Hoảng hồn thanh kim loại 10cm cắm vào cổ bệnh nhân
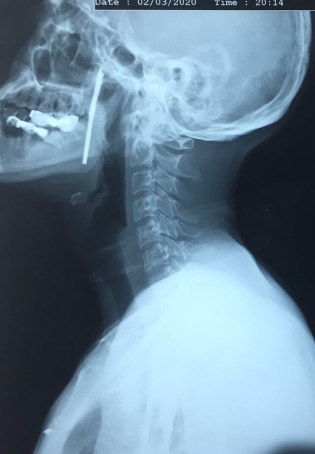
(Dân trí) - Khi được đưa tới Bệnh viện Việt Đức cấp cứu, thanh kim loại dài khoảng 10cm vẫn cắm sâu trong cổ bệnh nhân. Chẩn đoán cho thấy thanh sắt dài xiên từ hầu họng vào trong miệng bệnh nhân.
Trước đó, ngày 2/3, Bệnh viện Hữu nghị Việt Đức tiếp nhận trường hợp người bệnh L.V.T. (40 tuổi, Sơn La) bị tai nạn lao động thanh sắt bắn chính giữa vùng cổ.

Tai nạn xảy ra khi anh T. đang làm việc tại xưởng cơ khí tư nhân ở Bắc Ninh. Thanh sắt bắn vào chính giữa vùng cổ khi anh T. đang làm việc, máu chảy nhiều, bệnh nhân rất đau đớn. Sau khi được hồi sức, sơ cứu tại Bệnh viện tỉnh Bắc Ninh, anh T được chuyển thẳng đến Bệnh viện Hữu nghị Việt Đức lúc 23h cùng ngày.
TS Vũ Ngọc Tú, Trung tâm Phẫu thuật Tim mạch và Lồng ngực, Bệnh viện Hữu nghị Việt Đức cho biết, trên cơ sở phân tích kĩ càng cơ chế ngoại lực, các dấu hiệu lâm sàng thực tế và các xét nghiệm hình ảnh, người bệnh được chẩn đoán vết thương phức tạp vùng cổ, do dị vật kim loại dài, xiên từ hầu họng vào trong miệng.
"Đây là vùng có rất nhiều cơ quan hệ trọng của cơ thể như đường thở (khí quản), đường ăn (thực quản), các mạch máu nuôi não (động mạch cảnh) ... ", TS Tú cho biết.
Điều may mắn cho bệnh nhân, dù thanh sắt xuyên từ vùng hầu họng và miệng, nhưng nó chưa trực tiếp gây tổn thương các thành phần này. Tuy nhiên, việc nằm sát các cơ quan hệ trọng của cơ thể khiến các bác sĩ phải tính toán làm sao lấy dị vật ra nhưng đảm bảo tính mạng người bệnh và xa hơn nữa là giữ được chức năng cơ thể.
Bệnh nhân được đẩy vào phòng mổ cấp cứu, với sự kết hợp hết sức chặt chẽ và chuyên nghiệp của ê kíp phẫu thuật gồm các phẫu thuật viên lồng ngực - mạch máu và phẫu thuật hàm mặt, dị vật kim loại được bộc lộ hết sức rõ ràng, cách ly đảm bảo an toàn với tất cả các thành phần xung quanh, đặc biệt là các mạch máu nuôi não.
Sau quãng thời gian cân não, cuối cùng dị vật kim loại đã được lấy ra, đảm bảo an toàn tuyệt đối cho người bệnh. Đây là thanh kim loại dài hơn 10cm, rất sắc nhọn.
Sau phẫu thuật, người bệnh phục hồi nhanh chóng, không có bất kì biến chứng gì. Hiện tại bệnh nhân đã có thể nói và ăn uống được bình thường, chờ ngày xuất viện.
Tú Anh










