BV Trung ương Huế:
Lần đầu tiên áp dụng xạ trị u não có gây mê ở trẻ 4 tuổi
(Dân trí) - Ngày 5/8, PGS.TS. Phạm Như Hiệp, PGĐ BV Trung ương Huế, GĐ Trung tâm Ung bướu cho biết, Trung tâm Ung bướu và Khoa Gây mê hồi sức B tại bệnh viện đã lần đầu tiên phối hợp, áp dụng thành công phương pháp xạ trị u não có gây mê ở trẻ em.
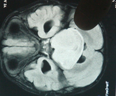
Theo đó, bệnh nhân P.H.H.H (SN 2009, trú tại tỉnh Gia Lai) nhập viện cách đây 6 tuần với các triệu chứng bệnh u não nặng. Em Hoàng có các biểu hiện như nhức đầu, nôn mửa, đi đứng khó khăn, bước đi hay loạng choạng phải có người dìu, mắt bị lác, tay chân yếu, nói không rõ và ngọng. Khối u nằm ở vùng thân não là vị trí không thể mổ được mà phải xạ trị. Được nhận định là khối u quá lớn, có kích thước 4x4x5cm nằm ở vị trí thân não, nơi hiểm ác nhất của não bộ.


PGS Hiệp đã chỉ đạo kết hợp áp dụng phương pháp mới chưa từng được làm trước đây đối với bệnh nhân ung thư nhi: là xạ trị kết hợp với gây mê. Vì bệnh nhi dưới 8 tuổi nên sẽ không có ý thức hợp tác, không nằm yên trong quá trình xạ trị như người lớn được nên buộc phải gây mê và cố định thật tốt cho bệnh nhi để xạ trị chính xác vào khối u. Đây là vấn đề cốt lõi khi áp dụng kỹ thuật xạ trị này. Ngoài ra, các biến chứng khó lường khi xạ trị và khi gây mê ở trẻ em, thậm chí là tử vong, cũng được tính toán và cân nhắc kỹ trước khi tiến hành điều trị. Bác sĩ đã giải thích kỹ vấn đề này và đã được người nhà cam kết với bệnh viện.
Ê kíp làm việc rất nhiều y bác sĩ với 9 người, gồm PGS.TS Phạm Như Hiệp, ThS.BS Phan Cảnh Duy, kỹ sư, kỹ thuật viên xạ trị (Trung tâm Ung Bướu BV Trung ương Huế), cùng với êkip Khoa Gây mê Hồi sức B gồm BSCK II Nguyễn Thị Thanh Hương (Trưởng Khoa), Th.S Ngô Dũng ( Phó Khoa), và êkip kỹ thuật viên gây mê, ròng rã nỗ lực trong 5 tuần đã liên tiếp gây mê – xạ trị 22 lần cho em Hoàng.

Em Hoàng được gây mê - xạ trị 22 lần liên tiếp trong vòng 5 tuần lễ
Kết quả, bệnh nhân đã tỉnh táo, nói chuyện vui vẻ, chạy nhảy được, không còn nôn, khối u đã nhỏ lại, đặc biệt trọng lượng em đã tăng từ 11 lên 12 kilo. Vào ngày thứ 6 tuần trước (2/8), Hoàng đã được xuất viện trong niềm vui mừng của người nhà và đội ngũ y bác sĩ tận tình chăm sóc em.
Theo ThS.BS Phan Cảnh Duy, Trung tâm Ung bướu BV Trung ương Huế, người trực tiếp điều trị bệnh nhân cho biết, đây là lần đầu tiên Trung tâm áp dụng phương pháp này. Điều khó khăn khi triển khai kỹ thuật này là quá trình điều trị khó khăn, phức tạp, kéo dài, chi phí cao và phải có sự hợp tác chặt chẽ giữa BS xạ trị và BS gây mê hồi sức vì phải nhiều lần thực hiện gây mê – xạ trị.
“Phương pháp chúng tôi dùng là xạ trị gia tốc tuyến tính, kỹ thuật xạ trị theo hình thái không gian 3 chiều. Điểm nổi bật là có gây mê cho mỗi lần xạ trị liên tiếp 5 tuần với 22 lần mà không xảy ra biến cố nào. Khi gây mê, bệnh nhân sẽ ngủ sâu trong vòng gần 10 phút, sau 15-20phút kể từ lúc gây mê, bệnh nhân sẽ tỉnh táo trở lại bình thường.
Đây là một mảng điều trị ung thư nhi khoa hiện vẫn đang còn bỏ trống. Xạ trị - gây mê là phương pháp không mới ở các trung tâm y tế trên thế giới ở châu Âu, các nước châu Á phát triển. Nhưng ở hai đầu đất nước chúng ta hiện vẫn chưa thực hiện phương pháp này”, BS Duy nói thêm.

Bệnh nhân đã khỏe rất nhiều sau đợt điều trị lần đầu tiên áp dụng phương pháp mới này. Trong ảnh là BS Duy (người bồng cháu Hoàng), và BS Dũng (kế bên trái cháu Hoàng) - 2 BS trực tiếp thực hiện ca điều trị cho cháu Hoàng
Cho đến ngày hôm nay (5/8), bệnh nhân có sức khỏe rất tốt, dấu hiệu của cách điều trị mới đã thành công. Trong 2 tháng sắp tới, bệnh nhân sẽ tái khám và đánh giá lại tại Trung tâm Ung bướu, BV Trung ương Huế.
Đại Dương










