Móc sắt nằm gọn trong ruột bé 18 tháng tuổi
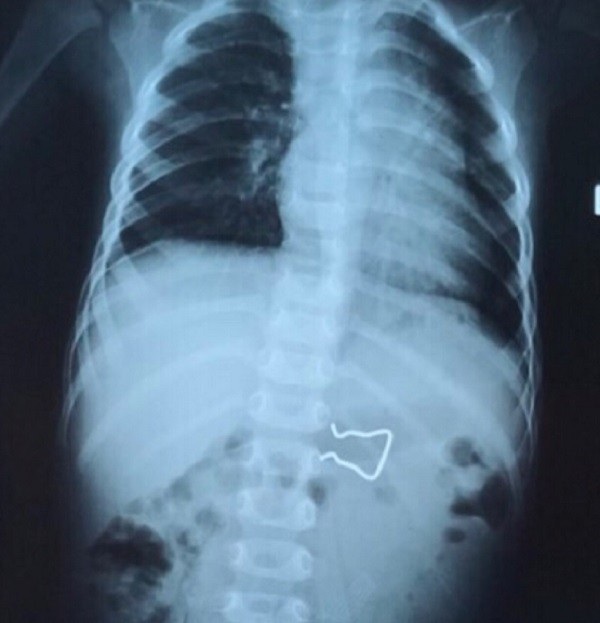
(Dân trí) - Hình ảnh X-quang phát hiện chiếc móc sắt sắc nhọn trong đường tiêu hóa của bệnh nhi, nguy cơ gây thủng ruột. Tai nạn nguy hiểm vừa xảy đến với cháu bé 18 tháng tuổi.

Ngày 16/5, thông tin từ BS Nguyễn Minh Ngọc, Trưởng khoa Tiêu hóa, Bệnh viện Nhi Đồng 2 cho hay, tại đây vừa tiếp nhận và kịp thời can thiệp cho trường hợp bệnh nhi bị dị vật nguy hiểm ở đường tiêu hóa.
Trước đó, bé Nam K. (18 tháng tuổi, ngụ tại Đắk Lắk) cầm chiếc kẹp (dùng để cố định quần áo khi phơi đồ - PV). Trong lúc bé mày mò khám phá, móc kim loại của chiếc kẹp bị rớt ra ngoài, cháu đã bỏ vào miệng ngậm và rồi trôi luôn vào bụng. Người nhà phát hiện nhưng không thể lấy ra.
Bệnh nhi được chuyển đến bệnh viện địa phương rồi tiếp tục chuyển lên Bệnh viện Nhi Đồng 2. Tại đây, qua kiểm tra hình ảnh X-quang bác sĩ phát hiện, dị vật đang nằm trong đường tiêu hóa của bệnh nhi, nguy cơ gây thủng ruột nếu không được can thiệp sớm.
Bệnh viện Nhi Đồng 2 đã hội chẩn chuyên môn và phối hợp cùng bệnh viện Chợ Rẫy thực hiện thành công cuộc nội soi gắp chiếc kẹp ra khỏi đường tiêu hóa cho bệnh nhi.
Li Uyên










