Tạo hình âm đạo cho bệnh nhi 13 tuổi
Ngày 27/12, thông tin từ Khoa Niệu Bệnh viện Nhi Đồng 2 (TPHCM) cho biết vừa tiến hành phẫu thuật tạo hình âm đạo cho bệnh nhân N.T.H (13 tuổi, TPHCM). Bé H. mắc bệnh lý bất sản âm đạo bẩm sinh.

Tạo hình âm đạo cho bé gái
Theo ThS.BS Phạm Ngọc Thạch, Phó Khoa Niệu, phẫu thuật viên chính ca phẫu thuật, đây là một trong những dạng dị tật gây nên bệnh tắc nghẽn âm đạo bẩm sinh. Những biểu hiện của bệnh lý này thường khiến người điều trị nhầm lẫn với các bệnh hoàn toàn khác như viêm ruột thừa hoặc u nang buồng trứng xoắn dẫn đến việc chẩn đoán và điều trị gặp khó khăn.
Khoảng 3 tháng trước, bé H. có những biểu hiện đau bụng theo chu kỳ hằng tháng. Mỗi đợt đau bụng như vậy kéo dài khoảng 3 đến 4 ngày liên tục như đau bụng kinh. Tuy nhiên, người nhà kiểm tra thì không thấy ra máu. Người nhà có đưa bé H. đi siêu âm, kết quả cho thấy u nang buồng trứng và chỉ được theo dõi. Tuy nhiên, những đợt đau bụng ngày càng nặng. Hơn nữa vùng hạ vị của bé H. có khối ghồ lên, kèm theo đó bé càng ngày càng khó đi tiểu.
Giữa tháng 12, người nhà đưa bé vào một bệnh viện tuyến quận trong tình trạng đau bụng dữ dội, bụng phình to và bí tiểu. Qua thăm khám, các bác sĩ chẩn đoán màng trinh của bé H. không có lỗ để thoát máu kinh và dịch ra bên ngoài. Vì thế, bé H. được phẫu thuật rạch mép màng trinh. Tuy nhiên, sau khi phẫu thuật, bé H. vẫn đau bụng dưới và bí tiểu phải chuyển lên Bệnh viện Nhi Đồng 2.
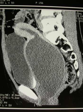
Tại Bệnh viện Nhi Đồng 2, bé H. đã được các bác sĩ chẩn đoán ứ máu kinh trong tử cung âm đạo nhưng do nguyên nhân là bất sản âm đạo. Bé đã được phẫu thuật cấp cứu nhằm giải thoát lượng máu kinh ứ đọng trong nhiều tháng liền và tái tạo lại âm đạo.
Tắc nghẽn âm đạo bẩm sinh có tần xuất khoảng 1/4.500 trẻ gái sinh ra. Trung bình mỗi năm Khoa Niệu Bệnh viện Nhi Đồng 2 tiếp nhận từ 4 – 5 ca mắc bệnh lý trên. Với những bệnh nhân mắc bệnh lý này thì âm đạo bị bít đường tống thoát nên sẽ gây cản trở bài tiết dịch và máu kinh. Vì thế, lượng dịch và máu kinh sẽ ứ động ở vùng âm đạo. Lứa tuổi biểu hiện bệnh đa phần là ở sơ sinh hoặc dậy thì.
Theo BTĐ
Bệnh viện Nhi đồng 2










