Bé 8 tuổi mất chỏm quay tay vì nhờ thầy lang bó thuốc
(Dân trí) - Con bị té gãy tay nhưng thay vì tới bệnh viện điều trị, phụ huynh lại đưa đến nhờ thầy lang bó thuốc. Sau 3 tháng, tay của trẻ chẳng những không thể co duỗi mà còn đau nhức dữ dội.
Đó là trường hợp của bé T.H. (8 tuổi, ngụ tại quận 8, TPHCM). Khoảng 3 tháng trước, trong lúc chơi đùa với các bạn ở trường, cháu bị té khiến cánh tay trái đau nhức, sưng. Thấy con không bị xây xát mà chỉ bị đau, phụ huynh đưa đến nhờ thầy lang kiểm tra, sau đó được bó thuốc.

Tuy nhiên, sau 3 tháng kể từ ngày bó thuốc, tình trạng đau ở trẻ không thuyên giảm, Mặt khác, sau khi gỡ lớp thuốc được bó, cánh tay của bệnh nhi bị cứng khớp, đau nhiều khi cố gắng cử động. Lúc này, gia đình mới đưa bé đến Bệnh viện Xuyên Á kiểm tra.
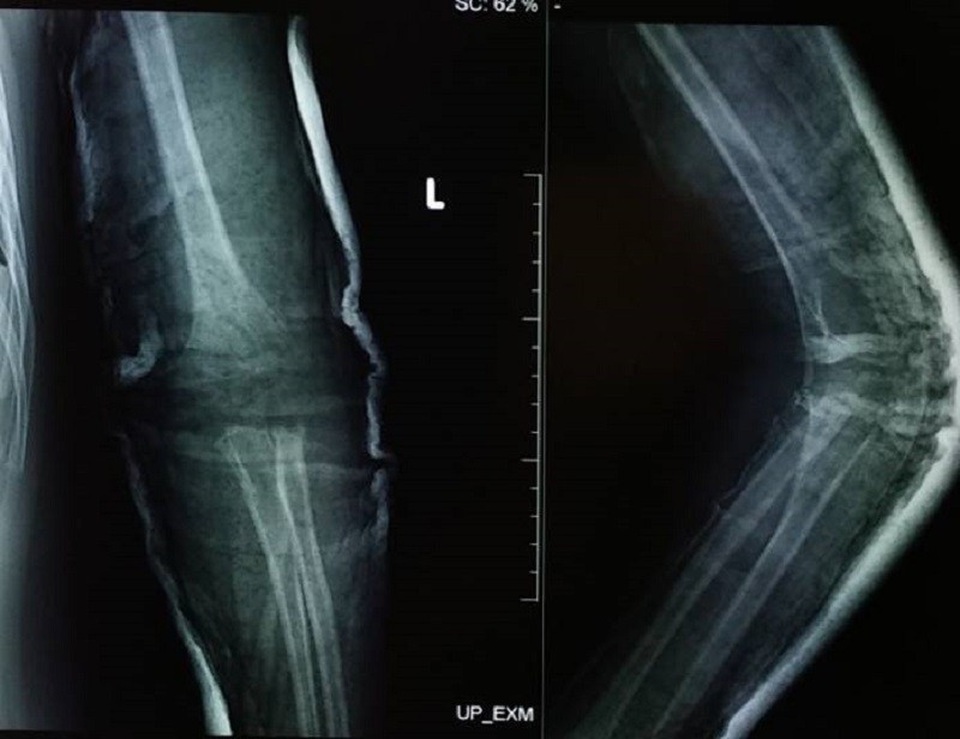
Ngày 15/4, thông tin từ bệnh viện cho hay, qua thăm khám, chẩn đoán hình ảnh xác định, bệnh nhi bị gãy chỏm quay khuỷu tay trái. Tuy nhiên, do không được điều trị kịp thời nên chỏm quay bị hoại tử và dính chặt bằng mô xơ, gây biến chứng giới hạn cử động khớp.
Các bác sĩ đã phải thực hiện cuộc phẫu thuật cắt bỏ chỏm quay, giải phóng khớp khuỷu tay bằng phương pháp cơ học. Sau phẫu thuật, cánh tay bệnh nhi đã cử động tốt, cháu đang được tập vật lý trị liệu để phục hồi vận động.

BS Nguyễn Văn Tiếp, nguyên Trưởng khoa Chấn thương Chỉnh hình Nhi, Bệnh viện Chấn thương Chỉnh hình, cho hay: “Tình trạng gãy xương ở vùng khớp cần phải được điều trị sớm nếu không sẽ gặp biến chứng cứng khớp. Những bệnh nhi không may phải mổ lấy bỏ chỏm quay khi đến tuổi trưởng thành khuỷu tay có thể yếu, lỏng lẻo, nguy cơ thoái hóa khớp”.
Qua trường hợp trên, bác sĩ khuyến cáo: “Khi chẳng may trẻ bị chấn thương, phụ huynh cần đưa bé đến bệnh viện có chuyên khoa Chấn thương Chỉnh hình nhi để được bác sĩ chẩn đoán, can thiệp kịp thời”.
“Ở trẻ nhỏ xương đang trong giai đoạn phát triển, việc chẩn đoán trẻ bị tổn thương phần mềm hay gãy xương đôi khi hình ảnh X-quang cũng khó phân biệt. Do đó, thay vì vội đưa con đi bó thuốc bằng các phương pháp của thầy lang, phụ huynh nên cân nhắc chọn giải pháp an toàn nhất, tránh nguy hiểm có thể xảy đến với trẻ”.
Vân Sơn










