Đau vùng cơ hoành có nguy hiểm không?Cơ hoành, hay cơ hoành ngực, là một mảng cơ hình vòm, phân chia lồng ngực với ổ bụng. Đây là cơ chính mà cơ thể sử dụng khi thở.
Bài tập thở cơ hoành cho bệnh nhân ung thư phổiPhương pháp tập thở cơ hoành là phương pháp giúp phục hồi chức năng hô hấp ở người bệnh ung thư phổi.
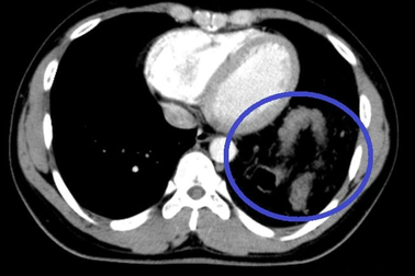
Hy hữu: Vỡ cơ hoành, đại tràng chui lên ngực vẫn tưởng hậu Covid-19Nam bệnh nhân 25 tuổi có tiền sử khỏe mạnh, vào viện khám vì nghĩ ho, khó thở hậu Covid-19. Tuy nhiên, nguyên nhân thực sự gây tình trạng này lại do bệnh nhân vỡ cơ hoành, tạng từ bụng chui lên ngực.
Suy hô hấp vì… nhão cơ hoànhBé T.T.Y.N, 12 tháng tuổi, ngụ ở Vũng Tàu, bị suy hô hấp, vừa được các bác sĩ Bệnh viện Nhi Đồng 1 (BVNĐ 1) kịp thời chẩn đoán và phẫu thuật chứng “nhão cơ hoành”.
Thai phụ thủng cơ hoành vì chữa bệnh bằng… đấm, đáMới đây, các bác sĩ ở Bệnh viện Phụ sản Từ Dũ (TPHCM) và Bệnh viện Chợ Rẫy đã phối hợp cứu sống một thai phụ bị thủng cơ hoành hy hữu do kiểu chữa bệnh kỳ lạ.
Phẫu thuật thành công ca thoát vị cơ hoành hiếm gặpBệnh viện nhi đồng Đồng Nai vừa tiến hành phẫu thuật, cứu sống một cháu bé 6 tuổi bị thoát vị cơ hoành bẩm sinh hiếm gặp.
Trẻ sơ sinh ở Nghệ An tử vong là do thoát vị cơ hoành bẩm sinhLiên quan đến cái chết của trẻ sơ sinh tại Bệnh viện Hữu nghị Đa khoa Nghệ An, đại diện Sở Y tế tỉnh này cho biết, kết luận ban đầu về nguyên nhân tử vong của trẻ là do bị thoát vị cơ hoành bẩm sinh.
Choáng váng trước những dinh cơ hoành tráng của BrangelinaBrad Pitt và Angelina Jolie cùng sở hữu tới 400 triệu USD với khá nhiều biệt thự sang trọng, đắt tiền trên khắp thế giới. Khi cặp tình nhân “vàng” của Hollywood ly dị, việc chia khối tài sản này cũng là điều khiến dư luận quan tâm.
Choáng với dinh cơ hoành tráng của Diệp Bảo Ngọc trong ngày TếtDiệp Bảo Ngọc "chơi lớn" dành 2 ngày để trang trí không gian Tết cho gia đình nhỏ như một studio riêng. Diệp Bảo Ngọc đã cùng mẹ lái xế hộp đến khu bán đồ trang trí, chở cả không gian Tết cầu kì về nhà.
Chiêm ngưỡng biệt thự triệu đô, dinh cơ hoành tráng sao Việt tậu trong năm quaBiệt thự triệu đô la Mỹ bên bến thuyền sang trọng của Cao Thái Sơn, biệt thự hoành tráng Quang Dũng mua tặng con trai tại Mỹ hay dinh cơ lộng lẫy như cung điện của vợ chồng Lan Khuê, cơ ngơi rộng rãi của “Em gái mưa” Hương Tràm… là những thành quả đáng ngưỡng mộ của sao Việt trong năm 2018.
Sân golf “kín” trong sân bay và dinh cơ hoành tráng của Giám đốc SởHé lộ hình ảnh sân golf VIP nằm trong sân bay Tân Sơn Nhất; "cơn mưa vàng" sau chuỗi ngày nắng nóng kỷ lục ở Thủ đô; dinh cơ khủng của gia đình ông Phạm Sỹ Quý - Giám đốc Sở TNMT tỉnh Yên Bái... là những hình ảnh được bạn đọc quan tâm tuần qua.
Cuộc sống với biệt thự đồ sộ, dinh cơ hoành tráng của Lan Khuê và ông xã đại giaDinh cơ mới của hai vợ chồng Lan Khuê là một căn biệt thự màu trắng, hoành tráng, có hướng nhìn ra sông, không khác gì khu nghỉ dưỡng sang trọng. Sau khi kết hôn, Top 11 Hoa hậu Thế giới 2015 đang tận hưởng cuộc sống nhung lụa mà "ngày nào cũng như event".