Cứu sống bệnh nhân bị đinh ba đâm xuyên ngực
(Dân trí) - Ngày 18/8, bệnh nhân T.Đ.M (43 tuổi ở Nam Định) được chuyển tới BV Việt Đức trong tình trạng bị một cây đinh ba đã đâm lọt vào khoang ngực, nhưng bệnh nhân đã may mắn thoát chết.


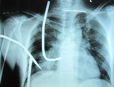
“Trong ngực bệnh nhân chảy rất nhiều máu, bị rách thủng phổi phải. 3 cây đinh ngập trong khoang ngực là 6cm. Với những tổn thương ở ngực như thế, nếu không cấp cứu kịp thời hay đường đi của thanh sắt quá hiểm thì bệnh nhân có thể tử vong bất kỳ lúc nào”, BS Lư nói.
Vợ bệnh nhân cho biết, do mẫu thuẫn cá nhân anh M bị người khác dùng đinh ba tấn công và đâm trực diện vào ngực. Theo các bác sĩ, đây là một tai nạn hy hữu và rất may bệnh nhân còn sống đến viện. Thông thường nếu người đâm hoặc người nhà bệnh nhân rút ba thanh sắt này ra thì nguy cơ bệnh nhân sẽ tử vong ngay tại chỗ. Còn hiện tại, sức khỏe của bệnh nhân đã tạm thời ổn định, đang được theo dõi và điều trị tiếp.
BS Lư khuyến cáo, nếu không may gặp những tai nạn như dao hay vật nhọn, thanh sắt… đâm xuyên vùng ngực, vai hay ở các vùng khác của cơ thể, nguyên tắc cấp cứu là phải giữ cố định rồi chuyển thẳng người bệnh tới viện, không tùy tiện rút ra để phòng ngừa nguy cơ sốc, mất máu do chảy máu ồ ạt.
Hồng Hải










