Phẫu thuật chấn thương sọ não sau cú ngã trước đó 3 tháng
(Dân trí) - Không may trượt chân ngã, ông H. bị gãy cổ xương đùi, những tưởng tai họa đã qua nhưng 3 tháng sau bệnh nhân rơi vào nguy kịch vì chấn thương sọ não. Các bác sĩ phải khoan sọ, rửa và dẫn lưu máu tụ dưới màng cứng, bệnh nhân mới thoát khỏi lưỡi hái tử thần.
Ngày 13/12, BS Phạm Quốc Dũng, Giám đốc bệnh viện quận 11 cho hay, tại đây vừa thực hiện thành công kỹ thuật can thiệp chấn thương sọ não không cần gây mê sâu mà chỉ tiền mê và gây tê tại vị trí phẫu thuật. Nạn nhân trong cuộc mổ là ông T.T.H. (69 tuổi, ngụ tại TPHCM).
Trước đó, ông H. nhập viện trong tình trạng đau đầu dữ dội kèm yếu nửa người bên trái. Khai thác bệnh sử ghi nhận, cách nhập viện 3 tháng, bệnh nhân đi lại trong nhà thì bị trượt chân ngã. Sau tai nạn, cụ đau nhiều vùng khớp háng trái, kèm đau nhẹ đầu. Sau phẫu thuật thay khớp háng nhân tạo tại một bệnh viện khác, cụ xuất viện và tự đi lại được.
Những tưởng, đã “tai qua nạn khỏi” thì cách đây 3 tuần, cụ bắt đầu có biểu hiện đau đầu âm ỉ, cảm giác đau tăng dần. Đến khi tình trạng đau đầu trở nên dữ dội, kèm theo yếu liệt nửa người bên trái, con cháu mới tá hỏa đưa cụ đến bệnh viện Quận 11 cấp cứu.
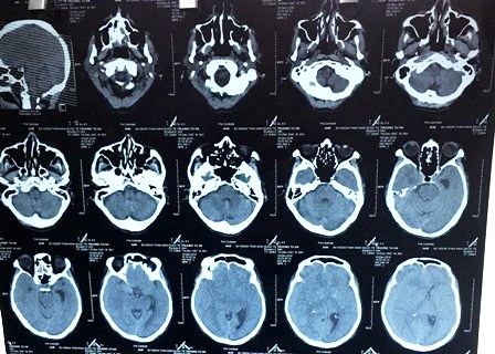
Kết quả chụp CT-scan đầu xác định, người bệnh bị máu tụ dưới màng cứng mạn tính ở cả 2 bán cầu, bên phải nhiều hơn bên trái. Tình trạng máu tụ đẩy lệch đường giữa (khoảng 11mm), chèn ép não thất bên phải (nguyên nhân gây yếu liệt nửa người bên trái). Bên cạnh đó, kết quả X-quang phổi ghi nhận, bệnh nhân bị xơ phổi trên nền bệnh lao phổi cũ.
Phân tích chuyên môn của BS Quốc Dũng chỉ ra: “Đây là ca bệnh rất khó, bởi phẫu thuật chấn thương sọ não là cuộc mổ lớn, người bệnh cần được thực hiện phương pháp mê sâu, đặt nội khí quản hỗ trợ hô hấp. Tuy nhiên, bệnh nhân có tổn thương xơ dính phổi (diện rộng) nguy cơ tử vong trên bàn mổ do suy hô hấp rất cao song nếu đặt nội khí quản thì sau mổ, người bệnh sẽ lệ thuộc máy thở, khó cai khiến việc hồi sức thất bại".

Sau cuộc hội chẩn liên chuyên khoa và nhận được sự đồng thuận từ thân nhân người bệnh, các bác sĩ đã tiến hành tiền mê bằng thuốc, khoan 1 lỗ trên hộp sọ, tiếp cận với vùng máu tụ, thực hiện thủ thuật bơm rửa, dẫn lưu máu tụ dưới màng cứng thành công.
Toàn bộ quy trình can thiệp được hoàn tất trước thời gian thuốc tiền mê hết công hiệu (45 phút). Sau mổ, bệnh nhân nhanh chóng bình phục, tiếp xúc tốt, tình trạng đau đầu đã được giải quyết, sức cơ nửa người bên trái dần phục hồi.
BS Quốc Dũng khuyến cáo: Chấn thương sọ não, là tai nạn rất nguy hiểm, những bệnh cảnh cấp tính như: máu tụ ngoài màng cứng, dưới màng cứng (cấp), dập não, xuất huyết não... thời gian vàng điều trị chỉ trong khoảng 4 tiếng kể từ khi bị chấn thương. Một số bệnh cảnh mạn tính như máu tụ dưới màng (trường hợp của bệnh nhân H.) sẽ xuất hiện triệu chứng đau đầu kèm yếu nửa người.
Do đó, sau tai nạn giao thông, té ngã hoặc va đập mạnh ở vùng đầu, nếu người bệnh có các dấu hiệu như: giảm tri giác sau chấn thương (lú lẫn, nói dính lưỡi hoặc có những hành vi bất thường), đau đầu ngày càng tăng, ói dai dẳng, co giật, phù nề tại vị trí tổn thương, yếu hoặc mất cảm giác tay chân, chảy dịch trắng trong ra mũi hoặc tai... phải khẩn cấp đến bệnh viện ngay.
Vân Sơn










