Hy hữu hình ảnh em bé thò chân ra khỏi tử cung của mẹ
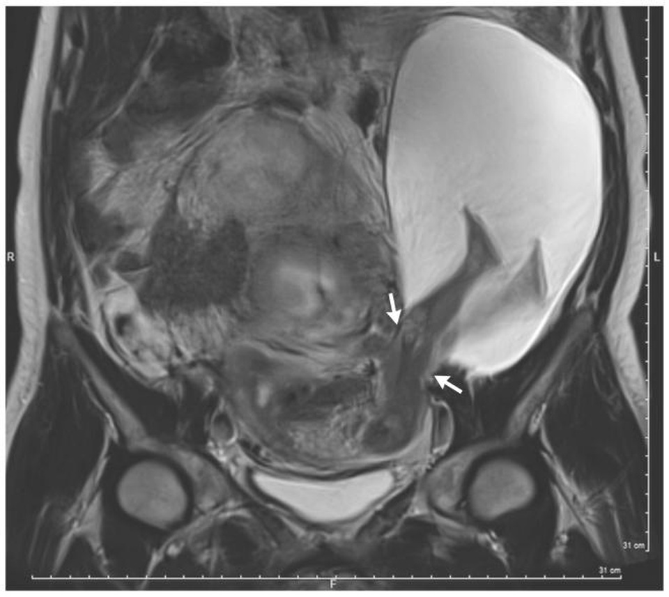
(Dân trí) - Hình ảnh siêu âm một trường hợp mang thai ở Pháp đang trở thành chủ đề nóng khi nó cho thấy chân của em bé đang thò ra khỏi thành tử cung của người mẹ.
Trường hợp này cực kỳ hy hữu đến mức đây là lần đầu tiên các bác sĩ tham gia đã nhìn thấy một hình ảnh như vậy, và mới chỉ có 26 trường hợp tương tự được ghi lại trong lịch sử y học.
Như hình ảnh siêu âm ở tuần thứ 22 của một phụ nữ mang thai 33 tuổi cho thấy, một phần của túi ối có kích thước 19x12x9 cm đã thoát qua một lỗ ở thành tử cung. Hệ quả là chân của em bé đến trên đầu gối một chút đã thò ra ngoài thành tử cung và có thể tự do đạp trong bụng người mẹ.
Những hình ảnh siêu âm tiếp theo ở tuần 30 cho thấy vết rách đã đã tăng lên và thậm chí cơ thể của em bé lúc nào lọt ra ngoài tử cung nhiều hơn. Do mức độ nghiêm trọng của tình hình, và nguy cơ cho cả em bé và người mẹ, các bác sĩ đã quyết định mổ đẻ sớm ở tuần 30. Rất may một bé trai khỏe mạnh nặng 1,4kg đã chào đời.

Sau khi sinh, thành tử cung của người mẹ và túi ối thoát vị đã được điều trị. Trong lần kiểm tra 6 tháng gần đây nhất, sức khỏe của cả người mẹ mẹ và em bé đều ổn định.
Các bác sĩ tin rằng tiền sử mổ đẻ của người mẹ đã khiến thành tử cung suy yếu, làm tăng nguy cơ rách tử cung. Tuy nhiên nguy cơ này thường chỉ hiện diện khi người mẹ đã mổ đẻ 3 hoặc 4 lần. Theo nghiên cứu, người mẹ này đã từng mổ đẻ 5 lần.
Cẩm Tú
Theo Medical Daily










