Hành khách người Úc ôm ngực gục xuống sân bay
(Dân trí) - Đang xuống cầu thang chuyến bay quá cảnh ở Tân Sơn Nhất, hành khác mang quốc tịch Úc bất ngờ lên cơn đau ngực dữ dội. Bệnh nhân nhanh chóng được chuyển tới cấp cứu tại Bệnh viện Quân Y 175, các bác sĩ đã nhanh chóng tận dụng “thời gian vàng” can thiệp cứu sống người bệnh.
Đó là trường hợp bệnh nhân Robert Edward Johnson (SN: 1943 quốc tịch Asustralia). Trước khi rơi vào tình trạng nguy kịch ông quá cảnh tại sân bay Tân Sơn Nhất trên đường về Úc. Sáng 15/8, sau khi chuyến bay hạ cánh, ông đang cùng người thân và hành khách trên chuyến bay bước xuống cầu thang thì bất ngờ lên cơn đau ngực dữ dội.

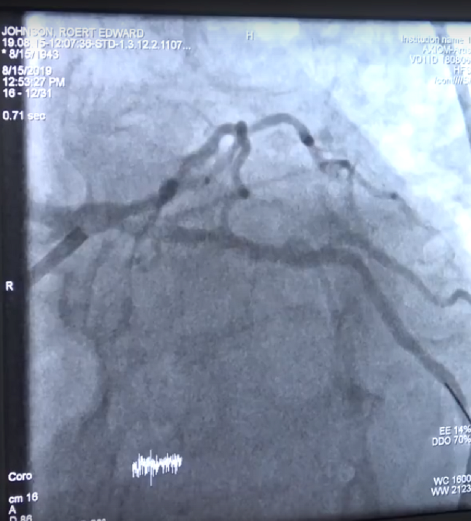
Hình ảnh chụp mạch máu xóa nền ghi nhận tình trạng của người bệnh
Sau khi được hỗ trợ y tế, sơ cứu tại sân bay, bệnh nhân nhanh chóng chuyển cấp cứu vào Bệnh viện Quân Y 175. Tại đây, các bác sĩ khẩn trương thực hiện thăm khám, chẩn đoán hình ảnh. Xác định bệnh nhân đang trọng tình trạng nguy cấp, Ban giám đốc bệnh viện đã quyết định hội chẩn liên viên.
Các bác sĩ đã thống nhất hội chẩn với chẩn đoán, nhồi máu cơ tim cấp giờ thứ 3. Hình ảnh chụp mạch máu của bệnh nhân cho thấy động mạch mũ đoạn giữa gần như bị tắc hoàn toàn (tắc 90%). BS Tạ Anh Hoàng, khoa Tim mạch, Bệnh viện Quân Y 175 cho hay: “Đây là ca bệnh nặng, nguy cơ tử vong cao, bệnh nhân có chỉ định can thiệp động mạch vành cấp cứu. Sau 45 phút khẩn trương, chúng tôi đã tiến hành nong bóng, đặt stent khôi phục dòng chảy cho bệnh nhân”.

Các bác sĩ đã thực hiện can thiệp động mạch vành cấp cứu
Sau can thiệp, bệnh nhân hết đau ngực, không rối loạn nhịp tim, sức khỏe nhanh chóng bình phục. Hiện bệnh nhân đang được tiếp tục chăm sóc, theo dõi tại bệnh viện. May mắn được các bác sĩ Quân y Việt Nam cứu sống, tỉnh lại trên giường bệnh, ông Robert Edward Johnson và người thân vui mừng và xúc động gửi lời cảm ơn đến các y bác sĩ.
Nhồi máu cơ tim cấp xảy ra khi dòng máu nuôi dưỡng cơ tim đột ngột bị cắt đứt, gây tổn thương tế bào cơ tim và xuất hiện cơn đau ngực. Đây là kết quả của sự tắc nghẽn một hay nhiều động mạch vành. Sự tắc nghẽn phát triển chủ yếu do sự tích tụ các mảng bám lâu ngày trong lòng mạch, chủ yếu từ chất béo, cholesterol và một số chất khác.

Bệnh nhân "trở về từ cõi chết" nở nụ cười hạnh phúc
Trong số các bệnh nhân bị nhồi máu cơ tim cấp tính, 70% các trường hợp tử vong là do tắc nghẽn từ các mảng xơ vữa động mạch. Một số yếu tố nguy cơ gây nhồi máu cơ tim cấp như: Hút thuốc lá, lười vận động, không vận động thường xuyên, tăng huyết áp, đái tháo đường, gút, chế độ ăn không lành mạnh, bệnh béo phì, rối loạn mỡ máu di truyền (tăng Cholesterol, Triglycerid), tiền sử gia đình có bệnh lý tim mạch.
Bác sĩ cảnh báo, nhồi máu cơ tim cấp là bệnh lý nguy hiểm có tỷ lệ tử vong hàng đầu trên thế giới. Từ trường hợp trên, bác sĩ khuyến cáo, nhồi máu cơ tim cấp thường có những triệu chứng điển hình là đau ngực, khó thở. Ngoài ra bệnh nhân có thể gặp những biểu hiện khác như tức ngực, nặng ngực, đau ở ngực và lưng, xuất hiện thoáng qua khoảng 1 phút rồi quay trở lại, bệnh nhân bị đổ mồ hôi lạnh, buồn nôn, nôn, choáng váng hay chóng mặt đột ngột, nhịp tim nhanh, khả năng gắng sức bị giảm sút...

Tuy nhiên, trên mỗi bệnh nhân khác nhau có thể chỉ xuất hiện một trong các biểu hiện trên. Người bệnh không nên chủ quan, khi phát phiện những dấu hiệu bất thường cần nhanh chóng đến bệnh viện để được bác sĩ thăm khám, điều trị kịp thời, tránh biến chứng nguy hiểm đe dọa tính mạng. Thời gian vàng để cấp cứu, điều trị cho những trường hợp bị nhồi máu cơ tim từ 3 đến 4 giờ đầu. Bệnh nhân nhập viện càng trễ, nguy cơ tử vong càng cao nếu may mắn được cứu sống thì cũng để lại những di chứng nặng nề về thần kinh, vận động, ảnh hướng xấu đến chất lượng sống.
Vân Sơn










