Lao sơ nhiễm trẻ em - Vấn đề đang bị bỏ quên!

Trong thời gian gần đây, chẩn đoán hen suyễn được lưu tâm rất nhiều trong cộng đồng y khoa cũng như cộng đồng chung đã giúp các tuyến quận huyện cũng có thể chẩn đoán và điều trị hen suyễn.

Việc chẩn đoán hen suyễn đi từ chỗ hay bị bỏ sót sang chỗ chẩn đoán quá mức hen suyễn, trẻ em hễ cứ ho kéo dài thì rất có khả năng được (bị) chẩn đoán là hen suyễn.

Lao sơ nhiễm ở trẻ bị chẩn đoán nhần là hen

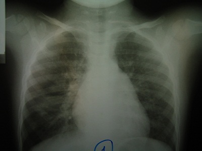
Em V. 4 tuổi ở Hóc Môn, đến khám bệnh vì ho, khò khè, thở mệt từ 5 hôm nay. Bác sỹ khám thấy lồng ngực của em có nhiều ran rít và ran ngáy và được chẩn đoán là hen suyễn bội nhiễm. Bác sỹ cho em dùng thuốc corticoid đường uống kết hợp kháng sinh và thuốc dãn phế quản phun mù. Triệu chứng ho của em có giảm nhưng cứ dai dẳng mãi. Người nhà đưa em V. đến khám theo chương trình Hội chẩn chuyên môn bệnh hô hấp khó trị tại trung tâm điều trị bệnh hô hấp Phổi Việt. Tại đây, em được cho chụp phim X quang phổi phát hiện thấy hạch rốn phổi trái và xẹp thùy phổi trên bên trái. Chụp phim CT scan cho thấy rõ hình ảnh hạch lao bên trái chèn ép phế quản thùy lưỡi gây xẹp hẳn thùy lưỡi. Điều trị kháng lao được tiến hành và em V. giảm triệu chứng ho sau 2 tuần.

Lao sơ nhiễm trẻ em - Vấn đề đang bị bỏ quên! - 1

Lao sơ nhiễm ở trẻ em cũng là một trong các bệnh lý hay bị chẩn đoán nhầm là hen suyễn. Trong khi đó theo Liên đoàn thế giới chống lao và bệnh phổi (IUATLD), bệnh lao trong đó có lao sơ nhiễm ở trẻ em vẫn luôn là vấn đề sức khỏe hàng đầu của người dân các nước đang phát triển trong đó có Việt Nam. Lao sơ nhiễm ở trẻ em thực sự là một vấn đề sức khỏe cộng đồng đang bị bỏ quên !

Lao sơ nhiễm ở trẻ em rất dễ bị bỏ quên vì nhiều yếu tố
 
1. Đối tượng trẻ em không phải là đối tượng ưu tiên của chương trình chống lao quốc gia. Chương trình này chủ yếu tập trung phát hiện và điều trị lao cho đối tượng bệnh nhân lao có vi khuẩn lao dương tính trong đàm. Trong khi đó hầu hết trẻ em đều không biết khạc đàm và nếu có khạc đàm được thì vi khuẩn lao cũng ít khi dương tính trong đàm vì lao trẻ em có đặc điểm là lao ít vi khuẩn.

Lao sơ nhiễm trẻ em - Vấn đề đang bị bỏ quên! - 2

 2. Chẩn đoán lao trẻ em khó khăn hơn chẩn đoán lao ở người lớn: chẩn đoán chủ yếu dựa vào triệu chứng lâm sàng, hình ảnh X quang và test da tuberculin chứ không dựa vào tìm vi khuẩn lao trong đàm. Trong khi đó triệu chứng lâm sàng của lao sơ nhiễm rất giống với các bệnh lý thường gặp khác ở trẻ em trong đó có hen suyễn. X quang phổi không được sử dụng đúng mức do tâm lý ngại chụp X quang cho trẻ em, đồng thời hình ảnh X quang cũng khó đọc, test tuberculin dương tính chỉ nói rằng trẻ có tiếp xúc với vi khuẩn lao chứ không nói lên trẻ đang mắc lao.
 
ThS.BS. Nguyễn Hồng Đức
 

Ngày hội chẩn Bệnh hô hấp khó trị tại Phổi Việt là cơ hội cho các bệnh nhân mắc các bệnh hô hấp khó trị và hiếm gặp có cơ hội khám với nhiều chuyên gia về hô hấp như: lao, nhi, hô hấp, ngoại lồng ngực…cùng một lúc. Đăng ký lịch khám tại 20 -22 Ngô Quyền, F5, Q10, Tp.HCM hoặc ĐT : (08) 730.88.999. Thông tin thêm : www.phoiviet.com