Đinh ghim sắt chui tọt vào phế quản bé gái 12 tuổiTrong lúc đang chơi đùa với em ở nhà, bé gái 12 tuổi (Sơn La) nhặt được chiếc đinh ghim sắt vốn dùng để ghim giấy, liền cầm nghịch chơi. Trong lúc ngậm ở miệng sơ ý cô bé đã nuốt phải chiếc ghim này.
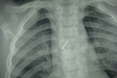
Đinh ghim găm vào phế quản bé trai 6 tuổiChiều 3/5, BS.Ths Trần Văn Học, trưởng phòng Kế hoạch tổng hợp (BV Nhi TƯ cho biết), bệnh viện vừa nội soi lấy đinh ghim nằm sâu trong phế quản một bệnh nhi.
Sững sờ trước tuyệt phẩm tranh từ 450.000 chiếc đinh ghimHọa sĩ Baptiste Debombourg người Pháp, đã có cách sáng tạo nghệ thuật cực kỳ độc đáo. Ông đã tạo ra một bức tranh nghệ thuật đẹp mắt được khảm từ 450.000 chiếc đinh ghim.
00:38Tạo hình tuyệt đẹp từ những mảnh đinh ghim giấyKhi bạn quá rảnh rỗi và một đôi tay tài hoa, bạn có thể tạo ra được những tác phẩm nghệ thuật đẹp mắt từ những thứ hết sức bình thường.
Đồ chơi tình dục "đau" nhất mọi thời đạiTác phẩm đồ chơi tình dục gắn chi chít đinh ghim có lẽ là món đồ chơi gây đau nhất, được tạo ra bởi nghệ sĩ Paul Chisholm sau khi anh bị chẩn đoán nhiễm HIV.
Trở thành tỉ phú nhờ cái “bình sứt”Một chiếc bình hoa cũ kỹ sứt mẻ, rạn nứt ở phần miệng được chủ nhân vụng về dùng đinh ghim sửa chữa bất ngờ mang lại một “núi tiền” cho người sở hữu.
Hoa hậu Philippines phủ nhận tin đồn “chơi xấu” Hoa hậu ÚcÁ hậu 4 cuộc thi HHHV 2010, HH Philippines Maria Venus Raj đã phủ nhận tin đồn cô là người bỏ đinh ghim vào bộ trang phục dân tộc của Á hậu 2, HH Úc Jesinta Campbell.
Á hậu Hoàn vũ kể chuyện bị “chơi xấu”Á hậu 2 cuộc thi HHHV 2010 Jesinta Campbell vừa tiết lộ rằng trong thời gian tham dự cuộc thi này cô đã bị một thí sinh nào đó “chơi xấu” bằng việc bỏ hàng đống đinh ghim vào bộ trang phục dân tộc của cô.
Những chiếc áo khoác Burberry siêu đẹpBạn đã chọn được cho mình chiếc áo khoác nào cho mùa thu đông năm nay? Nếu chưa thì hãy "liếc" qua BST áo khoác Burberry nhé. Những chiếc áo kiểu dáng "truyền thống" nhưng cách điệu hơn nhờ các họa tiết da, lông thú, đinh ghim, kim sa... cho vẻ đẹp ấn tượng.
11 triệu bảng cho bộ sưu tập bé hơn lỗ kimNàng Bạch Tuyết và 7 chú lùn có xếp thành hàng dài cũng không choán hết không gian trong lỗ kim bé xíu, còn tuyệt tác mô phỏng bức tượng “Người Suy tư” nhỏ đúng bằng đầu đinh ghim... Vậy mà đã có người sẵn sàng trả 1,2 triệu bảng Anh cho bộ sưu tập siêu tí hon này.
Bí mật đinh sắt chục triệu trong củ sâm Ngọc Linh nặng hơn 1kgDù bán 1kg sâm Ngọc Linh dân buôn có thể lãi đến cả chục triệu đồng, song, nhiều người vẫn dùng chiêu độn rêu, ghim đinh vào trong củ sâm nhằm làm tăng trọng lượng, thu thêm từ 10-40 triệu đồng nữa nhờ chênh lệch trọng lượng.
Bé 3 tuổi bị ghim 9 cây đinh trong đầu: Phẫn nộ và rụng rời xót xa!Cộng đồng lại dậy sóng khi mới đây một em bé 3 tuổi nhập viện trong tình trạng nguy kịch, qua chụp chiếu kiểm tra nghi rằng bé bị ghim 9 cây đinh vào đầu, vết thương bên ngoài đã liền da.