Cảnh báo tai nạn uống thuốc còn nguyên vỉ ở người già
(Dân trí) - Liên tiếp 2 trường hợp bệnh nhân cao tuổi vừa nhập viện trong tình trạng nguy kịch vì uống thuốc còn nguyên vỉ. Bác sĩ cảnh báo đây là tai nạn rất nguy hiểm, cộng đồng cần quan tâm để tránh tai nạn tương tự có thể xảy ra với chính người thân của mình.
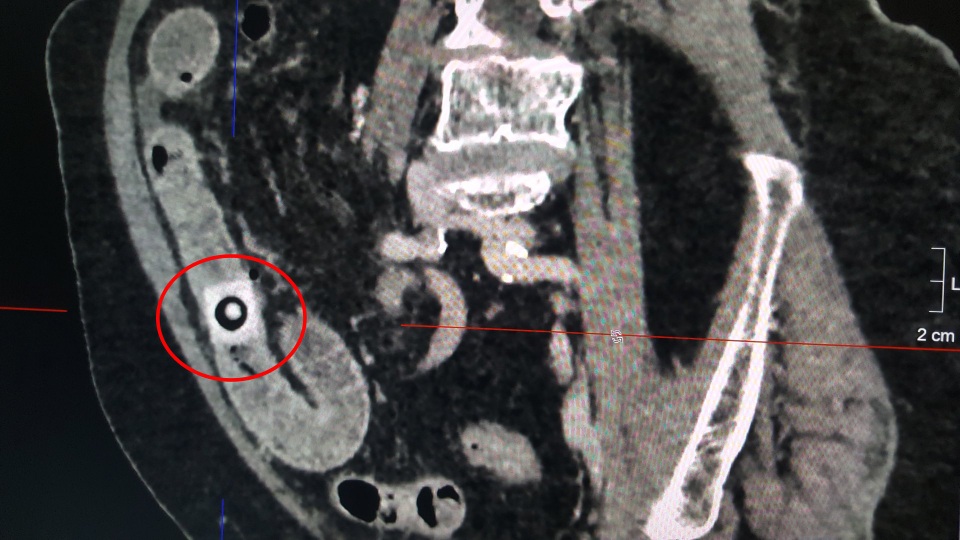
Trường hợp thứ nhất là cụ P.T.V. (91 tuổi, ngụ tại Hóc Môn, TPHCM) vừa được tiếp nhận, can thiệp tại Bệnh viện Xuyên Á. Ngày 19/1, thông tin từ bệnh viện cho biết, cụ bà được người nhà đưa đến bệnh viện trong tình trạng đau bụng dữ dội. Khai thác bệnh sử của bác sĩ từ người bệnh được biết, trước đó cụ bị ho nên tự lấy thuốc uống. Tuy nhiên, trong lúc uống thuốc, do sơ ý nên cụ bỏ sót 1 viên thuốc chưa bóc vỉ. Sau 3 ngày, cụ thấy bụng đau âm ỉ, diễn tiến ngày càng nặng.

Dị vật là viên thuốc can quang, đâm thủng ruột non của bệnh nhân
Qua thăm khám và kết quả chụp CT các bác sĩ chẩn đoán cụ bà bị viêm phúc mạc khu trú, thủng ruột non do viên thuốc còn nguyên vỏ. Ngay sau đó, người bệnh được chỉ định mổ cấp cứu lấy dị vật. Trong lúc mổ, ê kíp tiến hành mở ruột non ngang qua lỗ thủng, lấy viên thuốc còn nguyên vỏ ra ngoài. Vị trí ruột non bị đâm thủng của người bệnh được bác sĩ khâu lại, đồng thời hút rửa sạch ổ bụng, điều trị kháng sinh tích cực chống nhiễm trùng.
BS-CKII Vũ Ngọc Lâm, Trưởng khoa Ngoại Tổng quát, người trực tiếp thực hiện ca mổ cho biết: “Khi nuốt phải mảnh vỏ thuốc, dị vật có thể mắc ở bất kỳ vị trí nào trên ống tiêu hóa (từ thực quản đến hậu môn) gây nên những biến chứng vô cùng nguy hiểm. Nếu mảnh vỏ thuốc chỉ mắc ở vùng họng – thanh quản các bác sĩ sẽ tiến hành nội soi gắp ra.
Trong trường hợp, mảnh vỏ thuốc đi xuống đâm thủng dạ dày, ruột non, ruột già sẽ gây biến chứng viêm phúc mạc khu trú hoặc toàn thể. Biến chứng thủng ruột rất nguy hiểm cần phải phẫu thuật sớm, nếu không được chẩn đoán, xử lý cấp cứu kịp thời có thể nguy hiểm đến tính mạng.

Một trường hợp khác cũng rơi vào nguy kịch vì sặc viên thuốc còn nguyên vỏ vào phổi cũng vừa được phát hiện, xử lý tại Bệnh viện Thống Nhất, TPHCM. BS Ngô Thế Hoàng, Trưởng Khoa Hô hấp cho biết, bệnh nhân là cụ ông L.V.T. (82 tuổi, quê Long An) trước đó đã điều trị bệnh viêm phổi tại một bệnh viện khác. Tuy nhiên, sau xuất viện, tình trạng bệnh tái diễn với những cơn ho, khó thở nặng nên gia đình đưa đến Bệnh viện Thống Nhất.
Sau khi thăm khám, bác sĩ ghi nhận ông có dấu hiệu khó thở do nhiễm trùng. Thăm khám phổi thì phát hiện thấy có bất thường ở phổi nên bác sĩ tiến hành chụp X-quang, CT ngực, kết quả phát hiện dị vật ở 2 vị trí phổi bên phải. Bằng phương pháp nội soi ống mềm, các bác sĩ đã lần lượt lấy ra một viên thuốc còn nguyên vỏ bọc có kích thước 1,5x1,5cm và đầu cây tăm tre kích thước 10mm nằm sâu ở thùy dưới bên phải.

Sau khi lấy dị vật, sức khỏe của bệnh nhân đang bình phục tốt. Theo phân tích của BS Thế Hoàng, đây là trường hợp bị dị vật đường hô hấp rất nguy hiểm bệnh nhân đối mặt với nguy cơ bị xẹp phổi, thậm chí là áp xe phổi, vỡ màng phổi, màng tim, nhiễm khuẩn huyết nguy hiểm đến tính mạng.
Từ trường hợp trên, bác sĩ khuyến cáo những người già và trẻ em cần thận trọng khi sử dụng thuốc. Người thân trong gia đình không nên để người già và trẻ em tự uống thuốc. Với người già, trí lực đã không còn minh mẫn nên dễ bỏ sót những viên thuốc chưa bóc vỏ còn trẻ em thì chưa ý thức được thao tác phải bóc vỏ trước khi uống thuốc, dễ dẫn đến những nguy hiểm khôn lường.
Vân Sơn

 Fica
 Fica









