Đinh ghim găm vào phế quản bé trai 6 tuổi
(Dân trí) - Chiều 3/5, BS.Ths Trần Văn Học, trưởng phòng Kế hoạch tổng hợp (BV Nhi TƯ cho biết), bệnh viện vừa nội soi lấy đinh ghim nằm sâu trong phế quản một bệnh nhi.

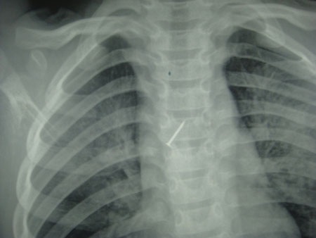
Chiếc đinh ghim trong phế quản bệnh nhi. Ảnh: BS cung cấp
Bệnh nhi này là cháu Đô Văn Trọng (6 tuổi, thôn Bảo Thái, xã Tân Hưng, TP Hải Dương). Chị Mạc Thị Ngoan, mẹ bệnh nhi cho biết, chiều 25/4, do bất cẩn, bé Trọng nuốt phải một cây đinh ghim rất to. Ngay khi tai nạn, bé Trọng bị ho sặc sụa, khạc ra máu, nôn nhiều, khó thở nên gia đình đã đưa bé đi cấp cứu tại BV Hải Dương. Tại đây, xác định dị vật nguy hiểm, bé được sơ cứu và chuyển thẳng lên bệnh viện nhi TƯ.
Được chuyển đến bệnh viện Nhi T.Ư ngay trong đêm 25/4, bé được chỉ định chụp X – quang và xác định có dị vật ghim nằm sâu trong phế quản, đầu nhọn hướng về phía tim. Ngay lập tức, nhóm nội soi phế quản do Bs Lê Thanh Chương làm trưởng nhóm đã triển khai nội soi lấy dị vật cho cháu. Dị vật là một đinh ghim bằng sắt dài 2cm được lấy ra và tình trạng sức khỏe đã ổn định và đã được xuất viện.
Tú Anh










