Sán dây sống trong não suốt 4 năm mà không hay biết
(Dân trí) - Một sán dây ký sinh dài 10cm sống trong não một người đàn ông suốt 4 năm mà không ai hay biết, trước khi các bác sĩ tìm thấy và lấy ra khỏi não bệnh nhân.
Một người đàn ông 50 tuổi giấu tên sống tại East Anglia (Anh) đã ghé thăm các bác sĩ vào năm 2008 khi cảm thấy đau đầu, động kinh, mất trí nhớ và mất cảm giác về mùi vị.
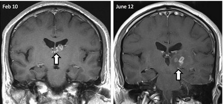
Các bác sĩ đã tiến hành chụp cộng hưởng từ và phát hiện thấy một loạt những tổn thưởng trên phần não bộ của bệnh nhân này, tuy nhiên các bác sĩ không chuẩn đoán được nguyên nhân gây ra vụ việc.
Mới đây, khi triệu chứng không hề thuyên giảm và có phần nặng thêm, người đàn ông này một lần nữa nhờ đến sự giúp đỡ của các bác sĩ. Sau khi chụp cộng hưởng từ, các bác sĩ phát hiện thấy phần tổn thưởng đã di chuyển ít nhất 5cm vào mô não.

Ảnh cộng hưởng từ cho thấy sán dây di chuyển và gây tổn thương cho mô não của bệnh nhân
Tình trạng bệnh của người đàn ông này tiếp tục là một thách thức với các chuyên gia. Các bác sĩ đã kiểm tra người đàn ông này với một loạt bệnh, bao gồm HIV, giang mai... Tuy nhiene sau đó các bác sĩ phát hiện thấy dấu hiệu của ký sinh trùng trên não bộ của người đàn ông này, trước khi phát hiện ra một sán dây dài 10cm đang sống trong não của ông.
Sau khi phát hiện ra vấn đề, các bác sĩ đã cho bệnh nhân uống thuốc diệt ký sinh trùng và ông đã hồi phục hoàn toàn.
Sán dây là loài ký sinh trùng lây nhiễm trên vật nuổi và con người. Đã có 300 trường hợp trên thế giới được ghi nhận bị lây nhiễm loại sán này kể từ năm 1953 cho đến nay, tuy nhiên chưa có trường hợp nào xảy ra tại Anh cho đến khi có trường hợp của bệnh nhân giấu tên kể trên.
Loại sán dây này có thể gây ra tình trạng viêm của các mô trong cơ thể và trong não, có thể gây ra tình trạng co giật, mất trí nhớ và đau đầu. Các chuyên gia cho biết con người có thể bị nhiễm loại sán dây này do vô tình nuốt phải động vật giáp xác có nhiễm ấu trùng sán dây từ hồ nước ô nhiễm hoặc ăn thịt sống các loài bò sát và lưỡng cư...
“Chúng tôi không dự đoán được loại bệnh ký sinh trùng này xuất hiện tại Anh, tuy nhiên du lịch toàn cầu có nghĩa là những bệnh không quen thuộc cũng có thể xuất hiện ở bất kỳ đâu”, Bác sĩ Effrossyni Gkrania-Klotsas, người đã chữa trị cho bệnh nhân bị nhiễm sán dây kể trên cho biết.
“Chúng tôi chỉ có thể chẩn đoán dựa trên kết quả chụp cộng hưởng từ, tuy nhiên đôi khi chừng đó là chưa đủ để chuẩn đoán một căn bệnh”, bác sĩ Efrossyni cho biết thêm.
Được biết người đàn ông bị nhiễm sán dây kể trên hiện đang sống tại Anh, nhưng đến từ Trung Quốc.
T.Thủy
Theo Mirror/IOL










