Chẻ xương ức, bóc khối u “hiếm” chiếm trọn lồng ngực
(Dân trí) - Bị khối u nặng 4,5kg đè xẹp phổi, xô lệch tim nhưng người phụ nữ 41 tuổi vẫn mang thai và vượt cạn thành công. Các bác sĩ phải chẻ xương ức, mở lồng ngực mới bóc được khối u ra ngoài, đây là trường hợp rất hiếm gặp trong y văn.
Bệnh nhân vừa được các bác sĩ tại bệnh viện Chợ Rẫy thực hiện thành công ca phẫu thuật là chị N.T.P. (41 tuổi, ngụ tại Vĩnh Long). Qua khai thác bệnh sử ghi nhận, đầu năm 2013 chị P. mang thai, chị nhiều lần đi khám thai định kỳ nhưng các bác sĩ chỉ tập trung siêu âm, tầm soát thai nhi nên không phát hiện khối u trên lồng ngực của thai phụ.
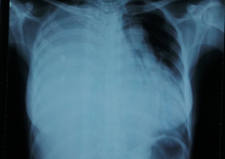
Sau lần vượt cạn thành công vào tháng 10/2013, sức khỏe của chị P. xuống dốc trông thấy. Chị thường xuyên có biểu hiện tức ngực, khó thở, phát âm không rõ tiếng… nên đến bệnh viện Chợ Rẫy kiểm tra, qua thăm khám lâm sàng và chẩn đoán hình ảnh bác sĩ “ngỡ ngàng” phát hiện khối u lớn chiếm trọn lồng ngực bệnh nhân, đè xẹp phổi phải, chèn ép và xô lệch tim.
“Từ trước đến nay, đây là trường hợp đầu tiên mang khối u quá lớn trong lồng ngực chúng tôi gặp phải. Nếu không được can thiệp, bệnh nhân đứng trước nguy cơ tử vong, nhưng thực hiện phẫu thuật người bệnh cũng sẽ đối mặt với nhiều nguy hiểm đe dọa tính mạng ngay trên bàn mổ bởi khối u lớn có hệ thống mạch máu nuôi dưỡng chằng chịt, bệnh nhân có nguy cơ vỡ tim, vỡ mạch máu…”, BS Vũ Hữu Vĩnh, Trưởng khoa Ngoại lồng ngực, bệnh viện Chợ Rẫy cho biết.
Bệnh nhân P. bình phục tốt sau phẫu thuật
Sau hơn một tháng chuẩn bị, cùng với sự quyết tâm của người bệnh, ngay 17/4 bệnh viện Chợ Rẫy quyết định thực hiện cuộc phẫu thuật cho bệnh nhân. Các bác sĩ đã phải chẻ xương ức, mở lồng ngực để bóc trọn khối u. “Quá trình lấy khối u ra ngoài gặp rất nhiều khó khăn do cục u rắn chắc lại dính vào cơ hoành, màng tim, các mạch máu chính trong lồng ngực và thành ngực, đè bẹp cấu trúc khác trong lồng ngực. Phải cần đến 4 bác sĩ vừa “nạy” vừa “kéo” chúng tôi mới bóc được khối u có trọng lượng lên tới 4,5kg, kích thước 30 x 75 x 25cm ra ngoài”, BS Vĩnh cho biết.
Một tuần sau phẫu thuật, tình trạng sức khỏe của bệnh nhân nhanh chóng bình phục, chị P. đã có thể đi lại, ăn uống và chuẩn bị xuất viện về với gia đình.
Vân Sơn










