Giải pháp cắt cơn đau quặn bụng do sỏi túi mật
(Dân trí) - Sỏi túi mật có thể gây ra những cơn đau ám ảnh, quặn bụng dữ dội, đau xuyên ra sau lưng, thậm chí đau không thở được. Người bệnh nếu không được xử trí kịp thời, có thể dẫn đến hoại tử túi mật, viêm phúc mạc, đe dọa tính mạng.
Ám ảnh những cơn đau dữ dội do sỏi túi mật
"Tôi đau đến mức không thở nổi, không thể đứng dậy, không nói chuyện được. Cứ 15 phút lại nôn một lần, nôn ra cả mật xanh, mật vàng, rất khó chịu", bệnh nhân N.T.M, 40 tuổi, mô tả lại cơn đau khi phải cấp cứu tại BVĐK Hồng Ngọc vì viêm túi mật cấp do sỏi túi mật.
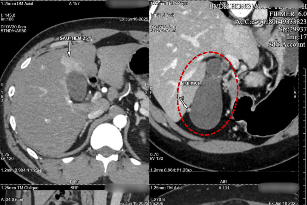
Thăm khám cho thấy bệnh nhân M có túi mật căng to bất thường, đường kính ngang tới 42mm, có hiện tượng thâm nhiễm; bên trong chứa nhiều sỏi, kích thước tới 8.5mm. Bệnh nhân M được chỉ định phẫu thuật cấp cứu ngay sau khi nhập viện.

Túi mật giãn tới 42mm do sỏi (Ảnh: BVCC).
Tương tự, bệnh nhân C.T.V.H cũng đến BVĐK Hồng Ngọc trong tình trạng đau quặn bụng do viêm túi mật cấp. "Cơn đau đến rất nhanh và dữ dội, chỉ trong 2 phút là tôi không thể đi nổi, không thể đứng thẳng", chị H nhớ lại.
Kết quả thăm khám của bệnh nhân C.T.V.H cũng cho thấy túi mật căng to, chứa nhiều sỏi, trong đó 1 viên sỏi đã rơi từ túi mật vào ống mật chủ gây tắc nghẽn, dẫn đến tình trạng nhiễm trùng đường mật do sỏi ống mật chủ và sỏi túi mật. Đây là một trong những biến chứng hay gặp của túi mật khi không được điều trị.
Theo TS.BS Đỗ Tuấn Anh, chuyên gia ngoại khoa gan - mật - tụy trên 40 năm kinh nghiệm, BVĐK Hồng Ngọc - Phúc Trường Minh, nguyên nhân của những cơn đau dữ dội này là do sỏi túi mật di chuyển và mắc kẹt tại cổ túi mật, gây ra tình trạng tắc nghẽn đường mật.
"Quá trình co bóp tổng xuất mật bị cản trở, làm áp lực trong túi mật tăng cao, gây ra các cơn đau đặc trưng. Trong cơn đau, sỏi túi mật di chuyển vào ống mật chủ. Bên cạnh đó, sự cọ xát liên tục của sỏi vào niêm mạc túi mật có thể gây tổn thương, phù nề và kích hoạt phản ứng viêm, khiến cơn đau trở nên dữ dội hơn. Tình trạng này dẫn đến nhiều biến chứng nguy hiểm", TS.BS Đỗ Tuấn Anh phân tích.

TS.BS Đỗ Tuấn Anh thăm khám cho người bệnh (Ảnh: BVCC).
“Hóa giải” nỗi ám ảnh cơn đau do sỏi túi mật: Can thiệp sớm - ngăn ngừa biến chứng nguy hiểm
Theo TS.BS Đỗ Tuấn Anh, với những trường hợp như bệnh nhân M và H, sau khi được xác định nguyên nhân đau bụng do sỏi túi mật, các bác sĩ sẽ chỉ định phẫu thuật nội soi cắt túi mật. Đây là phương pháp hiện đại, ít xâm lấn, giúp loại bỏ triệt để túi mật bị viêm do sỏi và ngăn ngừa nguy cơ tái phát trong tương lai.
“Chỉ cần 3 đường rạch nhỏ chưa đến 1cm, bác sĩ có thể loại bỏ toàn bộ túi mật tổn thương và lấy sạch sỏi, giúp bệnh nhân thoát khỏi những cơn đau dai dẳng. Khoảng 2-3 tuần sau khi cắt túi mật, cơ thể sẽ tự điều chỉnh, người bệnh có thể ăn uống, sinh hoạt bình thường”, TS.BS Đỗ Tuấn Anh chia sẻ.

