Mất khứu giác 3 năm, người đàn ông bàng hoàng phát hiện răng mọc trong… mũi
(Dân trí) - Liên tục khó thở, mất khứu giác, thậm chí chảy máu cam liên tục, người đàn ông đi khám và phát hiện ra sự thật kinh hoàng: chiếc răng bị mọc "ngược” lên… mũi.
Vào ngày 21/2 vừa qua, một bệnh nhân nam giấu tên, 59 tuổi, ở Đan Mạch, đã được ghi nhận là trường hợp hi hữu trong giới y học khi có một chiếc răng mọc trong mũi.

Cụ thể, người đàn ông này đã bị mất khứu giác, khó thở, thậm chí, liên tục chảy máu cam trong suốt 3 năm. Do đó, ông ta đã đến bệnh viện thuộc Đại học Aarhus để khám, vì chỉ nghĩ đó là chấn thương nhẹ hoặc nhiễm trùng ở mũi.
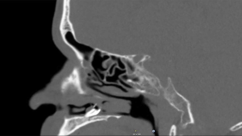
Tuy nhiên, sau khi chụp X-quang thì “danh tính” của thủ phạm chính gây ra hiện tượng trên mới được phát hiện, đó là một dị vật trắng, có lông ở khoang mũi.

Ban đầu, các bác sỹ nghi ngờ rằng đây là một khối u nang có hình dạng lạ với một số đặc điểm dị thường khác, nên đã tiến hành làm phẫu thuật cắt bỏ. Thật bất ngờ, vì sau đó họ mới nhận ra không có một khối u nào cả mà đó là một chiếc răng mọc sai chỗ.
Sau khi chiếc răng được loại bỏ, bệnh nhân này đã hồi phục và lấy lại khứu giác trong vòng 1 tháng. Dù vậy, các bác sĩ vẫn không chắc vì sao chiếc răng lại mọc sai chỗ, và liệu nó đã ở đó chính xác trong bao lâu.

Bác sĩ nha khoa John Hellstein cho biết, người đàn ông trên rất có thể bị mắc chứng Mesiodens ( răng thừa mọc lộn xộn). Khoảng một phần ba trong số đó có răng phát triển sai vị trí, nhưng mọc trong mũi là một trường hợp rất hiếm, chỉ chiếm 0,1-1% bệnh nhân mắc phải.
Theo báo cáo khoa học American Journal of Case Reports, bệnh nhân nam này được cho là có hàm răng đều, khỏe, không thiếu mất chiếc nào.
Ngoài ra, một số chuyên gia còn nhận định rằng, vấn đề trên rất có thể do di truyền, và bệnh nhân đã sớm hình thành chiếc răng trong mũi nhưng đến tuổi trung niên nó mới phát triển mạnh.
Minh Nhật
Tổng hợp










