Say "quắc cần câu", thanh niên 26 tuổi nuốt nhầm chìa khóa nhà
(Dân trí) - Một chàng trai Trung Quốc nhập viện trong tình trạng đau ngực dữ dội và rồi bị sốc khi biết rằng sự khó chịu đó là do nuốt nhầm chìa khóa nhà vào đêm say rượu cùng bạn bè hôm trước.

Vào ngày 7/6 vừa rồi, một thanh niên 26 tuổi có tên Chang, đến từ tỉnh Quảng Đông, Trung Quốc đã đi nhậu cùng bạn bè để ăn mừng kết thúc một tuần làm việc dài. Đến khi về nhà vào lúc nửa đêm, anh ta tìm chìa khóa để mở cửa nhưng không tài nào tìm thấy.
Thanh niên đã nhờ người ra mở cửa hộ. Về phần chiếc chìa khóa bị mất, vì khá say nên Chang tạm gác lại và đi thẳng về giường ngủ.
Sáng hôm sau, khi tác dụng gây tê của rượu bắt đầu biết mất, Chang cảm thấy đau nhói ở ngực. Vì vậy, anh đã đến bệnh viện Đông Hoản để kiểm tra.
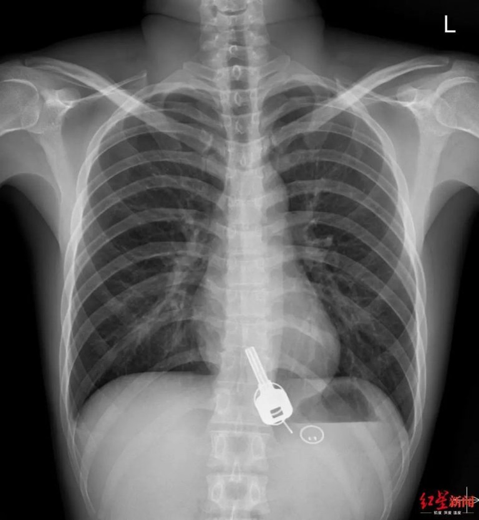
Khi các bác sĩ thực hiện chụp X-quang, họ đã thực sự bị sốc khi thấy một thứ trông giống như chìa khóa đang nằm trong thực quản của Chang. Họ hỏi về điều đó và thanh niên 26 tuổi thừa nhận đã đánh mất chìa khóa vào đêm hôm trước nhưng không thể đưa ra bất cứ lời giải thích nào về hành động nuốt chìa khóa của mình. Theo trang tin tức Sohu, Chang cũng bất ngờ không kém các bác sĩ khi nhìn thấy ảnh chụp X-quang.

Các bác sĩ tại bệnh viện Đông Hoản đã phân tích tình hình và quyết định để chìa khóa đi ra ngoài theo đường tiêu hóa và được loại bỏ theo cách tự nhiên là hết sức rủi ro, vì vật cứng như vậy có thể làm rách ruột hoặc gây tắc nghẽn ruột, đe dọa nguy hiểm tới tính mạng. Đồng thời, cố gắng kéo chìa khóa ra bằng thiết bị nội soi có thể làm vỡ thực quản của Chang. Lựa chọn thứ ba là phẫu thuật khẩn cấp.
Bác sĩ Zhang Yuyu nói với các phóng viên rằng lần đầu tiên, mọi người thử tháo chìa khóa bằng máy nội soi dạ dày nhưng họ gặp rắc rối khi cố gắng kéo chìa khóa qua phần hẹp nhất của thực quản trong cuống họng Chang. Chìa khóa quá lớn và kéo quá mạnh có thể làm rách thực quản, điều này sẽ gây ra hậu quả không thể tưởng tượng được.
Vì vậy, họ hủy bỏ phương pháp nội soi và xem xét lại các lựa chọn của mình. Mọi chuyện càng tồi tệ hơn khi hầu hết các nhân viên bệnh viện đã nghỉ làm trong ngày nghỉ lễ quốc gia. May mắn là một bác sĩ gây mê và phó giám đốc bệnh viện kiêm bác sĩ khoa Tiêu hóa đã hủy bỏ kế hoạch của họ để đến giúp đỡ cho trường hợp khẩn cấp.
Sau khi bác sĩ gây mê cho Chang sử dụng một loại thuốc giúp giãn cơ, bác sĩ tiêu hóa đã có thể rút chìa chìa khóa kim loại và tấm thẻ gắn kèm bằng nhựa ra khỏi thực quản chàng trai. Dù mọi chuyện đã kết thúc nhưng làm thế nào Chang có thể nuốt chìa khóa của mình vẫn còn là một điều bí ẩn vì anh hầu như không nhớ bất cứ điều gì sau đêm say rượu.
Trà Xanh
Theo OD