Nuốt dao nhọn dài 15cm để… tự tử
(Dân trí) - Vì muốn tự tử, anh Lê Hữu H. (37 tuổi, Thanh Hoá) đã nuốt con dao dài 15cm. Con dao nhọn này đã chui tọt qua cuống họng, chọc thủng thực quản và nằm dọc trong lồng ngực, may mắn không gây nguy hại tính mạng người bệnh.

Ngay sau khi nuốt con dao dài nhọn này, gia đình bệnh nhân đã phát hiện và đưa đi cấp cứu tại bệnh viện Thanh Hóa và được chuyển tiếp ra bệnh viện Việt Đức ngay sau đó.
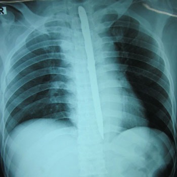
Kết quả chụp X-quang cho thấy hình ảnh con dao nằm trọn trong lồng ngực bệnh nhân. Rất may là con dao sau khi chui qua họng, chọc thủng thực quản xuống ngực, gây đứt vài mạch máu phụ của động mạch chủ ngực nhưng lại không gây tổn thương đến tim và các mạch máu lớn. Vì thế bệnh nhân may mắn thoát chết.
Ngay sau khi xác định tình trạng này, kíp phẫu thuật gồm PGS Nguyễn Hữu Ước, Trưởng Khoa Phẫu thuật Tim mạch lồng ngực và PGS Phạm Đức Huấn, Trưởng Khoa phẫu thuật Tiêu hoá đã quyết định phẫu thuật, mổ mở lồng ngực để lấy con dao ra khỏi ngực bệnh nhân. Sau hơn 4 giờ đồng hồ phẫu thuật, con dao nhọn dài 15cm đã được lấy ra. Hiện tình trạng bệnh nhân ổn định, đã tỉnh táo nhưng vẫn được thở máy, theo dõi đặc biệt.
Hồng Hải










