Khó tin những tai nạn dị vật đâm xuyên não vẫn sống sót
(Dân trí) - Thật khó tin những nạn nhân này đều sống sót và gần như hồi phục hoàn toàn khi các bức ảnh X-quang cho thấy dị vật nằm rất sâu, thậm chí xuyên qua não.



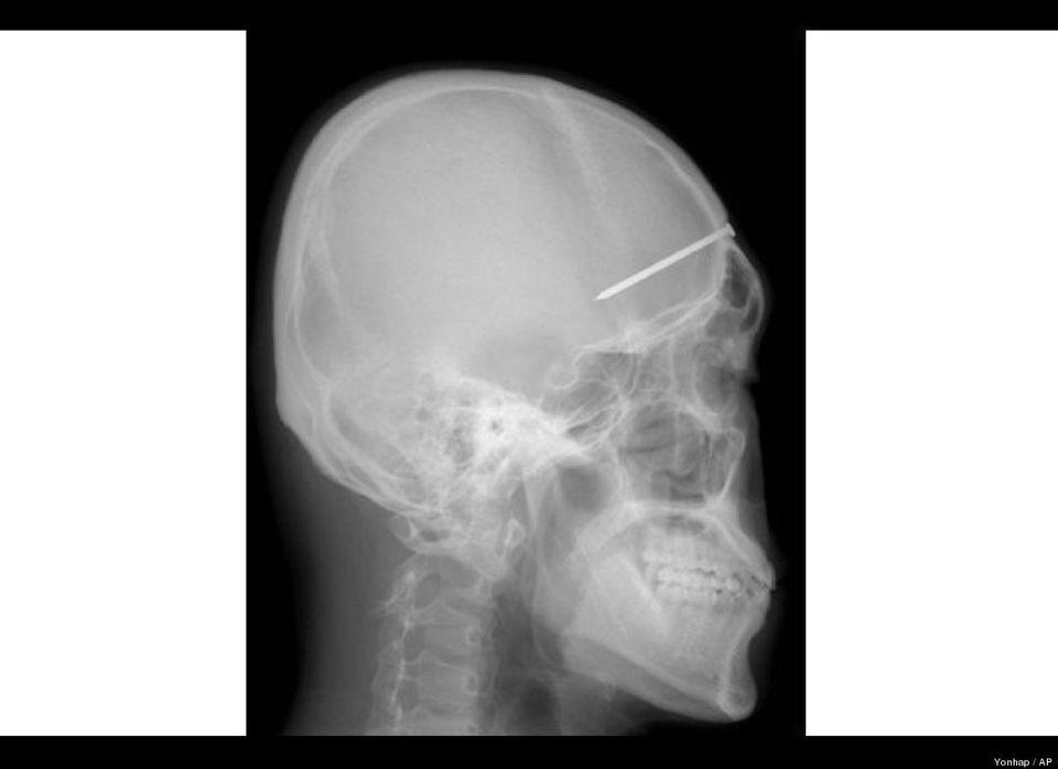
Một khẩu súng bắn đinh đã găm 6 chiếc đinh vào sọ não công nhân xây dựng Isidro Mejia trong một tai nạn vào tháng 4/2004 . May mắn là người công nhân này đã sống sót và phục hồi sau đó.

Ngày 31/1/2019, bức ảnh X-quang cho thấy con dao nằm sâu trong cằm của một thiếu niên Trung Quốc. Ren Hanzhi, 13 tuổi, đã bị trượt và ngã trong khi gọt táo và bị mũi dao đâm thẳng vào mặt. Thật kỳ diệu là lưỡi dao đã không chạm vào sọ não của cậu bé. Các bác sĩ đã rút dao thành công và hy vọng cậu bé sẽ hồi phục hoàn toàn.


Bức ảnh chụp cắt lớp này được bệnh viện Miguel Couto công bố ngày 16/8/2012. Đây là trường hợp bệnh nhân 24 tuổi, là công nhân xây dựng và bị tai nạn thanh sắt từ trên cao rơi trúng đầu trong khi làm việc ở Rio de Janeiro (Brazil). Các bác sĩ cho biết bệnh nhân may mắn vì thanh sắt dài 15cm xuyên đúng giữa 2 chân mày qua sau đầu và các bác sĩ đã mất hơn 5 tiếng để lấy thanh sắt này ra.



Nhân Hà
(Tổng hợp)