TS.BS Đỗ Tuấn Anh thực hiện phẫu thuật nội soi cắt túi mật (Ảnh: BVCC).
Đơn cử, bệnh nhân N.T.M đã hồi phục đáng kể, không còn đau đớn trong vòng 24 giờ sau ca phẫu thuật cắt túi mật. “Lúc cấp cứu tôi đau tưởng như không chịu nổi, nhưng phẫu thuật xong là thấy người nhẹ bẫng. Sau mổ khoảng 8 tiếng là tôi đã đi lại, trò chuyện, sinh hoạt gần như bình thường”, anh M chia sẻ.
Tuy nhiên, theo TS.BS Đỗ Tuấn Anh, nhiều người mắc sỏi túi mật thường đến viện trong tình trạng bệnh đã nghiêm trọng. Nguyên nhân là do sỏi túi mật ít gây triệu chứng, khi các cơn đau ban đầu xuất hiện, người bệnh thường tự điều trị bằng thuốc giảm đau tại nhà và chủ quan khi thấy cơn đau thuyên giảm. Chỉ đến khi cơn đau kéo dài, không chịu đựng nổi, kèm theo nhiều dấu hiệu như sốt cao, nôn, vàng da, vàng mắt… người bệnh mới thăm khám tại bệnh viện.
"Khi sỏi túi mật gây đau, đó là triệu chứng của viêm túi mật cấp. Nếu không được can thiệp kịp thời, tình trạng này có thể tiến triển thành hoại tử thành túi mật. Nặng hơn, khi túi mật hoại tử, dịch mủ trong lòng túi mật sẽ thoát ra ngoài, gây ra tình trạng viêm phúc mạc - biến chứng nhiễm trùng nguy hiểm, diễn biến nặng nề, tỷ lệ tử vong cao, nhất là người cao tuổi có bệnh lý nền kèm theo", TS.BS Tuấn Anh phân tích thêm.
Vì vậy, bác sĩ khuyến cáo, người mắc sỏi túi mật cần chủ động theo dõi sức khỏe, thăm khám định kỳ và tuân thủ theo chỉ định của bác sĩ. Nếu sỏi túi mật chưa gây triệu chứng, người bệnh có thể chung sống hòa bình và theo dõi định kỳ. Nhưng một khi đã xuất hiện cơn đau, cần đến cơ sở y tế ngay để được đánh giá và có phương án can thiệp kịp thời, tránh những biến chứng nguy hiểm.
An tâm khám và điều trị bệnh lý gan - mật - tụy với TTƯT.TS.BS Đỗ Tuấn Anh:
- Chứng chỉ Ngoại khoa Tiêu hóa và Phẫu thuật nội soi - Cộng hòa Pháp.
- Nguyên trưởng khoa Phẫu thuật Gan Mật - BV Việt Đức.
- Phó khoa Y - Đại học Y dược, Đại học Quốc gia Hà Nội.
- Ban chấp hành Hội Ngoại khoa và Phẫu Thuật Nội soi Việt Nam.
- Trên 40 năm kinh nghiệm, làm chủ các kỹ thuật phẫu thuật tiêu hóa hiện đại, hiệu quả cao, xâm lấn tối thiểu.
Lịch khám: thứ 2, 4, 6 hằng tuần - BVĐK Hồng Ngọc - Phúc Trường Minh
Hotline đặt lịch: 0949 646 556










