Phẫu thuật thành công cho phi công Canada gãy trật khớp háng nặng
Chỉ sau 3 ngày mổ cấp cứu gẫy trật khớp háng nặng do tai nạn giao thông, anh Dustin Spencer (34 tuổi, người Canada) đã có thể bắt đầu tập đi lại. Với một người là phi công thủy phi cơ, sức khỏe là yếu tố sống còn như anh Dustin thì sự hồi phục nhanh chóng phẫu thuật sau ca mổ.
Bị tai nạn giao thông, chân phải của anh Dustin không thể cử động được và rất đau. Vào cấp cứu tại Bệnh viện Đa khoa Quốc tế Vinmec Times City lúc 3h30 sáng 29/12/2016, anh Dustin được chẩn đoán trật khớp háng hoàn toàn và vỡ cột sau ổ cối bên phải.
Khi biết đây là một thương tổn xương khớp rất nặng, anh Dustin Spencer hết sức lo lắng và đã có ý định bay về nước điều trị. Tuy nhiên, các thủ tục về Canada mất nhiều thời gian và có thể khiến việc điều trị chậm ảnh hưởng lớn đến khả năng phục hồi của anh; thậm chí tăng khả năng biến chứng hoại tử chỏm xương đùi.
Trong giờ phút quyết định, anh Dustin đã đặt hoàn toàn niềm tin vào TS Nguyễn Đắc Nghĩa – Trưởng đơn nguyên Chấn thương chỉnh hình là một chuyên gia dày dạn trong phẫu thuật các chấn thương khớp háng, khớp gối ở Việt Nam.

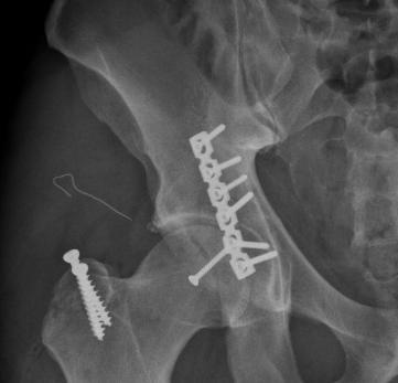
Chấn thương của anh Dustin khá hiếm gặp, vùng tổn thương ở sâu, vi trường phẫu thuật hạn chế, xung quanh các mảnh vỡ là dây thần kinh và mạch máu quan trọng. Với ca chấn thương này, TS Nghĩa và các bác sĩ Vinmec đã tiến hành nắn trật khớp trở lại, đồng thời kết xương bằng nẹp vít ổ cối thành công cho người bệnh trong ca mổ kéo dài hơn 4h. Ba ngày sau mổ, Dustin đã bắt đầu tập đi. Và 6 ngày sau, anh đã được ra viện, đồng thời định kỳ đến tập phục hồi chức năng theo các bài tập chuyên sâu tại bệnh viện.

Giữa tháng 1/2017, trở lại tái khám lần cuối cùng với BS Đoàn Mạnh Hùng (Đơn nguyên Chấn thương chỉnh hình) bác sĩ trực tiếp điều trị - trước khi về quê hương nghỉ dưỡng để phục hồi hoàn toàn, anh Dustin đã gửi lời cảm ơn tới tất cả kíp bác sĩ, điều dưỡng và kỹ thuật viên tại Vinmec.
“Canada là đất nước có dịch vụ y tế rất tốt. Trải qua thời gian ở Vinmec, tôi thấy dịch vụ ở đây không kém gì tại Canada. Tôi rất cảm động, trong những giờ phút cần kíp, các bác sĩ Vinmec đã cùng nhau phối hợp ăn ý để có được giải pháp chữa trị tốt nhất cho người bệnh. Tôi cũng sẽ nhớ mãi các bạn điều dưỡng khi chăm sóc vết thương rất chú ý cẩn thận, tránh cho tôi phải chịu thêm bất cứ lần đau nào. Chính sự chuyên nghiệp từ những chi tiết nhỏ nhất như vậy đã đem lại chất lượng dịch vụ tốt ở Vinmec”- anh Dustin chia sẻ.

Sau 1 tháng mổ, xương gãy sẽ liền. Anh Dustin hy vọng lúc đó có thể đi lại bình thường. TS Nguyễn Đắc Nghĩa cho biết: “Với các ca phẫu thuật khớp háng phức tạp, sự thành công không chỉ là ở kỹ thuật mổ tốt mà còn từ sự chăm sóc của các bác sĩ trực tiếp điều trị và điều dưỡng sau đó để vết mổ nhanh lành; và cũng một phần không nhỏ từ là sự năng động của người bệnh trở lại tập luyện ngay theo đúng hướng dẫn. Kết hợp được tất cả điều đó, anh Dustin đã phục hồi khả quan như vậy”.
Hồng Vân










