Bình Định: Gắp dị vật đồng xu kẹt trong thực quản bé 3 tuổiMột bé gái 3 tuổi ở TP Quy Nhơn (Bình Định) phải nhập viện cấp cứu trong tình trạng khó thở, hoảng loạn… do nuốt dị vật đồng xu và bị mắc kẹt trong thực quản.
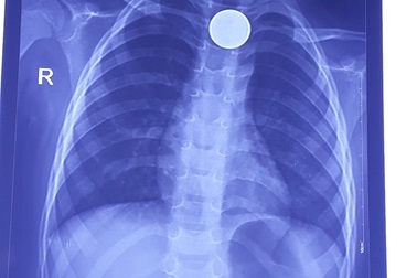
Sau tiếng khóc thét, đồng xu trôi tọt vào thực quản bé trai 3 tuổiTrên hình ảnh chụp X-quang, đồng xu tròn, sáng lóa nằm ngay ở 1/3 phần trên thực quản của bệnh nhi. Hóc dị vật đồng xu khiến em bé liên tục ọe, buồn nôn.
Bãi biển phủ kín dải "đồng xu bạc" dài 2km, chuyên gia cảnh báo có độcỞ bờ biển phía tây thành phố Hải Khẩu (Trung Quốc) bất ngờ xuất hiện dải sinh vật màu bạc như vô số đồng xu phủ kín mặt cát. Cảnh tượng lạ thu hút rất đông du khách tới chụp hình.
Mùa mưa bão dễ ốm sốt, có nên "đánh cảm" bằng lăn trứng gà, dây bạc?“Đánh cảm” bằng lòng trứng gà luộc và đồng xu/dây bạc là một trong những cách trị bệnh dân gian từ xa xưa. Tuy nhiên, liệu phương pháp này có thực sự phù hợp với mọi đối tượng?
Bé 10 tháng suýt thủng ruột vì nuốt điếu thuốc lá chứa mảnh kim loạiMột bé trai được đưa đến BVĐK Hồng Ngọc trong tình trạng nuốt phải một phần điếu thuốc lá, bên trong chứa mảnh kim loại, sắc như lưỡi dao. Các bác sĩ đã nhanh chóng nội soi và gắp thành công dị vật, cứu bé khỏi nguy cơ thủng ruột.
Hà Việt Dũng U40: “Tổng tài mỏ hỗn” trên phim, ngoài đời chủ homestayHà Việt Dũng thừa nhận, ngoài đời anh là người tếu táo, vui tính và giản dị. Khi ở nhà, nam diễn viên vẫn làm mọi việc từ đứng bếp, bưng bê phục vụ khách đến phụ giúp vợ cho con ăn, dạy con học.
Bé trai 5 tuổi nuốt móc dây chuyền bạc đeo tay phải nhập viện cấp cứuTrong lúc chơi ở nhà, bé trai 5 tuổi ở Ninh Bình đã nuốt phải móc cài dây chuyền bạc. Sau khi thụt tháo không thành, người nhà đã đưa bé vào bệnh viện cấp cứu.
Nuốt phải kẹp tóc, bé gái 5 tuổi nhập viện cấp cứuTai nạn xảy ra khi bé N.M.A. (5 tuổi, Phú Thọ) đang ở lớp học. Trong giờ chơi, bé ngậm kẹp tóc, vô tình nuốt phải.
Cặp đôi 9X nuôi giấc mơ phát triển du lịch nông thôn bền vững ở Lào CaiKhông ít người trẻ ở Lào Cai chọn rời phố, trở về quê hương, làm du lịch theo cách riêng - gần gũi, sáng tạo và bền vững - góp phần phát triển kinh tế và mang đến làn gió mới cho du lịch nông thôn.
Tọa đàm: Hiểu rõ bệnh liên quan dị ứng đường thở, bảo vệ sức khoẻ gia đìnhDị ứng đường thở đang ngày càng trở nên phổ biến trong cộng đồng, đặc biệt ở các đô thị lớn có không khí ô nhiễm, mật độ dân cư cao và điều kiện sống thay đổi nhanh chóng như Hà Nội, TPHCM.
Chơi trước nhà, bé trai 5 tuổi bị chó béc-giê cắn biến dạng mặt nặng nềBị chó béc-giê của hàng xóm lao đến cắn khi chơi trước nhà, bé trai 5 tuổi được chuyển đến bệnh viện tuyến cuối ở TPHCM cấp cứu trong tình trạng rách nát, biến dạng mặt.
Yeri (Red Velvet) tái ngộ khán giả Việt qua màn ảnh sau chuyến đi Đà NẵngSau chuyến nghỉ dưỡng tại Đà Nẵng hồi tháng 4, Yeri (Red Velvet) khiến khán giả Việt thích thú khi tái xuất màn ảnh rộng trong phim kinh dị Bẫy hồi sinh (The Ghost Game).