hấp của bệnh viện vừa vừa gắp thành công mảnh xương trong phế quản bệnh nhân bị hóc trước đó 6 tháng.
Ho, sốt kéo dài vì hạt hồng xiêm nằm trong phế quản 4 nămNữ bệnh nhân nhập viện với các biểu hiện ho, sốt kéo dài suốt 4 năm qua nhưng điều trị không khỏi. Qua chẩn đoán hình ảnh, bác sĩ phát hiện phổi của bệnh nhân có dị vật và tiến hành nội soi gắp ra 1 hạt hồng xiêm.
Nội soi 3 lần mới gắp được dây niềng răng nằm trong phế quản nhiều nămMột bệnh nhân bị dây niềng răng có độ dài khoảng 5cm rơi vào phế quản gây ra triệu chứng ho, khó thở nhiều năm. Mới đây bệnh nhân phải nhập viện và được bác sĩ BV Đa khoa Trung ương Cần thơ lấy ra thành công.
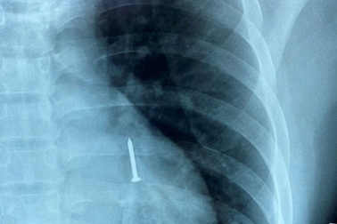
Cứu thợ hồ bị đinh sắt dài 3cm rơi vào phổi khi đang ngậm trong miệngBệnh viện Đà Nẵng cho biết, vừa nội soi gắp thành công cây đinh sắt dài 3 cm nằm trong phế quản cho nam bệnh nhân.
Đau nhói ngực vì hạt hồng xiêm “bỏ quên” trong phế quảnTrong lúc ăn trái hồng xiêm, anh Minh L. bị sặc, sau đó thường xuyên ho. Nghĩ tình trạng trên chỉ là cảm cúm bình thường, đến khi đối mặt với những cơn đau tức ngực, anh đi kiểm tra thì được bác sĩ lấy hạt hồng xiêm nằm trong phế quản.
Nội soi lấy đầu bút bi “bỏ quên” trong phổi bệnh nhiĐang ngậm đầu bút thì cậu học sinh lớp 1 bị ho sặc sụa, ngay sau đó cháu gặp phải tình trạng đau tức ngực, khó thở. Tại bệnh viện Nhi Đồng 1, bác sĩ đã tiến hành nội soi gắp thành công đầu bút bi nằm trong phế quản bệnh nhi.
Việt Nam mở rộng tiêm vaccine phế cầu 20, não mô cầu từ 6 tuần tuổiBộ Y tế vừa phê duyệt mở rộng chỉ định tiêm vaccine phế cầu 20 của Pfizer và não mô cầu ACYW-TT của Sanofi từ 6 tuần tuổi, bảo vệ trẻ sớm hơn trước các bệnh truyền nhiễm nguy hiểm.
HyunA ngất xỉu trên sân khấu sau khi giảm 10kg trong thời gian ngắnNgôi sao Kpop nổi tiếng HyunA bất ngờ đổ gục xuống khi đang biểu diễn tại lễ hội Waterbomb ở Macau (Trung Quốc) vào ngày 9/11, khiến khán giả hoảng hốt.
Bệnh viện tuyến Trung ương cảnh báo cúm A tấn công trẻ emCác bác sĩ cảnh báo phụ huynh cần nhận biết sớm triệu chứng và đưa trẻ đi khám kịp thời để tránh biến chứng nguy hiểm.